验证数据展示
经过测试的应用
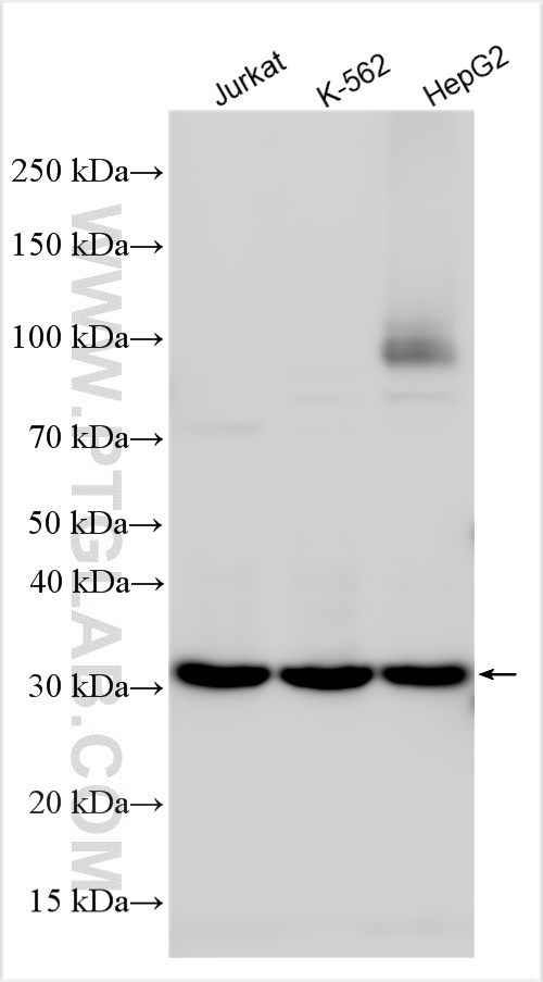
| Positive WB detected in | HepG2 cells, MCF-7 cells, A431 cells, NIH/3T3 cells, rat kidney tissue, HEK-293 cells, Hela cells, Jurkat cells, K-562 cells | 
| Positive IP detected in | HeLa cells | 
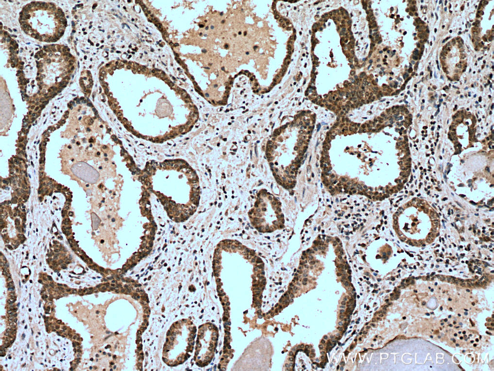
| Positive IHC detected in | mouse testis tissue, human prostate cancer tissue,  human liver cancer tissue Note: suggested antigen retrieval with TE buffer pH 9.0; (*) Alternatively, antigen retrieval may be performed with citrate buffer pH 6.0 | 
| Positive IF-P detected in | mouse testis tissue | 
| Positive IF/ICC detected in | HepG2 cells | 
| Positive FC (Intra) detected in | HepG2 cells | 
推荐稀释比
| 应用 | 推荐稀释比 | 
|---|---|
| Western Blot (WB) | WB : 1:5000-1:50000 | 
| Immunoprecipitation (IP) | IP : 0.5-4.0 ug for 1.0-3.0 mg of total protein lysate | 
| Immunohistochemistry (IHC) | IHC : 1:200-1:800 | 
| Immunofluorescence (IF)-P | IF-P : 1:50-1:500 | 
| Immunofluorescence (IF)/ICC | IF/ICC : 1:50-1:500 | 
| Flow Cytometry (FC) (INTRA) | FC (INTRA) : 0.40 ug per 10^6 cells in a 100 µl suspension | 
| It is recommended that this reagent should be titrated in each testing system to obtain optimal results. | |
| Sample-dependent, Check data in validation data gallery. | |
产品信息
10122-1-AP targets CDK2 in WB, IHC, IF/ICC, IF-P, FC (Intra), IP, CoIP, ELISA applications and shows reactivity with human, mouse, rat samples.
