验证数据展示
经过测试的应用
| Positive WB detected in | HeLa cells, HepG2 cells, U2OS cells, HCT 116 cells, NIH/3T3 cells, Neuro-2a cells |
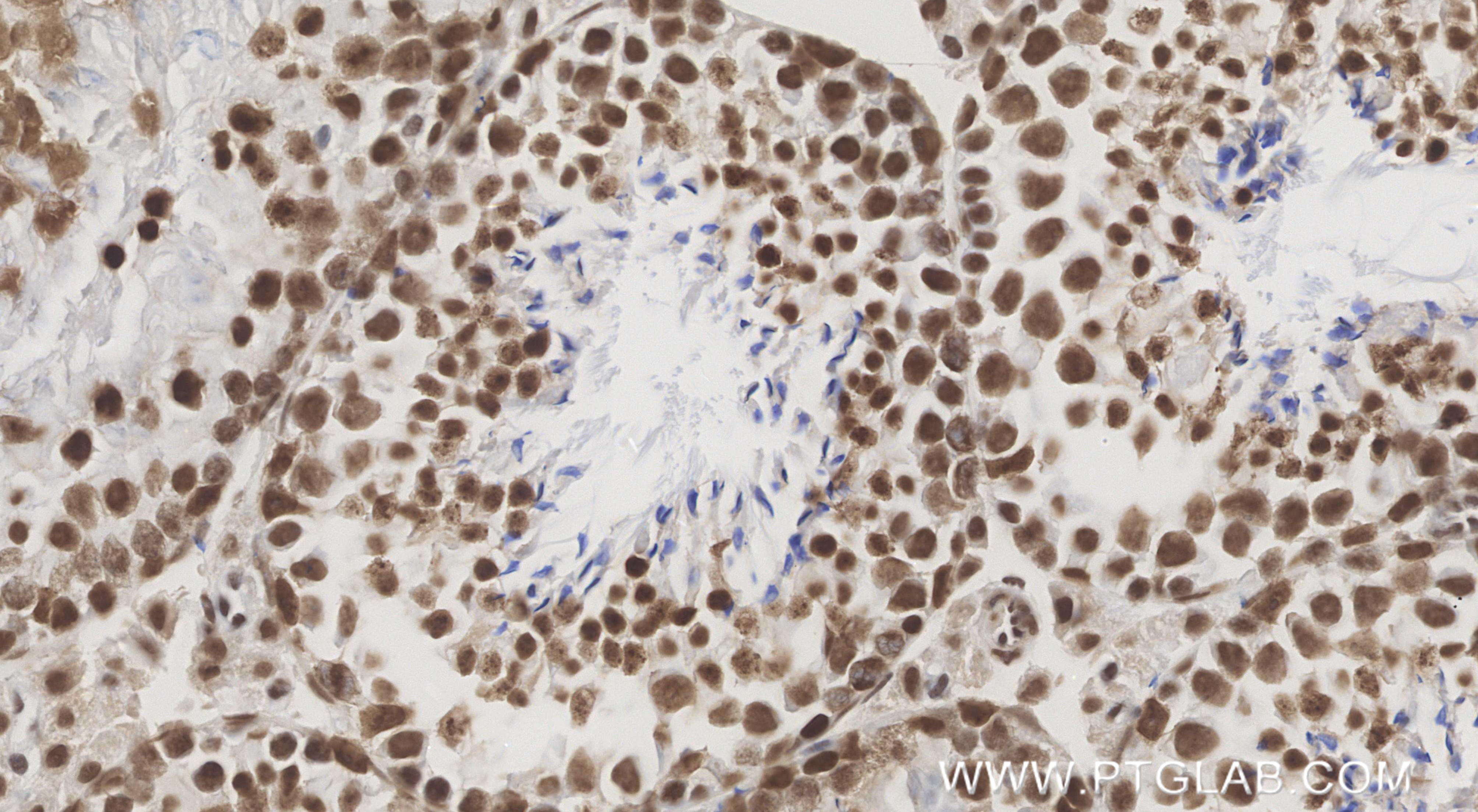
| Positive IHC detected in | human spleen tissue, mouse testis tissue Note: suggested antigen retrieval with TE buffer pH 9.0; (*) Alternatively, antigen retrieval may be performed with citrate buffer pH 6.0 |
| Positive IF/ICC detected in | HepG2 cells |
推荐稀释比
| 应用 | 推荐稀释比 |
|---|---|
| Western Blot (WB) | WB : 1:8000-1:50000 |
| Immunohistochemistry (IHC) | IHC : 1:500-1:2000 |
| Immunofluorescence (IF)/ICC | IF/ICC : 1:500-1:2000 |
| It is recommended that this reagent should be titrated in each testing system to obtain optimal results. | |
| Sample-dependent, Check data in validation data gallery. | |
产品信息
85788-5-RR targets CDC5L in WB, IHC, IF/ICC, ELISA applications and shows reactivity with human, mouse samples.
