验证数据展示
经过测试的应用
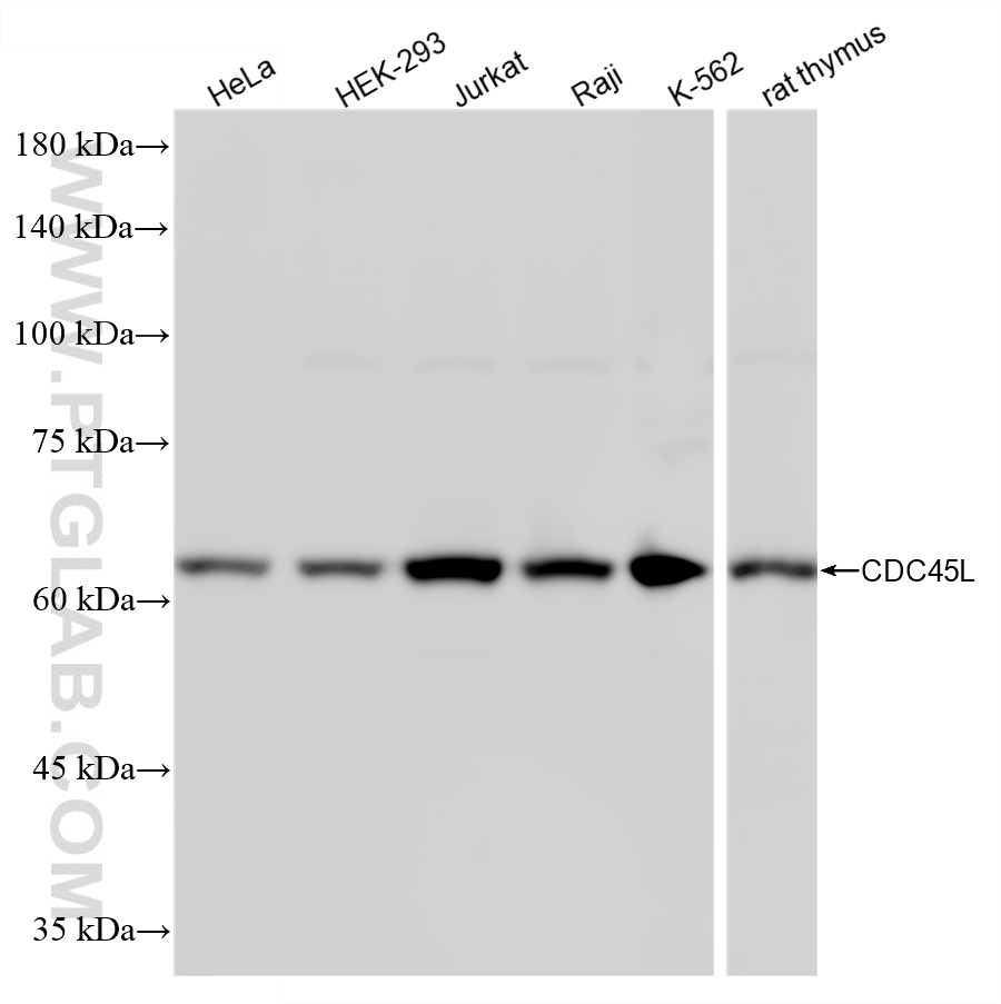
| Positive WB detected in | HeLa cells, HEK-293 cell, Jurkat cell, Raji cell, K-562 cell, rat thymus tissue |
| Positive IF/ICC detected in | HeLa cells |
推荐稀释比
| 应用 | 推荐稀释比 |
|---|---|
| Western Blot (WB) | WB : 1:1000-1:4000 |
| Immunofluorescence (IF)/ICC | IF/ICC : 1:200-1:800 |
| It is recommended that this reagent should be titrated in each testing system to obtain optimal results. | |
| Sample-dependent, Check data in validation data gallery. | |
产品信息
87219-1-RR targets CDC45L in WB, IF/ICC, ELISA applications and shows reactivity with human, rat samples.
| 经测试应用 | WB, IF/ICC, ELISA Application Description |
| 经测试反应性 | human, rat |
| 免疫原 |
CatNo: Ag8150 Product name: Recombinant human CDC45L protein Source: e coli.-derived, PET28a Tag: 6*His Domain: 217-566 aa of BC010022 Sequence: LWWAIVGLTDQWVQDKITQMKYVTDVGVLQRHVSRHNHRNEDEENTLSVDCTRISFEYDLRLVLYQHWSLHDSLCNTSYTAARFKLWSVHGQKRLQEFLADMGLPLKQVKQKFQAMDISLKENLREMIEESANKFGMKDMRVQTFSIHFGFKHKFLASDVVFATMSLMESPEKDGSGTDHFIQALDSLSRSNLDKLYHGLELAKKQLRATQQTIASCLCTNLVISQGPFLYCSLMEGTPDVMLFSRPASLSLLSKHLLKSFVCSTKNRRCKLLPLVMAAPLSMEHGTVTVVGIPPETDSSDRKNFFGRAFEKAAESTSSRMLHNHFDLSVIELKAEDRSKFLDALISLLS 种属同源性预测 |
| 宿主/亚型 | Rabbit / IgG |
| 抗体类别 | Recombinant |
| 产品类型 | Antibody |
| 全称 | CDC45 cell division cycle 45-like (S. cerevisiae) |
| 别名 | CDC45, CDC45L2, PORC PI 1, PORC-PI-1, UNQ374/PRO710 |
| 计算分子量 | 64 kDa |
| 观测分子量 | 66 kDa |
| GenBank蛋白编号 | BC010022 |
| 基因名称 | CDC45L |
| Gene ID (NCBI) | 8318 |
| RRID | AB_3745413 |
| 偶联类型 | Unconjugated |
| 形式 | Liquid |
| 纯化方式 | Protein A purification |
| UNIPROT ID | O75419 |
| 储存缓冲液 | PBS with 0.02% sodium azide and 50% glycerol, pH 7.3. |
| 储存条件 | Store at -20°C. Stable for one year after shipment. Aliquoting is unnecessary for -20oC storage. |
背景介绍
CDC45L(Cell division control protein 45 homolog), plays a role in the initiation of DNA replication, and genetically interacts with MCM family members and with ORC2 and physically form a complex including Mcm5p. It's the first gene missed in DiGeorge syndrome that suggest involve in cell proliferation.
实验方案
| Product Specific Protocols | |
|---|---|
| IF protocol for CDC45L antibody 87219-1-RR | Download protocol |
| WB protocol for CDC45L antibody 87219-1-RR | Download protocol |
| Standard Protocols | |
|---|---|
| Click here to view our Standard Protocols |

