验证数据展示
经过测试的应用
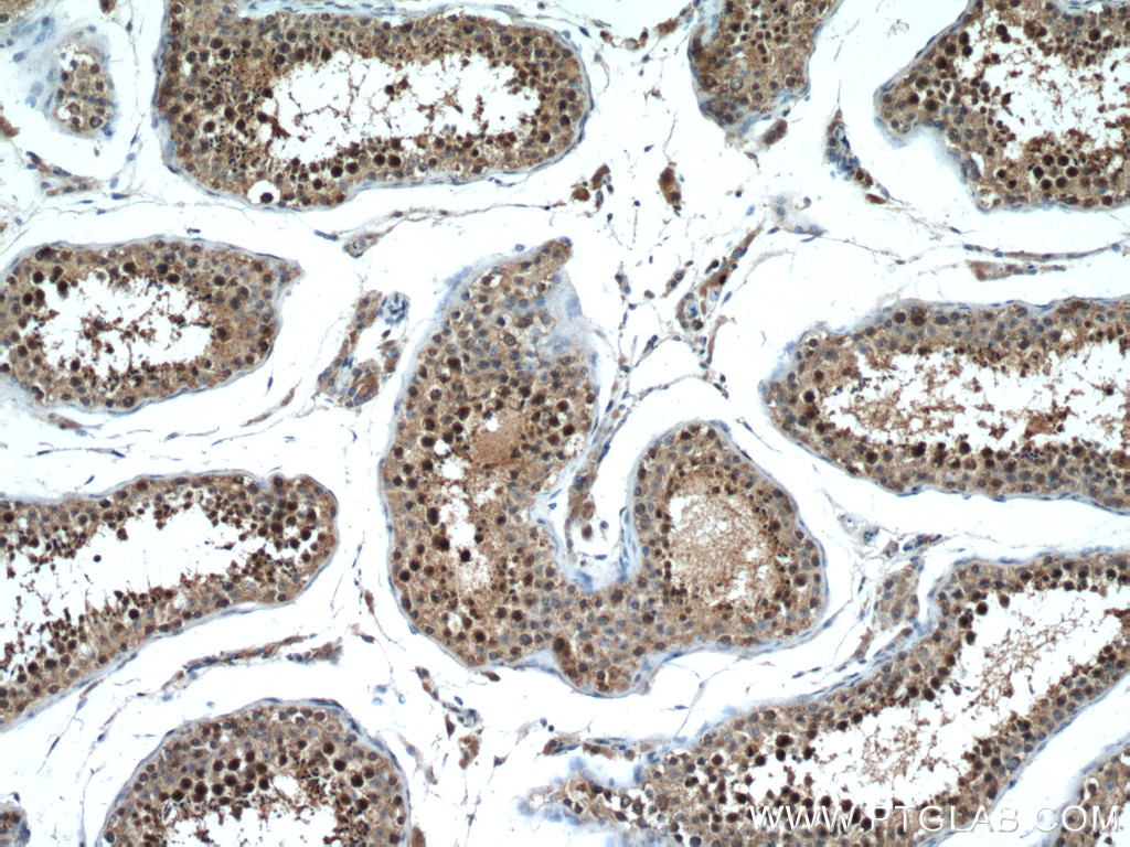
| Positive IHC detected in | human testis tissue, mouse testis tissue Note: suggested antigen retrieval with TE buffer pH 9.0; (*) Alternatively, antigen retrieval may be performed with citrate buffer pH 6.0 |
| Positive IF/ICC detected in | Saos-2 cells |
推荐稀释比
| 应用 | 推荐稀释比 |
|---|---|
| Immunohistochemistry (IHC) | IHC : 1:50-1:500 |
| Immunofluorescence (IF)/ICC | IF/ICC : 1:200-1:800 |
| It is recommended that this reagent should be titrated in each testing system to obtain optimal results. | |
| Sample-dependent, Check data in validation data gallery. | |
产品信息
28169-1-AP targets CDADC1 in IHC, IF/ICC, ELISA applications and shows reactivity with Human, mouse samples.
| 经测试应用 | IHC, IF/ICC, ELISA Application Description |
| 经测试反应性 | Human, mouse |
| 免疫原 |
CatNo: Ag27374 Product name: Recombinant human CDADC1 protein Source: e coli.-derived, PGEX-4T Tag: GST Domain: 50-188 aa of BC125202 Sequence: PAEAQRQKSQKNEEGKHGPLGDNEERTRVSTDKRQVKRTGLVVVKNMKIVGLHCSSEDLHAGQIALIKHGSRLKNCDLYFSRKPCSACLKMIVNAGVNRISYWPADPEISLLTEASSSEDAKLDAKAVERLKSNSRAHV 种属同源性预测 |
| 宿主/亚型 | Rabbit / IgG |
| 抗体类别 | Polyclonal |
| 产品类型 | Antibody |
| 全称 | cytidine and dCMP deaminase domain containing 1 |
| 别名 | bA103J18.1, CDADC1, NYD SP15 |
| 计算分子量 | 514 aa, 58 kDa |
| GenBank蛋白编号 | BC125202 |
| 基因名称 | CDADC1 |
| Gene ID (NCBI) | 81602 |
| RRID | AB_3086034 |
| 偶联类型 | Unconjugated |
| 形式 | Liquid |
| 纯化方式 | Antigen affinity purification |
| UNIPROT ID | Q9BWV3 |
| 储存缓冲液 | PBS with 0.02% sodium azide and 50% glycerol, pH 7.3. |
| 储存条件 | Store at -20°C. Stable for one year after shipment. Aliquoting is unnecessary for -20oC storage. |
背景介绍
CDADC1 (cytidine and dCMP deaminase domain containing 1) catalyzes the deamination of cytidine and deoxycytidine into uridine and deoxyuridine, respectively, and may play an important role in testicular development and spermatogenesis (PMID: 26945630, 16955368).
实验方案
| Product Specific Protocols | |
|---|---|
| IF protocol for CDADC1 antibody 28169-1-AP | Download protocol |
| IHC protocol for CDADC1 antibody 28169-1-AP | Download protocol |
| Standard Protocols | |
|---|---|
| Click here to view our Standard Protocols |




