验证数据展示
经过测试的应用
| Positive WB detected in | A431 cells | 
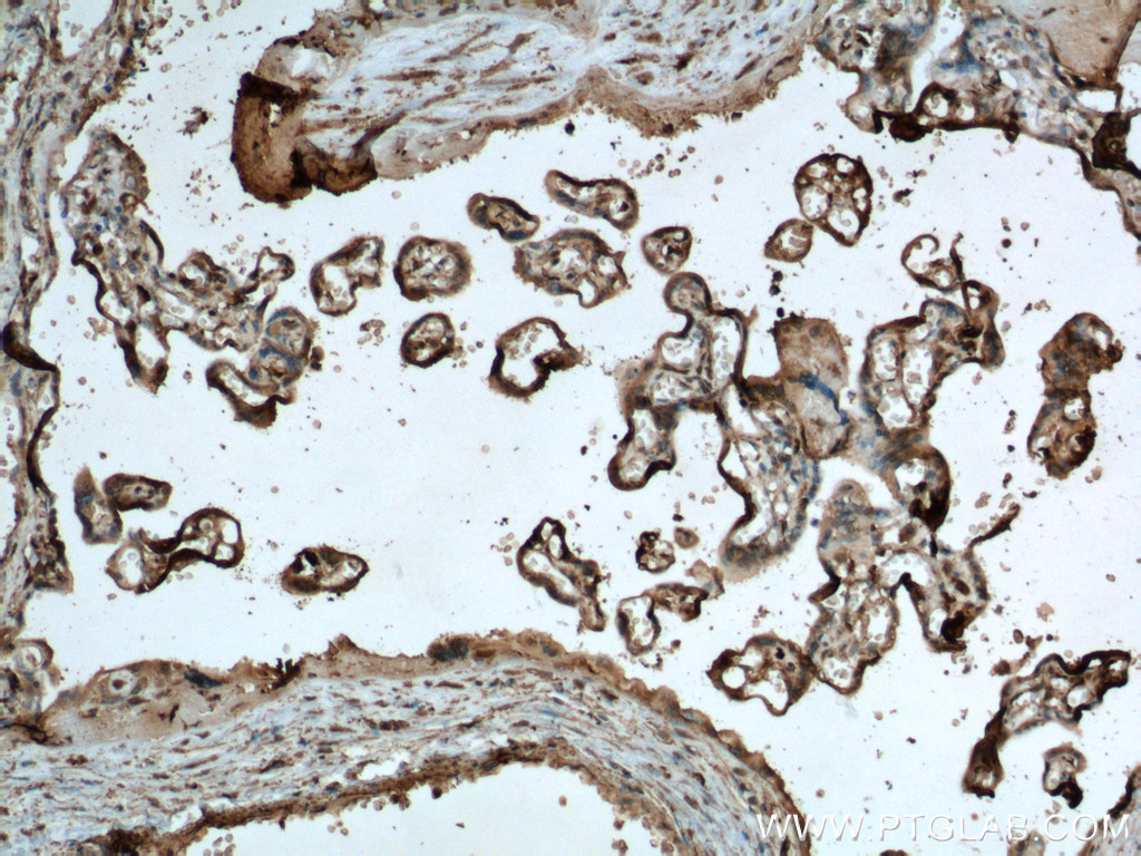
| Positive IHC detected in | human placenta tissue Note: suggested antigen retrieval with TE buffer pH 9.0; (*) Alternatively, antigen retrieval may be performed with citrate buffer pH 6.0 | 
推荐稀释比
| 应用 | 推荐稀释比 | 
|---|---|
| Western Blot (WB) | WB : 1:500-1:2000 | 
| Immunohistochemistry (IHC) | IHC : 1:50-1:500 | 
| It is recommended that this reagent should be titrated in each testing system to obtain optimal results. | |
| Sample-dependent, Check data in validation data gallery. | |
发表文章中的应用
| WB | See 1 publications below | 
产品信息
66295-1-Ig targets P-cadherin in WB, IHC, ELISA applications and shows reactivity with human samples.
| 经测试应用 | WB, IHC, ELISA Application Description | 
| 文献引用应用 | WB | 
| 经测试反应性 | human | 
| 文献引用反应性 | human, mouse | 
| 免疫原 | CatNo: Ag4758 Product name: Recombinant human CDH3 protein Source: e coli.-derived, PGEX-4T Tag: GST Domain: 24-349 aa of BC041846 Sequence: SEPCRAVFREAEVTLEAGGAEQEPGQALGKVFMGCPGQEPALFSTDNDDFTVRNGETVQERRSLKERNPLKIFPSKRILRRHKRDWVVAPISVPENGKGPFPQRLNQLKSNKDRDTKIFYSITGPGADSPPEGVFAVEKETGWLLLNKPLDREEIAKYELFGHAVSENGASVEDPMNISIIVTDQNDHKPKFTQDTFRGSVLEGVLPGTSVMQMTATDEDDAIYTYNGVVAYSIHSQEPKDPHDLMFTIHRSTGTISVISSGLDREKVPEYTLTIQATDMDGDGSTTTAVAVVEILDANDNAPMFDPQKYEAHVPENAVGHEVQRL种属同源性预测 | 
| 宿主/亚型 | Mouse / IgG1 | 
| 抗体类别 | Monoclonal | 
| 产品类型 | Antibody | 
| 全称 | cadherin 3, type 1, P-cadherin (placental) | 
| 别名 | Cadherin 3, CDH3, CDHP, HJMD, P cadherin, PCAD, P-cadherin, Placental cadherin | 
| 计算分子量 | 829 aa, 91 kDa | 
| 观测分子量 | 120 kDa | 
| GenBank蛋白编号 | BC041846 | 
| 基因名称 | P-cadherin | 
| Gene ID (NCBI) | 1001 | 
| RRID | AB_2881678 | 
| 偶联类型 | Unconjugated | 
| 形式 | Liquid | 
| 纯化方式 | Protein G purification | 
| UNIPROT ID | P22223 | 
| 储存缓冲液 | PBS with 0.02% sodium azide and 50% glycerol, pH 7.3. | 
| 储存条件 | Store at -20°C. Stable for one year after shipment. Aliquoting is unnecessary for -20oC storage. | 
背景介绍
Cadherins are a family of transmembrane glycoproteins that mediate calcium-dependent cell-cell adhesion and play an important role in the maintenance of normal tissue architecture. P-cadherin (placental cadherin), also known as CDH3 (cadherin 3), is a classical member of the cadherin superfamily which also include E-, N-, R-, and B-cadherins. Aberrant expression of P-cadherin has been reported in many cancers, including breast, gastric, endometrial, ovarian, and prostate cancer.
实验方案
| Product Specific Protocols | |
|---|---|
| FC protocol for P-cadherin antibody 66295-1-Ig | Download protocol | 
| IHC protocol for P-cadherin antibody 66295-1-Ig | Download protocol | 
| WB protocol for P-cadherin antibody 66295-1-Ig | Download protocol | 
| Standard Protocols | |
|---|---|
| Click here to view our Standard Protocols | 



