验证数据展示
经过测试的应用
| Positive WB detected in | A431 cells, HeLa cells, L02 cells |
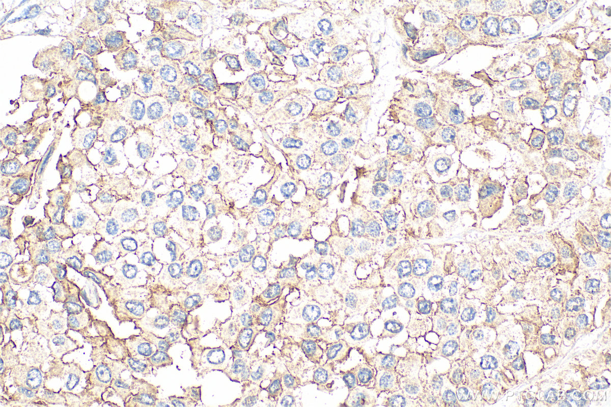
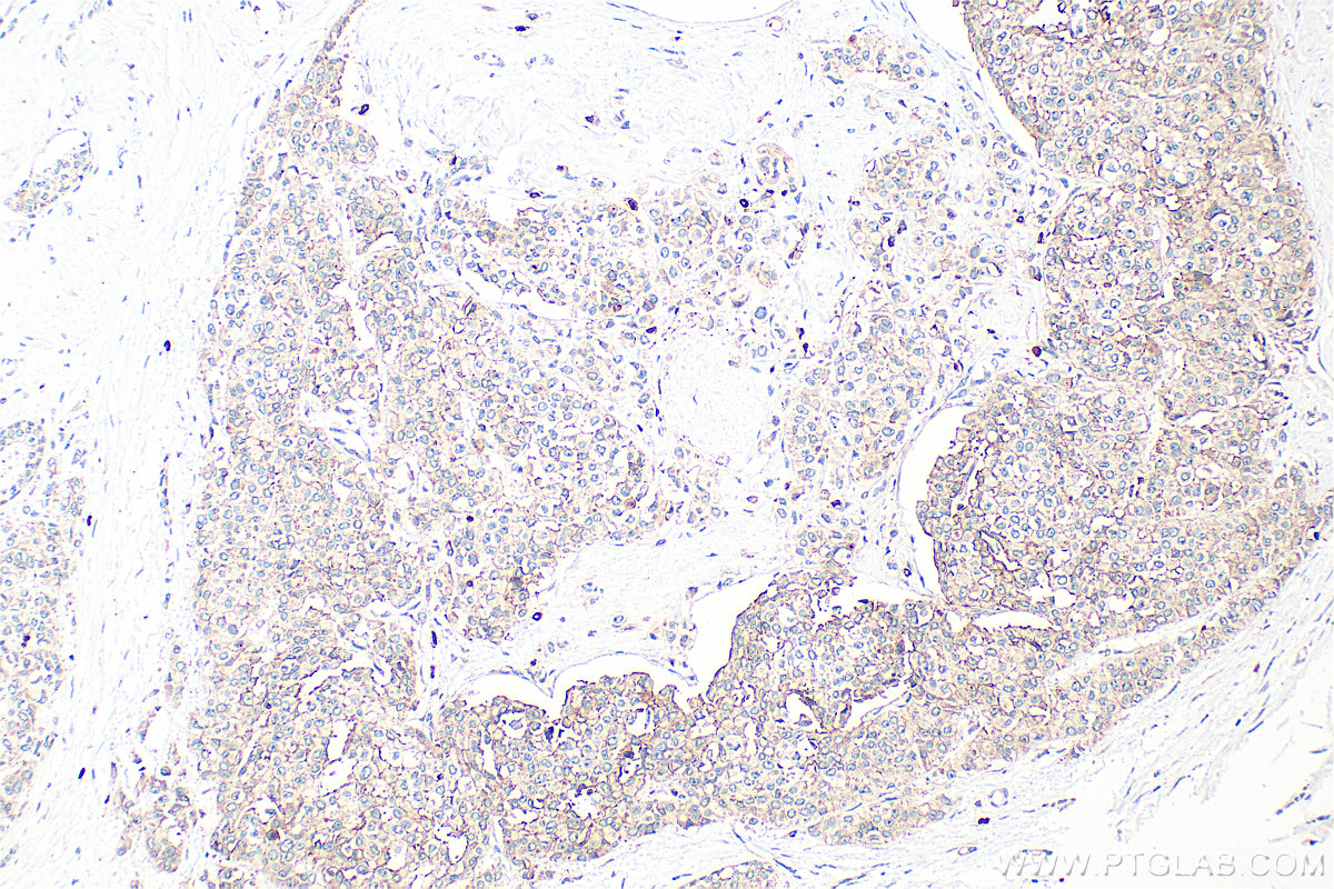
| Positive IHC detected in | human breast cancer tissue, human intrahepatic cholangiocarcinoma tissue Note: suggested antigen retrieval with TE buffer pH 9.0; (*) Alternatively, antigen retrieval may be performed with citrate buffer pH 6.0 |
| Positive IF/ICC detected in | MCF-7 cells |
推荐稀释比
| 应用 | 推荐稀释比 |
|---|---|
| Western Blot (WB) | WB : 1:1000-1:4000 |
| Immunohistochemistry (IHC) | IHC : 1:200-1:800 |
| Immunofluorescence (IF)/ICC | IF/ICC : 1:50-1:500 |
| It is recommended that this reagent should be titrated in each testing system to obtain optimal results. | |
| Sample-dependent, Check data in validation data gallery. | |
产品信息
31514-1-AP targets CD9 in WB, IHC, IF/ICC, ELISA applications and shows reactivity with human samples.
| 经测试应用 | WB, IHC, IF/ICC, ELISA Application Description |
| 经测试反应性 | human |
| 免疫原 |
CatNo: Eg1037 Product name: recombinant human CD9 protein Source: mammalian cells-derived, pHZ-KIsec-C-6*HIS Tag: C-6*HIS Domain: 112-195 aa of NM_001769.4 Sequence: SHKDEVIKEVQEFYKDTYNKLKTKDEPQRETLKAIHYALNCCGLAGGVEQFISDICPKKDVLETFTVKSCPDAIKEVFDNKFHI 种属同源性预测 |
| 宿主/亚型 | Rabbit / IgG |
| 抗体类别 | Polyclonal |
| 产品类型 | Antibody |
| 全称 | CD9 molecule |
| 别名 | 5H9, 5H9 antigen, BA2, BTCC 1, CD9 antigen |
| 计算分子量 | 25 kDa |
| 观测分子量 | 23 kDa |
