验证数据展示
经过测试的应用
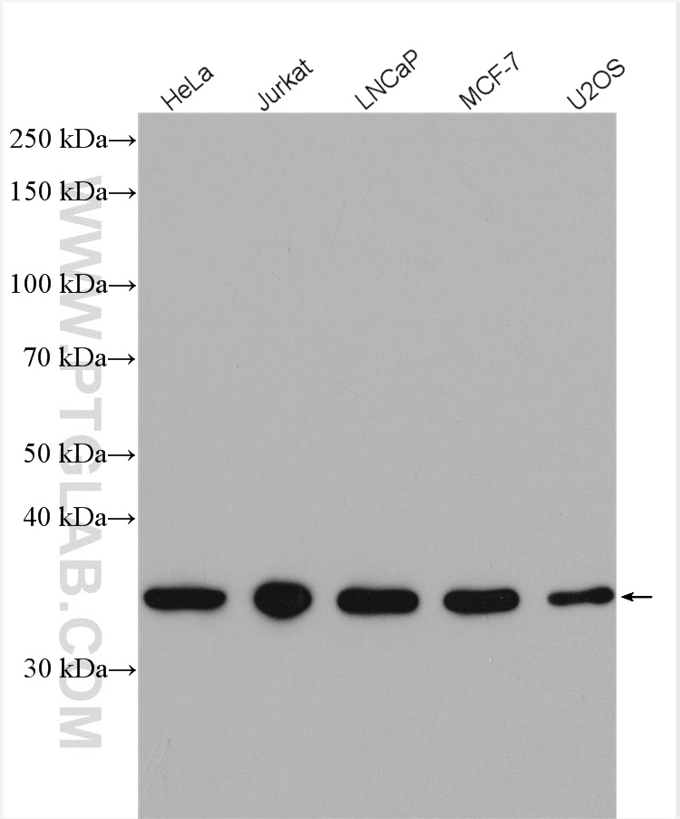
| Positive WB detected in | HeLa cells, human kidney tissue, Jurkat cells, LNCaP cells, MCF-7 cells, U2OS cells |
| Positive IHC detected in | human kidney tissue, human liver tissue Note: suggested antigen retrieval with TE buffer pH 9.0; (*) Alternatively, antigen retrieval may be performed with citrate buffer pH 6.0 |
推荐稀释比
| 应用 | 推荐稀释比 |
|---|---|
| Western Blot (WB) | WB : 1:1000-1:5000 |
| Immunohistochemistry (IHC) | IHC : 1:50-1:500 |
| It is recommended that this reagent should be titrated in each testing system to obtain optimal results. | |
| Sample-dependent, Check data in validation data gallery. | |
发表文章中的应用
| KD/KO | See 1 publications below |
| WB | See 2 publications below |
| IHC | See 2 publications below |
产品信息
16293-1-AP targets CDC37L1 in WB, IHC, ELISA applications and shows reactivity with human samples.
| 经测试应用 | WB, IHC, ELISA Application Description |
| 文献引用应用 | WB, IHC |
| 经测试反应性 | human |
| 文献引用反应性 | human |
| 免疫原 |
CatNo: Ag9459 Product name: Recombinant human CDC37L1 protein Source: e coli.-derived, PGEX-4T Tag: GST Domain: 1-337 aa of BC014133 Sequence: MEQPWPPPGPWSLPRAEGEAEEESDFDVFPSSPRCPQLPGGGAQMYSHGIELACQKQKEFVKSSVACKWNLAEAQQKLGSLALHNSESLDQEHAKAQTAVSELRQREEEWRQKEEALVQREKMCLWSTDAISKDVFNKSFINQDKRKDTEDEDKSESFMQKYEQKIRHFGMLSRWDDSQRFLSDHPYLVCEETAKYLILWCFHLEAEKKGALMEQIAHQAVVMQFIMEMAKNCNVDPRGCFRLFFQKAKAEEEGYFEAFKNELEAFKSRVRLYSQSQSFQPMTVQNHVPHSGVGSIGLLESLPQNPDYLQYSISTALCSLNSVVHKEDDEPKMMDTV 种属同源性预测 |
| 宿主/亚型 | Rabbit / IgG |
| 抗体类别 | Polyclonal |
| 产品类型 | Antibody |
| 全称 | cell division cycle 37 homolog (S. cerevisiae)-like 1 |
| 别名 | CDC37B, CDC37L1, HARC |
| 计算分子量 | 337 aa, 39 kDa |
| 观测分子量 | 39 kDa |
| GenBank蛋白编号 | BC014133 |
| 基因名称 | CDC37L1 |
| Gene ID (NCBI) | 55664 |
| RRID | AB_2244711 |
| 偶联类型 | Unconjugated |
| 形式 | Liquid |
| 纯化方式 | Antigen affinity purification |
| UNIPROT ID | Q7L3B6 |
| 储存缓冲液 | PBS with 0.02% sodium azide and 50% glycerol, pH 7.3. |
| 储存条件 | Store at -20°C. Stable for one year after shipment. Aliquoting is unnecessary for -20oC storage. |
实验方案
| Product Specific Protocols | |
|---|---|
| IHC protocol for CDC37L1 antibody 16293-1-AP | Download protocol |
| WB protocol for CDC37L1 antibody 16293-1-AP | Download protocol |
| Standard Protocols | |
|---|---|
| Click here to view our Standard Protocols |
发表文章
| Species | Application | Title |
|---|---|---|
J Cancer CDC37L1 acts as a suppressor of migration and proliferation in gastric cancer by down-regulating CDK6.
| ||
Cell Death Discov miR-15a and miR-20b sensitize hepatocellular carcinoma cells to sorafenib through repressing CDC37L1 and consequent PPIA downregulation. |






