验证数据展示
经过测试的应用
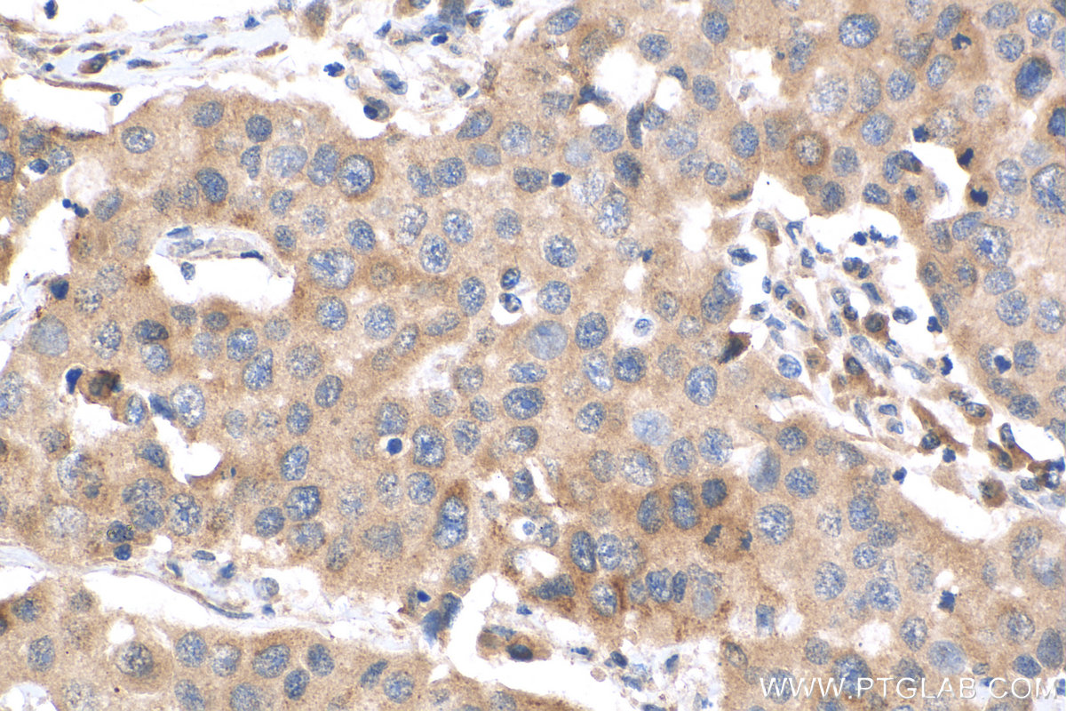
| Positive IHC detected in | human breast cancer tissue, human liver cancer tissue Note: suggested antigen retrieval with TE buffer pH 9.0; (*) Alternatively, antigen retrieval may be performed with citrate buffer pH 6.0 |
| Positive IF/ICC detected in | A431 cells |
推荐稀释比
| 应用 | 推荐稀释比 |
|---|---|
| Immunohistochemistry (IHC) | IHC : 1:50-1:500 |
| Immunofluorescence (IF)/ICC | IF/ICC : 1:200-1:800 |
| It is recommended that this reagent should be titrated in each testing system to obtain optimal results. | |
| Sample-dependent, Check data in validation data gallery. | |
产品信息
15594-1-AP targets CDCA3 in WB, IHC, IF/ICC, CoIP, ELISA applications and shows reactivity with human samples.
| 经测试应用 | IHC, IF/ICC, ELISA Application Description |
| 文献引用应用 | WB, IHC, IF, CoIP |
| 经测试反应性 | human |
| 文献引用反应性 | human |
| 免疫原 |
CatNo: Ag7951 Product name: Recombinant human CDCA3 protein Source: e coli.-derived, PET28a Tag: 6*His Domain: 1-268 aa of BC002551 Sequence: MGSAKSVPVTPARPPPHNKHLARVADPRSPSAGILRTPIQVESSPQPGLPAGEQLEGLKHAQDSDPRSPTLGIARTPMKTSSGDPPSPLVKQLSEVFETEDSKSNLPPEPVLPPEAPLSSELDLPLGTQLSVEEQMPPWNQTEFPSKQVFSKEEARQPTETPVASQSSDKPSRDPETPRSSGSMRNRWKPNSSKVLGRSPLTILQDDNSPGTLTLRQGKRPSPLSENVSELKEGAILGTGRLLKTGGRAWEQGQDHDKENQHFPLVES 种属同源性预测 |
| 宿主/亚型 | Rabbit / IgG |
| 抗体类别 | Polyclonal |
| 产品类型 | Antibody |
| 全称 | cell division cycle associated 3 |
| 别名 | TOME 1, GRCC8, Gene-rich cluster protein C8, Gene rich cluster protein C8, Cell division cycle-associated protein 3 |
| 计算分子量 | 29 kDa |
| GenBank蛋白编号 | BC002551 |
| 基因名称 | CDCA3 |
| Gene ID (NCBI) | 83461 |
| RRID | AB_2878154 |
| 偶联类型 | Unconjugated |
| 形式 | Liquid |
| 纯化方式 | Antigen affinity purification |
| UNIPROT ID | Q99618 |
| 储存缓冲液 | PBS with 0.02% sodium azide and 50% glycerol, pH 7.3. |
| 储存条件 | Store at -20°C. Stable for one year after shipment. Aliquoting is unnecessary for -20oC storage. |
背景介绍
CDCA3, also named C8, GRCC8, and TOME1, is an F-box-like protein required for entry into mitosis. It acts by participating in E3 ligase complexes that mediate the ubiquitination and degradation of WEE1 kinase at the G2/M phase.
实验方案
| Product Specific Protocols | |
|---|---|
| IF protocol for CDCA3 antibody 15594-1-AP | Download protocol |
| IHC protocol for CDCA3 antibody 15594-1-AP | Download protocol |
| Standard Protocols | |
|---|---|
| Click here to view our Standard Protocols |
发表文章
| Species | Application | Title |
|---|---|---|
Oncogene CPSF4 regulates circRNA formation and microRNA mediated gene silencing in hepatocellular carcinoma. | ||
Cancer Cell Int The inhibitory effect of silencing CDCA3 on migration and proliferation in bladder urothelial carcinoma.
| ||
Naunyn Schmiedebergs Arch Pharmacol Curcumin targets miR-134-5p to suppress the progression of colorectal cancer through regulating the CDCA3/CDK1 pathway | ||
Biochem Biophys Res Commun CDCA3 promotes cell proliferation by activating the NF-κB/cyclin D1 signaling pathway in colorectal cancer.
| ||
Pathol Res Pract miR-145-5p suppresses proliferation, metastasis and EMT of colorectal cancer by targeting CDCA3. | ||
J Oncol CDCA3 Predicts Poor Prognosis and Affects CD8+ T Cell Infiltration in Renal Cell Carcinoma |



