验证数据展示
经过测试的应用
| Positive WB detected in | HEK-293 cells, HeLa cells, NIH/3T3 cells, mouse embryo tissue |
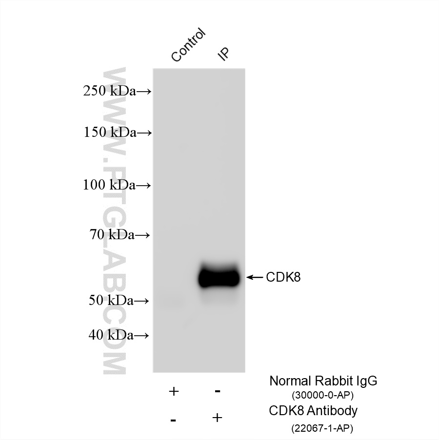
| Positive IP detected in | NIH/3T3 cells, HEK-293 cells |
| Positive IHC detected in | human stomach cancer tissue, human testis tissue Note: suggested antigen retrieval with TE buffer pH 9.0; (*) Alternatively, antigen retrieval may be performed with citrate buffer pH 6.0 |
| Positive FC (Intra) detected in | NIH/3T3 cells |
推荐稀释比
| 应用 | 推荐稀释比 |
|---|---|
| Western Blot (WB) | WB : 1:1000-1:6000 |
| Immunoprecipitation (IP) | IP : 0.5-4.0 ug for 1.0-3.0 mg of total protein lysate |
| Immunohistochemistry (IHC) | IHC : 1:20-1:200 |
| Flow Cytometry (FC) (INTRA) | FC (INTRA) : 0.25 ug per 10^6 cells in a 100 µl suspension |
| It is recommended that this reagent should be titrated in each testing system to obtain optimal results. | |
| Sample-dependent, Check data in validation data gallery. | |
产品信息
22067-1-AP targets CDK8 in WB, IHC, IF, FC (Intra), IP, ELISA applications and shows reactivity with human, mouse samples.
| 经测试应用 | WB, IHC, FC (Intra), IP, ELISA Application Description |
| 文献引用应用 | WB, IHC, IF, IP |
| 经测试反应性 | human, mouse |
| 文献引用反应性 | human, mouse |
| 免疫原 |
CatNo: Ag17148 Product name: Recombinant human CDK8 protein Source: e coli.-derived, PET28a Tag: 6*His Domain: 360-464 aa of BC069634 Sequence: TEEEPDDKGDKNQQQQQGNNHTNGTGHPGNQDSSHTQGPPLKKVRVVPPTTTSGGLIMTSDYQRSNPHAAYPNPGPSTSQPQSSMGYSATSQQPPQYSHQTHRY 种属同源性预测 |
| 宿主/亚型 | Rabbit / IgG |
| 抗体类别 | Polyclonal |
| 产品类型 | Antibody |
| 全称 | cyclin-dependent kinase 8 |
| 别名 | Cell division protein kinase 8, Cyclin dependent kinase 8, Cyclin-dependent kinase 8, EC:2.7.11.22, K35 |
| 计算分子量 | 464 aa, 53 kDa |
| 观测分子量 | 53 kDa |
| GenBank蛋白编号 | BC069634 |
| 基因名称 | CDK8 |
| Gene ID (NCBI) | 1024 |
| RRID | AB_2878983 |
| 偶联类型 | Unconjugated |
| 形式 | Liquid |
| 纯化方式 | Antigen affinity purification |
| UNIPROT ID | P49336 |
| 储存缓冲液 | PBS with 0.02% sodium azide and 50% glycerol, pH 7.3. |
| 储存条件 | Store at -20°C. Stable for one year after shipment. Aliquoting is unnecessary for -20oC storage. |
实验方案
| Product Specific Protocols | |
|---|---|
| FC protocol for CDK8 antibody 22067-1-AP | Download protocol |
| IHC protocol for CDK8 antibody 22067-1-AP | Download protocol |
| IP protocol for CDK8 antibody 22067-1-AP | Download protocol |
| WB protocol for CDK8 antibody 22067-1-AP | Download protocol |
| Standard Protocols | |
|---|---|
| Click here to view our Standard Protocols |
发表文章
| Species | Application | Title |
|---|---|---|
Nucleic Acids Res Loss of MED12 activates the TGFβ pathway to promote chemoresistance and replication fork stability in BRCA-deficient cells.
| ||
PLoS Genet Dual genome-wide CRISPR knockout and CRISPR activation screens identify mechanisms that regulate the resistance to multiple ATR inhibitors.
| ||
Biochim Biophys Acta Gene Regul Mech PP2A and its adapter protein IER5 induce the DNA-binding ability and target gene expression of E2F1 via dephosphorylation at serine 375 | ||
Bull Exp Biol Med Knockdown of Long Noncoding RNA CCAT2 Suppresses Malignant Phenotype in Human Laryngeal Squamous Cell Carcinoma | ||
J Adv Res CDK8 mediated inflammatory microenvironment aggravates osteoarthritis progression
| ||
bioRxiv CDK8 Inhibition Releases the Muscle Differentiation Block in Fusion-driven Alveolar Rhabdomyosarcoma |









