验证数据展示
经过测试的应用
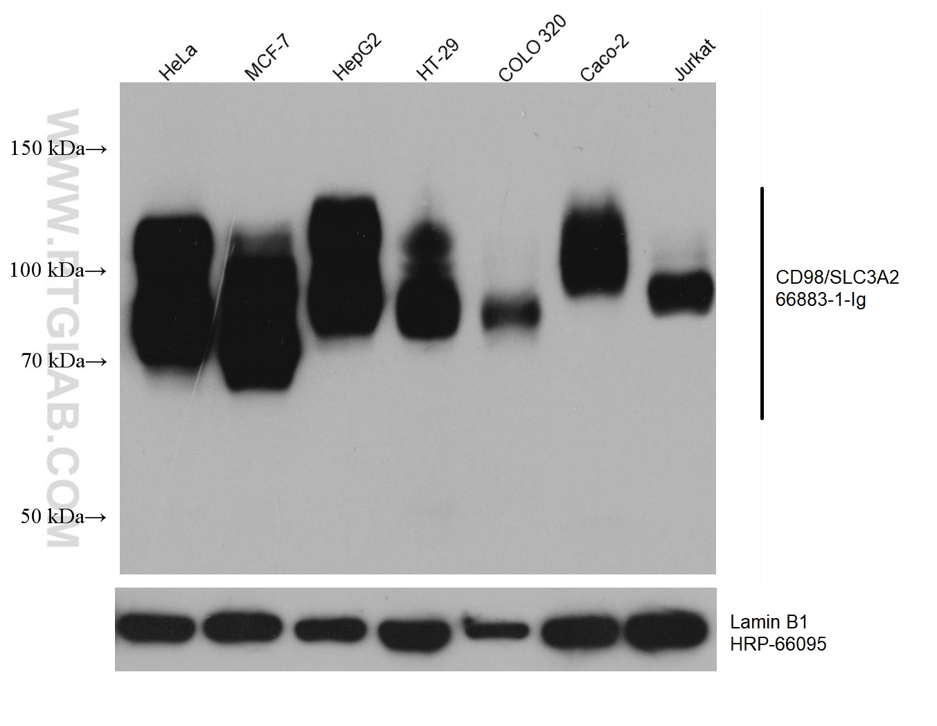
| Positive WB detected in | HeLa cells, MCF-7 cells, HepG2 cells, HT-29 cells, COLO 320 cells, Caco-2 cells, Jurkat cells |
| Positive IHC detected in | human renal cell carcinoma tissue, human colon cancer tissue, human cervical cancer tissue, human liver cancer tissue Note: suggested antigen retrieval with TE buffer pH 9.0; (*) Alternatively, antigen retrieval may be performed with citrate buffer pH 6.0 |
| Positive IF/ICC detected in | HeLa cells |
推荐稀释比
| 应用 | 推荐稀释比 |
|---|---|
| Western Blot (WB) | WB : 1:5000-1:50000 |
| Immunohistochemistry (IHC) | IHC : 1:500-1:2000 |
| Immunofluorescence (IF)/ICC | IF/ICC : 1:400-1:1600 |
| It is recommended that this reagent should be titrated in each testing system to obtain optimal results. | |
| Sample-dependent, Check data in validation data gallery. | |
发表文章中的应用
| WB | See 9 publications below |
| IF | See 1 publications below |
产品信息
66883-1-Ig targets CD98/SLC3A2 in WB, IHC, IF/ICC, ELISA applications and shows reactivity with human samples.
