验证数据展示
经过测试的应用
| Positive WB detected in | HeLa cells, HepG2 cells, A431 cells, HEK-293T cells, Jurkat cells |
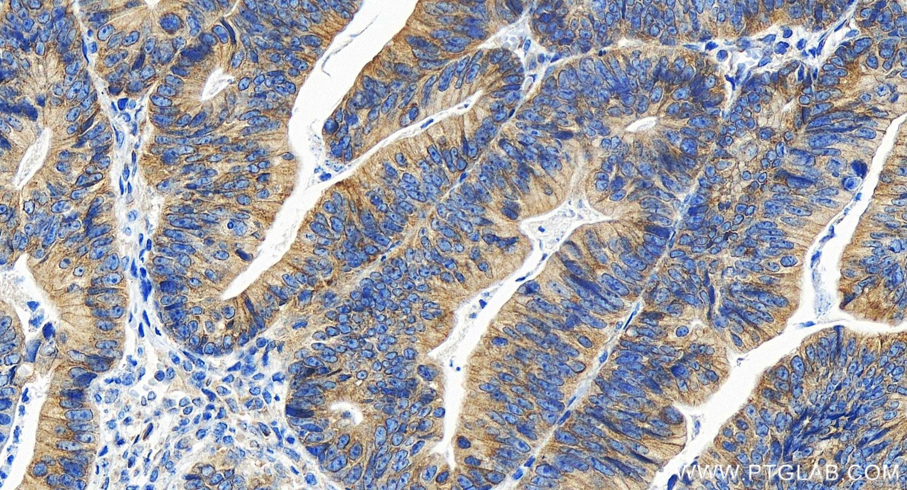
| Positive IHC detected in | human colon cancer tissue Note: suggested antigen retrieval with TE buffer pH 9.0; (*) Alternatively, antigen retrieval may be performed with citrate buffer pH 6.0 |
| Positive IF/ICC detected in | HepG2 cells |
推荐稀释比
| 应用 | 推荐稀释比 |
|---|---|
| Western Blot (WB) | WB : 1:5000-1:50000 |
| Immunohistochemistry (IHC) | IHC : 1:250-1:1000 |
| Immunofluorescence (IF)/ICC | IF/ICC : 1:50-1:500 |
| It is recommended that this reagent should be titrated in each testing system to obtain optimal results. | |
| Sample-dependent, Check data in validation data gallery. | |
产品信息
86177-2-RR targets CDK5RAP3 in WB, IHC, IF/ICC, ELISA applications and shows reactivity with human samples.
| 经测试应用 | WB, IHC, IF/ICC, ELISA Application Description |
| 经测试反应性 | human |
| 免疫原 |
CatNo: Ag1474 Product name: Recombinant human CDK5RAP3 protein Source: e coli.-derived, PGEX-4T Tag: GST Domain: 1-300 aa of BC009957 Sequence: MEDHQHVPIDIQTSKLLDWLVDRRHCSLKWQSLVLTIREKINAAIQDMPESEEIAQLLSGSYIHYFHCLRILDLLKGTEASTKNIFGRYSSQRMKDWQEIIALYEKDNTYLVELSSLLVRNVNYEIPSLKKQIAKCQQLQQEYSRKEEECQAGAAEMREQFYHSCKQYGITGENVRGELLALVKDLPSQLAEIGAAAQQSLGEAIDVYQASVGFVCESPTEQVLPMLRFVQKRGNSTVYEWRTGTEPSVVERPHLEELPEQVAEDAIDWGDFGVEAVSEGTDSGISAEAAGIDWGIFPES 种属同源性预测 |
| 宿主/亚型 | Rabbit / IgG |
| 抗体类别 | Recombinant |
| 产品类型 | Antibody |
| 全称 | CDK5 regulatory subunit associated protein 3 |
| 别名 | C53, CDK5 activator-binding protein C53, CDK5 regulatory subunit-associated protein 3, HSF 27, HSF27 |
| 计算分子量 | 57 kDa |
| 观测分子量 | 65 kDa |
| GenBank蛋白编号 | BC009957 |
| 基因名称 | CDK5RAP3 |
| Gene ID (NCBI) | 80279 |
| RRID | AB_3744688 |
| 偶联类型 | Unconjugated |
| 形式 | Liquid |
| 纯化方式 | Protein A purification |
| UNIPROT ID | Q96JB5 |
| 储存缓冲液 | PBS with 0.02% sodium azide and 50% glycerol, pH 7.3. |
| 储存条件 | Store at -20°C. Stable for one year after shipment. Aliquoting is unnecessary for -20oC storage. |
背景介绍
Cyclin-dependent kinase 5 (CDK5) regulatory subunit associated protein 3 (CDK5RAP3, also named as C53 or LZAP) was initially identified as a binding protein of CDK5 activator p35. CDK5RAP3 is widely expressed in human tissues and broadly located in subcellular compartments. By interacting with other proteins, CDK5RAP3 participates in the regulation of multiple cellular processes including cell cycle, apoptosis, cell invasion, signaling transduction, autophagy, UFMylation and endoplasmic reticulum (ER) stress.
实验方案
| Product Specific Protocols | |
|---|---|
| IF protocol for CDK5RAP3 antibody 86177-2-RR | Download protocol |
| IHC protocol for CDK5RAP3 antibody 86177-2-RR | Download protocol |
| WB protocol for CDK5RAP3 antibody 86177-2-RR | Download protocol |
| Standard Protocols | |
|---|---|
| Click here to view our Standard Protocols |