| 经测试应用 | WB, IHC, IF/ICC, IF-P, FC (Intra), IP, ELISA Application Description | 
| 文献引用应用 | WB, IHC, IF, IP, CoIP | 
| 经测试反应性 | human, mouse, rat | 
| 文献引用反应性 | human, mouse, rat, chicken, zebrafish, sheep, goat, fish, sea cucumbers | 
| 免疫原 | CatNo: Ag0166 Product name: Recombinant human CDK2 protein Source: e coli.-derived, PGEX-4T Tag: GST Domain: 8-210 aa of BC003065 Sequence: EKIGEGTYGVVYKARNKLTGEVVALKKIRLDTETEGVPSTAIREISLLKELNHPNIVKLLDVIHTENKLYLVFEFLHQDLKKFMDASALTGIPLPLIKSYLFQLLQGLAFCHSHRVLHRDLKPQNLLINTEGAIKLADFGLARAFGVPVRTYTHEVVTLWYRAPEILLGCKYYSTAVDIWSLGCIFAEMVTRRALFPGDSEID种属同源性预测 | 
| 宿主/亚型 | Rabbit / IgG | 
| 抗体类别 | Polyclonal | 
| 产品类型 | Antibody | 
| 全称 | cyclin-dependent kinase 2 | 
| 别名 | CDKN2, Cell division protein kinase 2, Cyclin dependent kinase 2, Cyclin-dependent kinase 2, EC:2.7.11.22 | 
| 计算分子量 | 33 kDa | 
| 观测分子量 | 30-33 kDa | 
| GenBank蛋白编号 | BC003065 | 
| 基因名称 | CDK2 | 
| Gene ID (NCBI) | 1017 | 
| RRID | AB_2078556 | 
| 偶联类型 | Unconjugated | 
| 形式 | Liquid | 
| 纯化方式 | Antigen affinity purification | 
| UNIPROT ID | P24941 | 
| 储存缓冲液 | PBS with 0.02% sodium azide and 50% glycerol, pH 7.3. | 
| 储存条件 | Store at -20°C. Stable for one year after shipment. Aliquoting is unnecessary for -20oC storage. | 
背景介绍
CDK2(Cyclin-dependent kinase 2) is also named as CDKN2 and belongs to the protein kinase superfamily,CMGC Ser/Thr protein kinase family, CDC2/CDKX subfamily.It is involved in the control of the cell cycle; essential for meiosis, but dispensable for mitosis.It has 2 isoforms produced by alternative splicing.
实验方案
| Product Specific Protocols | |
|---|---|
| IF protocol for CDK2 antibody 10122-1-AP | Download protocol | 
| IHC protocol for CDK2 antibody 10122-1-AP | Download protocol | 
| IP protocol for CDK2 antibody 10122-1-AP | Download protocol | 
| WB protocol for CDK2 antibody 10122-1-AP | Download protocol | 
| Standard Protocols | |
|---|---|
| Click here to view our Standard Protocols | 
发表文章
| Species | Application | Title | 
|---|---|---|
| Signal Transduct Target Ther SARS-CoV-2 hijacks cellular kinase CDK2 to promote viral RNA synthesis
 | ||
| Mol Cancer LncRNA TROJAN promotes proliferation and resistance to CDK4/6 inhibitor via CDK2 transcriptional activation in ER+ breast cancer.
 | ||
| Cell Rep Med BET inhibitor in combination with BCG vaccine enhances antitumor efficacy and orchestrates T cell reprogramming for melanoma | ||
| Sci Adv Acquired resistance to KRAS G12C small-molecule inhibitors via genetic/nongenetic mechanisms in lung cancer | ||
| Nat Commun Polo-like kinase 1 coordinates biosynthesis during cell cycle progression by directly activating pentose phosphate pathway. | ||
| J Clin Invest TALEN-mediated targeting of HPV oncogenes ameliorates HPV-related cervical malignancy. | 

