| 经测试应用 | WB, IHC, IF/ICC, ELISA Application Description |
| 经测试反应性 | human, mouse |
| 免疫原 |
CatNo: Ag3578 Product name: Recombinant human CDC5L protein Source: e coli.-derived, PGEX-4T Tag: GST Domain: 451-803 aa of BC001568 Sequence: NPEDGMADYSDPSYVKQMERESREHLRLGLLGLPAPKNDFEIVLPENAEKELEEREIDDTYIEDAADVDARKQAIRDAERVKEMKRMHKAVQKDLPRPSEVNETILRPLNVEPPLTDLQKSEELIKKEMITMLHYDLLHHPYEPSGNKKGKTVGFGTNNSEHITYLEHNPYEKFSKEELKKAQDVLVQEMEVVKQGMSHGELSSEAYNQVWEECYSQVLYLPGQSRYTRANLASKKDRIESLEKRLEINRGHMTTEAKRAAKMEKKMKILLGGYQSRAMGLMKQLNDLWDQIEQAHLELRTFEELKKHEDSAIPRRLECLKEDVQRQQEREKELQHRYADLLLEKETLKSKF 种属同源性预测 |
| 宿主/亚型 | Rabbit / IgG |
| 抗体类别 | Recombinant |
| 产品类型 | Antibody |
| 全称 | CDC5 cell division cycle 5-like (S. pombe) |
| 别名 | CDC5, Cdc5-like protein, CEF1, Cell division cycle 5-like protein, KIAA0432 |
| 计算分子量 | 802 aa, 92 kDa |
| 观测分子量 | 100 kDa |
| GenBank蛋白编号 | BC001568 |
| 基因名称 | CDC5L |
| Gene ID (NCBI) | 988 |
| RRID | AB_3744374 |
| 偶联类型 | Unconjugated |
| 形式 | Liquid |
| 纯化方式 | Protein A purification |
| UNIPROT ID | Q99459 |
| 储存缓冲液 | PBS with 0.02% sodium azide and 50% glycerol, pH 7.3. |
| 储存条件 | Store at -20°C. Stable for one year after shipment. Aliquoting is unnecessary for -20oC storage. |
背景介绍
CDC5L is ubiquitously expressed in humans, with relatively high expression levels in testis, bone marrow, and 25 other tissues. In proliferating cells, CDC5L is constitutively expressed, suggesting its regulation may occur through post-translational modifications. CDC5L plays a critical role in the cell cycle, particularly in the G2/M transition. It interacts with cyclins and cyclin-dependent kinases (CDKs), helping to control the timing and accuracy of cell division.
实验方案
| Product Specific Protocols | |
|---|---|
| IF protocol for CDC5L antibody 85788-5-RR | Download protocol |
| IHC protocol for CDC5L antibody 85788-5-RR | Download protocol |
| WB protocol for CDC5L antibody 85788-5-RR | Download protocol |
| Standard Protocols | |
|---|---|
| Click here to view our Standard Protocols |




