验证数据展示
经过测试的应用
| Positive WB detected in | mouse kidney tissue, mouse testis tissue |
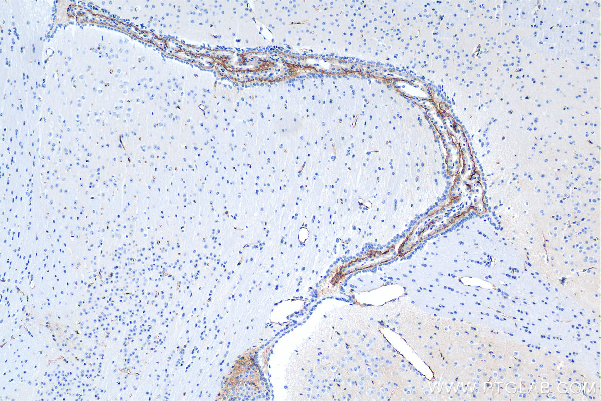
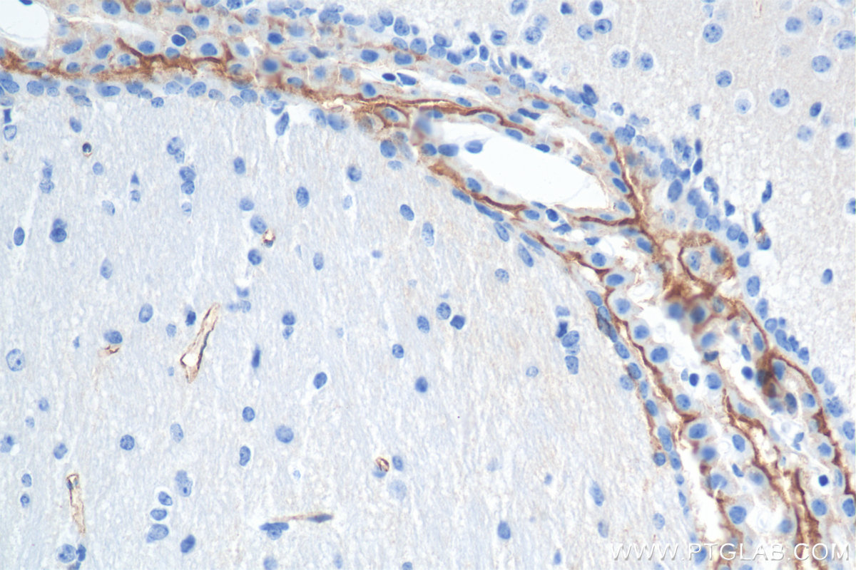
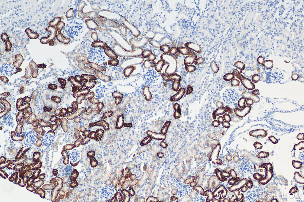
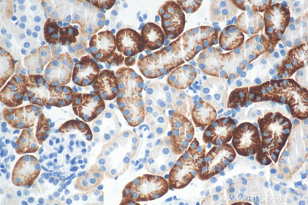
| Positive IHC detected in | mouse brain tissue, mouse kidney tissue Note: suggested antigen retrieval with TE buffer pH 9.0; (*) Alternatively, antigen retrieval may be performed with citrate buffer pH 6.0 |
推荐稀释比
| 应用 | 推荐稀释比 |
|---|---|
| Western Blot (WB) | WB : 1:5000-1:50000 |
| Immunohistochemistry (IHC) | IHC : 1:1000-1:4000 |
| It is recommended that this reagent should be titrated in each testing system to obtain optimal results. | |
| Sample-dependent, Check data in validation data gallery. | |
产品信息
84040-7-RR targets CD98/SLC3A2 in WB, IHC, ELISA applications and shows reactivity with mouse samples.
| 经测试应用 | WB, IHC, ELISA Application Description |
| 经测试反应性 | mouse |
| 免疫原 |
CatNo: Eg1374 Product name: Recombinant Mouse CD98 protein (His Tag) Source: mammalian cells-derived, pHZ-KIsec-C-6*HIS Tag: N-6*His Domain: 100-526 aa of NM_008577.4 Sequence: APRCRELPVQRWWHKGALYRIGDLQAFVGRDAGGIAGLKSHLEYLSTLKVKGLVLGPIHKNQKDEINETDLKQINPTLGSQEDFKDLLQSAKKKSIHIILDLTPNYQGQNAWFLPAQADIVATKMKEALSSWLQDGVDGFQFRDVGKLMNAPLYLAEWQNITKNLSEDRLLIAGTESSDLQQIVNILESTSDLLLTSSYLSNSTFTGERTESLVTRFLNATGSQWCSWSVSQAGLLADFIPDHLLRLYQLLLFTLPGTPVFSYGDELGLQGALPGQPAKAPLMPWNESSIFHIPRPVSLNMTVKGQNEDPGSLLTQFRRLSDLRGKERSLLHGDFHALSSSPDLFSYIRHWDQNERYLVVLNFRDSGRSARLGASNLPAGISLPASAKLLLSTDSARQSREEDTSLKLENLSLNPYEGLLLQFPFVA 种属同源性预测 |
| 宿主/亚型 | Rabbit / IgG |
| 抗体类别 | Recombinant |
| 产品类型 | Antibody |
| 全称 | solute carrier family 3 (activators of dibasic and neutral amino acid transport), member 2 |
| 别名 | 4F2 cell-surface antigen heavy chain, 4F2hc, Amino acid transporter heavy chain SLC3A2, CD98, Mdu1 |
| 计算分子量 | 58 kDa |
| GenBank蛋白编号 | NM_008577.4 |
| 基因名称 | CD98/SLC3A2 |
| Gene ID (NCBI) | 17254 |
| RRID | AB_3743517 |
| 偶联类型 | Unconjugated |
| 形式 | Liquid |
| 纯化方式 | Protein A purification |
| UNIPROT ID | P10852-1 |
| 储存缓冲液 | PBS with 0.02% sodium azide and 50% glycerol, pH 7.3. |
| 储存条件 | Store at -20°C. Stable for one year after shipment. Aliquoting is unnecessary for -20oC storage. |
背景介绍
CD98 is a cell-surface heterodimer consisting of a heavy chain (CD98hc) and a light chain. CD98hc also interacts with certain integrin b-subunits to regulate cell migration, survival, proliferation, and adhesion/polarity. CD98hc is overexpressed on the cell surface of many cancers and increased CD98hc expression is associated with the development and progression of tumors.(PMID:25084765). This protein has 4 isoforms with the molecular mass of 58-71 kDa and can be detected 85-94 kDa due to glycosylation. The glycosylated CD98hc can links to a non-glycosylated light chain (~40 kDa) via a disulfide bond to form a heterodimeric CD98 antigen with molecular mass of 120-130 kDa (PMID: 14770309).
实验方案
| Product Specific Protocols | |
|---|---|
| IHC protocol for CD98/SLC3A2 antibody 84040-7-RR | Download protocol |
| WB protocol for CD98/SLC3A2 antibody 84040-7-RR | Download protocol |
| Standard Protocols | |
|---|---|
| Click here to view our Standard Protocols |






