验证数据展示
产品信息
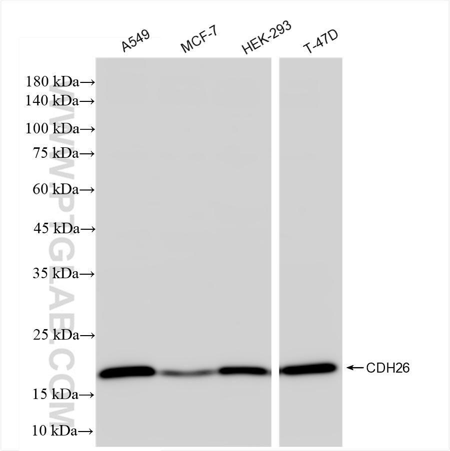
84143-1-PBS targets CDH26 in WB, FC (Intra), ELISA applications and shows reactivity with human samples.
| 经测试应用 | WB, FC (Intra), ELISA Application Description |
| 经测试反应性 | human |
| 免疫原 |
Peptide 种属同源性预测 |
| 宿主/亚型 | Rabbit / IgG |
| 抗体类别 | Recombinant |
| 产品类型 | Antibody |
| 全称 | cadherin-like 26 |
| 别名 | 240934F9, Cadherin-like protein 26, Cadherin-like protein VR20 |
| 计算分子量 | 95 kDa |
| 观测分子量 | 18 kDa |
| GenBank蛋白编号 | NM_021810 |
| 基因名称 | CDH26 |
| Gene ID (NCBI) | 60437 |
| RRID | AB_3671705 |
| 偶联类型 | Unconjugated |
| 形式 | Liquid |
| 纯化方式 | Protein A purfication |
| UNIPROT ID | Q8IXH8 |
| 储存缓冲液 | PBS only, pH 7.3. |
| 储存条件 | Store at -80°C. The product is shipped with ice packs. Upon receipt, store it immediately at -80°C |
背景介绍
CDH26, also named VR20, is a member of cadherins which are calcium-dependent cell adhesion proteins. Cadherins preferentially interact with themselves in a homophilic manner in connecting cells. Cadherins may thus contribute to the sorting of heterogeneous cell types. CDH26 produces 4 isoforms through alternative splicing, with molecular weights of 13, 18, 92, and 95 kDa, respectively.