| GenBank蛋白编号 | NM_001769.4 |
| 基因名称 | CD9 |
| Gene ID (NCBI) | 928 |
| RRID | AB_3670013 |
| 偶联类型 | Unconjugated |
| 形式 | Liquid |
| 纯化方式 | Antigen affinity Purification |
| UNIPROT ID | P21926 |
| 储存缓冲液 | PBS with 0.02% sodium azide and 50% glycerol, pH 7.3. |
| 储存条件 | Store at -20°C. Stable for one year after shipment. Aliquoting is unnecessary for -20oC storage. |
背景介绍
CD9, also known as Tspan-29, p24 or MIC3, is a member of the tetraspanin superfamily (PMID: 1879540). It is expressed on a large variety of hematopoietic and non-hematopoietic cells, such as stromal cells, megakaryocytes, platelets, B and T lymphocytes, dendritic cells, endothelial cells, mast cells, eosinophils, and basophils (PMID: 30356731). CD9 interacts with the integrin family and other membrane proteins, and is involved in cell adhesion, cell motility and tumor metastasis (PMID: 8478605; 21428940; 25805926). Expression of CD9 enhances membrane fusion between muscle cells and supports myotube maintenance (PMID:10459022). On oocytes, CD9 is hypothesized to play a role in fertilization of mammals (PMID: 25536312).
实验方案
| Product Specific Protocols | |
|---|---|
| IF protocol for CD9 antibody 31514-1-AP | Download protocol |
| IHC protocol for CD9 antibody 31514-1-AP | Download protocol |
| WB protocol for CD9 antibody 31514-1-AP | Download protocol |
| Standard Protocols | |
|---|---|
| Click here to view our Standard Protocols |