| 经测试应用 | WB, IHC, IF/ICC, ELISA Application Description |
| 文献引用应用 | WB, IF |
| 经测试反应性 | human |
| 文献引用反应性 | human |
| 免疫原 |
CatNo: Ag7301 Product name: Recombinant human SLC3A2 protein Source: e coli.-derived, PET28a Tag: 6*His Domain: 269-630 aa of BC001061 Sequence: KDDVAQTDLLQIDPNFGSKEDFDSLLQSAKKKSIRVILDLTPNYRGENSWFSTQVDTVATKVKDALEFWLQAGVDGFQVRDIENLKDASSFLAEWQNITKGFSEDRLLIAGTNSSDLQQILSLLESNKDLLLTSSYLSDSGSTGEHTKSLVTQYLNATGNRWCSWSLSQARLLTSFLPAQLLRLYQLMLFTLPGTPVFSYGDEIGLDAAALPGQPMEAPVMLWDESSFPDIPGAVSANMTVKGQSEDPGSLLSLFRRLSDQRSKERSLLHGDFHAFSAGPGLFSYIRHWDQNERFLVVLNFGDVGLSAGLQASDLPASASLPAKADLLLSTQPGREEGSPLELERLKLEPHEGLLLRFPYAA 种属同源性预测 |
| 宿主/亚型 | Mouse / IgG2a |
| 抗体类别 | Monoclonal |
| 产品类型 | Antibody |
| 全称 | solute carrier family 3 (activators of dibasic and neutral amino acid transport), member 2 |
| 别名 | CD98, SLC3A2, 2B10F5, 4F2 cell-surface antigen heavy chain, Amino acid transporter heavy chain SLC3A2 |
| 计算分子量 | 68 kDa |
| 观测分子量 | 85-94 kDa, 120-130 kDa |
| GenBank蛋白编号 | BC001061 |
| 基因名称 | CD98 |
| Gene ID (NCBI) | 6520 |
| RRID | AB_2882215 |
| 偶联类型 | Unconjugated |
| 形式 | Liquid |
| 纯化方式 | Protein A purification |
| UNIPROT ID | P08195 |
| 储存缓冲液 | PBS with 0.02% sodium azide and 50% glycerol, pH 7.3. |
| 储存条件 | Store at -20°C. Stable for one year after shipment. Aliquoting is unnecessary for -20oC storage. |
背景介绍
CD98 is a cell-surface heterodimer consisting of a heavy chain (CD98hc) and a light chain. CD98hc also interacts with certain integrin b-subunits to regulate cell migration, survival, proliferation, and adhesion/polarity. CD98hc is overexpressed on the cell surface of many cancers and increased CD98hc expression is associated with the development and progression of tumors.(PMID:25084765). This protein has 4 isoforms with the molecular mass of 58-71 kDa and can be detected 85-94 kDa due to glycosylation. The glycosylated CD98hc can links to a non-glycosylated light chain (~40 kDa) via a disulfide bond to form a heterodimeric CD98 antigen with molecular mass of 120-130 kDa (PMID: 14770309).
实验方案
| Product Specific Protocols | |
|---|---|
| IF protocol for CD98/SLC3A2 antibody 66883-1-Ig | Download protocol |
| IHC protocol for CD98/SLC3A2 antibody 66883-1-Ig | Download protocol |
| WB protocol for CD98/SLC3A2 antibody 66883-1-Ig | Download protocol |
| Standard Protocols | |
|---|---|
| Click here to view our Standard Protocols |
发表文章
| Species | Application | Title |
|---|---|---|
J Extracell Vesicles Homosalate boosts the release of tumour-derived extracellular vesicles with protection against anchorage-loss property. | ||
Nat Commun Specificities of exosome versus small ectosome secretion revealed by live intracellular tracking of CD63 and CD9. | ||
Cancer Cell Int Matrix stiffness-dependent STEAP3 coordinated with PD-L2 identify tumor responding to sorafenib treatment in hepatocellular carcinoma | ||
Phytomedicine Identification of the target protein and molecular mechanism of honokiol in anti-inflammatory action | ||
Oncol Lett Hsa_circ_0050900 affects ferroptosis in intrahepatic cholangiocarcinoma cells by targeting hsa‑miR-605‑3p to regulate SLC3A2 | ||
Proc Natl Acad Sci U S A Activation of polyamine catabolism promotes glutamine metabolism and creates a targetable vulnerability in lung cancer |









