验证数据展示
经过测试的应用
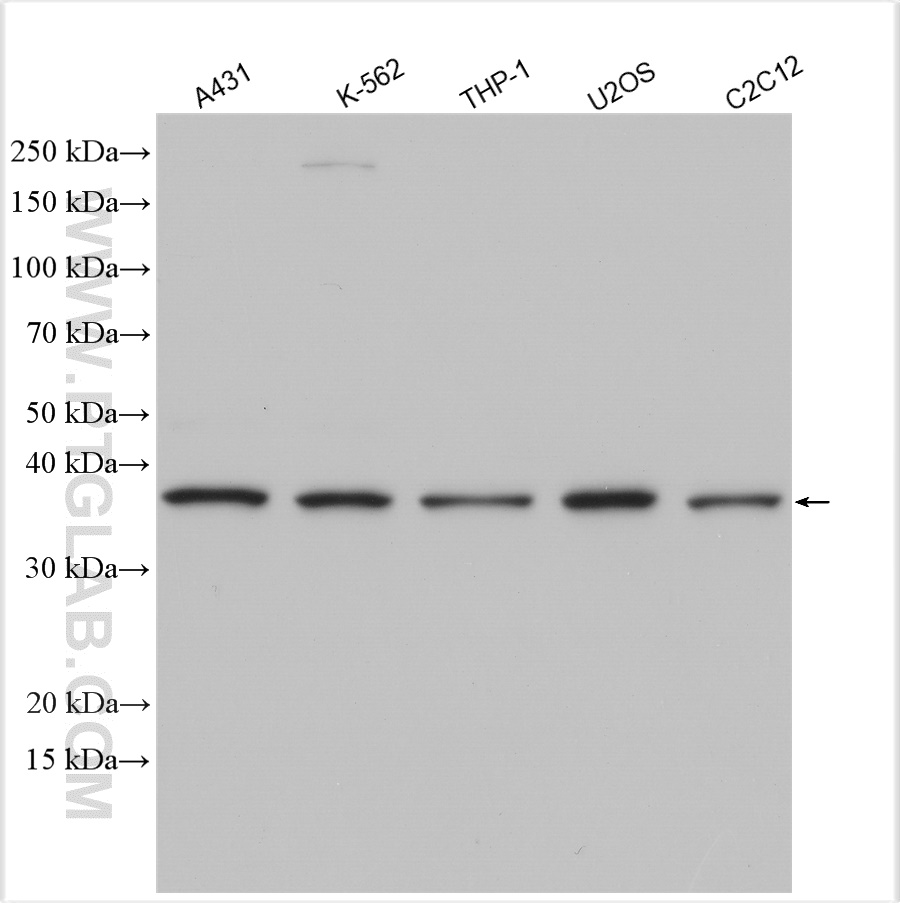
| Positive WB detected in | A431 cells, K-562 cells, THP-1 cells, U2OS cells, C2C12 cells |
| Positive IF/ICC detected in | hTERT-RPE1 cells |
推荐稀释比
| 应用 | 推荐稀释比 |
|---|---|
| Western Blot (WB) | WB : 1:500-1:3000 |
| Immunofluorescence (IF)/ICC | IF/ICC : 1:50-1:500 |
| It is recommended that this reagent should be titrated in each testing system to obtain optimal results. | |
| Sample-dependent, Check data in validation data gallery. | |
发表文章中的应用
| WB | See 1 publications below |
产品信息
30061-1-AP targets CDK10 in WB, IF/ICC, ELISA applications and shows reactivity with human, mouse samples.
| 经测试应用 | WB, IF/ICC, ELISA Application Description |
| 文献引用应用 | WB |
| 经测试反应性 | human, mouse |
| 文献引用反应性 | mouse |
| 免疫原 |
CatNo: Ag30365 Product name: Recombinant human CDK10 protein Source: e coli.-derived, PET28a Tag: 6*His Domain: 190-283 aa of BC017342 Sequence: NIWPGFSKLPLVGQYSLRKQPYNNLKHKFPWLSEAGLRLLHFLFMATAGDCLESSYFKEKPLPCEPELMPTFPHHRNKRAAPATSEGQSKRCKP 种属同源性预测 |
| 宿主/亚型 | Rabbit / IgG |
| 抗体类别 | Polyclonal |
| 产品类型 | Antibody |
| 全称 | cyclin-dependent kinase 10 |
| 别名 | Serine/threonine-protein kinase PISSLRE, EC:2.7.11.22, Cyclin-dependent kinase 10, Cyclin dependent kinase 10 |
| 计算分子量 | 283 aa, 32 kDa |
| 观测分子量 | 38 kDa |
| GenBank蛋白编号 | BC017342 |
| 基因名称 | CDK10 |
| Gene ID (NCBI) | 8558 |
| RRID | AB_2935507 |
| 偶联类型 | Unconjugated |
| 形式 | Liquid |
| 纯化方式 | Antigen affinity purification |
| UNIPROT ID | Q15131 |
| 储存缓冲液 | PBS with 0.02% sodium azide and 50% glycerol, pH 7.3. |
| 储存条件 | Store at -20°C. Stable for one year after shipment. Aliquoting is unnecessary for -20oC storage. |
背景介绍
Cyclin-dependent kinase 10 (CDK10) is a Cdc2-related kinase that was discovered based on its homology to the Cdc2 PSTA1RE amino acid domain (PMID: 8208557). CDK10 plays a pivotal role in the regulation of fundamental cellular processes, including cell proliferation, transcription regulation, and cell cycle regulation. It partners with cyclin M to phosphorylate substrates such as ETS2 and PKN2 in order to modulate cellular growth. Initial reports have indicated that CDK10 may act as a tumor suppressor in breast cancer (PMID: 26392360). Additional studies have demonstrated tumor suppressive and oncogenic roles for CDK10 in malignancies such as hepatobiliary cancers, gastric cancer, glioma, nasopharyngeal carcinoma, and colorectal cancer(PMID: 22326270, PMID: 29512714, PMID: 23740091, PMID: 29845196)
实验方案
| Product Specific Protocols | |
|---|---|
| IF protocol for CDK10 antibody 30061-1-AP | Download protocol |
| WB protocol for CDK10 antibody 30061-1-AP | Download protocol |
| Standard Protocols | |
|---|---|
| Click here to view our Standard Protocols |

