验证数据展示
经过测试的应用
| Positive WB detected in | fetal human brain tissue, rabbit brain tissue, U2OS cells, human kidney tissue, pig brain tissue, pig spleen tissue, pig colon tissue |
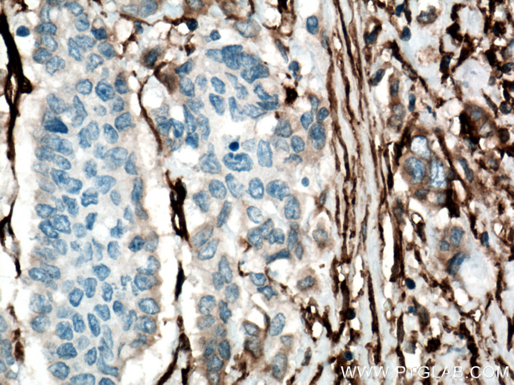
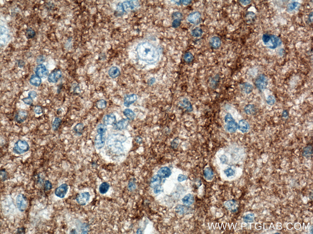
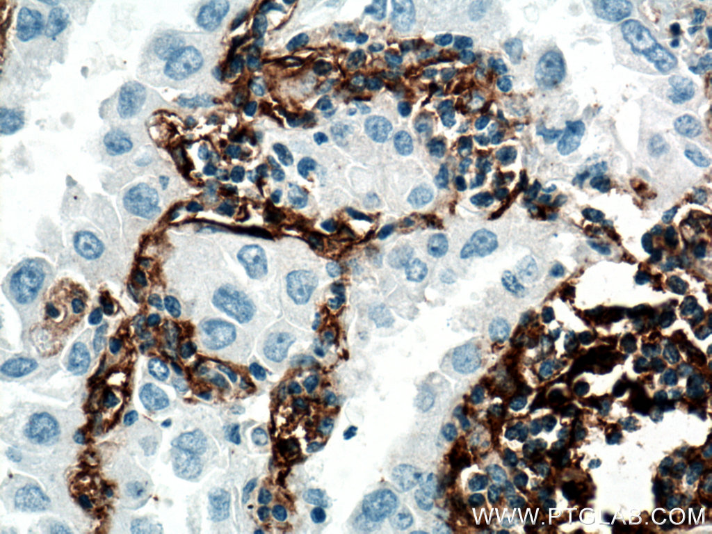
| Positive IHC detected in | human tonsillitis tissue, human colon cancer tissue, human gliomas tissue, human lung cancer tissue, mouse liver tissue Note: suggested antigen retrieval with TE buffer pH 9.0; (*) Alternatively, antigen retrieval may be performed with citrate buffer pH 6.0 |
| Positive IF-P detected in | human tonsillitis tissue |
推荐稀释比
| 应用 | 推荐稀释比 |
|---|---|
| Western Blot (WB) | WB : 1:2000-1:10000 |
| Immunohistochemistry (IHC) | IHC : 1:500-1:2000 |
| Immunofluorescence (IF)-P | IF-P : 1:50-1:500 |
| It is recommended that this reagent should be titrated in each testing system to obtain optimal results. | |
| Sample-dependent, Check data in validation data gallery. | |
产品信息
66766-1-Ig targets CD90 in WB, IHC, IF-P, ELISA applications and shows reactivity with human, mouse, rat, pig, rabbit samples.
| 经测试应用 | WB, IHC, IF-P, ELISA Application Description |
| 文献引用应用 | WB, IHC, IF |
| 经测试反应性 | human, mouse, rat, pig, rabbit |
| 文献引用反应性 | human, mouse, rat, pig, rabbit, bovine |
| 免疫原 |
CatNo: Ag25603 Product name: Recombinant human CD90 protein Source: e coli.-derived, PGEX-4T Tag: GST Domain: 20-80 aa of BC065559 Sequence: QKVTSLTACLVDQSLRLDCRHENTSSSPIQYEFSLTRETKKHVLFGTVGVPEHTYRSRTNF 种属同源性预测 |
| 宿主/亚型 | Mouse / IgG2a |
| 抗体类别 | Monoclonal |
| 产品类型 | Antibody |
| 全称 | Thy-1 cell surface antigen |
| 别名 | CD90 / Thy1, THY1, 2D7D11, Thy 1 antigen, Thy 1 cell surface antigen |
| 计算分子量 | 161 aa, 18 kDa |
| 观测分子量 | 28 kDa |
| GenBank蛋白编号 | BC065559 |
| 基因名称 | CD90/Thy1 |
| Gene ID (NCBI) | 7070 |
| RRID | AB_2882112 |
| 偶联类型 | Unconjugated |
| 形式 | Liquid |
| 纯化方式 | Protein A purification |
| UNIPROT ID | P04216 |
| 储存缓冲液 | PBS with 0.02% sodium azide and 50% glycerol, pH 7.3. |
| 储存条件 | Store at -20°C. Stable for one year after shipment. Aliquoting is unnecessary for -20oC storage. |
背景介绍
CD90, also known as THY1, is a 25-35 kD protein that is expressed on 1-4% of human fetal liver cells, cord blood cells, and bone marrow cells. CD90 is one of the essential surface molecules expressed on human MSC from bone marrow and other sources. Activation of Thy-1 has been reported to promote T cell activation. It also affects numerous nonimmunologic biological processes, including cellular adhesion, neurite outgrowth, tumor growth, migration, and cell death.
实验方案
| Product Specific Protocols | |
|---|---|
| IF protocol for CD90 antibody 66766-1-Ig | Download protocol |
| IHC protocol for CD90 antibody 66766-1-Ig | Download protocol |
| WB protocol for CD90 antibody 66766-1-Ig | Download protocol |
| Standard Protocols | |
|---|---|
| Click here to view our Standard Protocols |
发表文章
| Species | Application | Title |
|---|---|---|
Cell Mol Biol Lett Reciprocal negative feedback between Prrx1 and miR-140-3p regulates rapid chondrogenesis in the regenerating antler | ||
Int J Biol Macromol A light-cured injectable composite hydrogel based on chitosan and decellularized matrix modulates stem cell aggregation behavior for accelerating cartilage defect repair | ||
J Mol Cell Biol Cancer-associated adipocytes-derived G-CSF promotes breast cancer malignancy via Stat3 signaling. | ||
Int J Mol Sci Expression of Cancer Stem Cell Markers EpCAM and CD90 Is Correlated with Anti- and Pro-Oncogenic EphA2 Signaling in Hepatocellular Carcinoma. | ||
Inflamm Bowel Dis Stromal Cell Subsets Show Model-Dependent Changes in Experimental Colitis and Affect Epithelial Tissue Repair and Immune Cell Activation | ||
Int J Biol Sci Cancer-associated adipocytes promote the invasion and metastasis in breast cancer through LIF/CXCLs positive feedback loop. |






















