验证数据展示
经过测试的应用
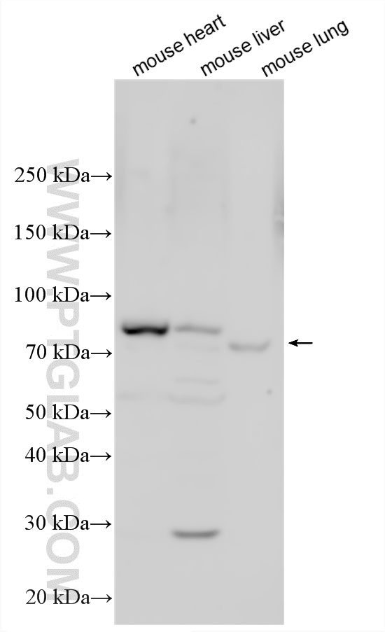
| Positive WB detected in | mouse heart tissue, mouse liver tissue, mouse lung tissue |
推荐稀释比
| 应用 | 推荐稀释比 |
|---|---|
| Western Blot (WB) | WB : 1:500-1:1000 |
| It is recommended that this reagent should be titrated in each testing system to obtain optimal results. | |
| Sample-dependent, Check data in validation data gallery. | |
产品信息
34031-1-AP targets CD96 in WB, ELISA applications and shows reactivity with mouse samples.
| 经测试应用 | WB, ELISA Application Description |
| 经测试反应性 | mouse |
| 免疫原 |
CatNo: Eg5283 Product name: Recombinant mouse CD96 protein Source: mammalian cells-derived, V37 Tag: C-rFc Domain: 22-536 aa of NM_032465.2 Sequence: VWEELFNVGDDVYALPGSDINLTCQTKEKNFLVQMQWSKVTDKNDMIALYHPQYGLYCGQEHACESQVAATETEKGVTNWTLYLRNISSALGGKYECIFTLYPEGIKTTVYNLIVEPYTQDEHNYTIEIETNRTLEIPCFQNTSSEIPPRFTFSWLVEKDGVEEVLFTHHHHVNNSTSFKGRIRLGGDYRLHLSPVQIQDDGRTFSCHLTVNPLKAWKMSTTVKVFAKPEILMTVENSTMDVLGERVFTCLLKNVFPKANITWFIDGRFLQGNEEGIYITNEEKNCSSGFWELKSVLTRMHSGPSQSNNMTAWCMALSPGPRNKMWNTSSQPITVSFDSVIAPTKHLPTVTGSTLGTQPFSDAGVSPTGYLATPSVTIVDENGLTPDATPQTSNSSMTTKDGNYLEASSGTDAKNSSRAAASSKSGSWPFPFTSPPEWHSLPGTSTGPQEPDSPVSWIPSEVHTSAPLDASLAPHDTIISTTTEFPNVLTTANGTTKIDHGPITSIIVNQPSDGM 种属同源性预测 |
| 宿主/亚型 | Rabbit / IgG |
| 抗体类别 | Polyclonal |
| 产品类型 | Antibody |
| 全称 | CD96 antigen |
| 别名 | CD antigens, CD markers, CD molecule, CD molecules |
| 计算分子量 | 67 kDa |
| 观测分子量 | 72 kDa |
| GenBank蛋白编号 | NM_032465.2 |
| 基因名称 | Cd96 |
| Gene ID (NCBI) | 84544 |
| 偶联类型 | Unconjugated |
| 形式 | Liquid |
| 纯化方式 | Antigen affinity Purification |
| UNIPROT ID | Q3U0X8 |
| 储存缓冲液 | PBS with 0.02% sodium azide and 50% glycerol, pH 7.3. |
| 储存条件 | Store at -20°C. Stable for one year after shipment. Aliquoting is unnecessary for -20oC storage. |
背景介绍
CD96 (also known as TACTILE) is a type I trans-membrane glycoprotein of the immunoglobulin superfamily (IgSF). Expression is largely restricted to activated T cells, NK cells and a subset of NKT cells. On these cells CD96 functions as an adhesion and immunomodulatory receptor that binds the nectin-family ligand CD155 (PVR) with high affinity. (PMID: 30528596)
实验方案
| Product Specific Protocols | |
|---|---|
| WB protocol for CD96 antibody 34031-1-AP | Download protocol |
| Standard Protocols | |
|---|---|
| Click here to view our Standard Protocols |
