验证数据展示
经过测试的应用
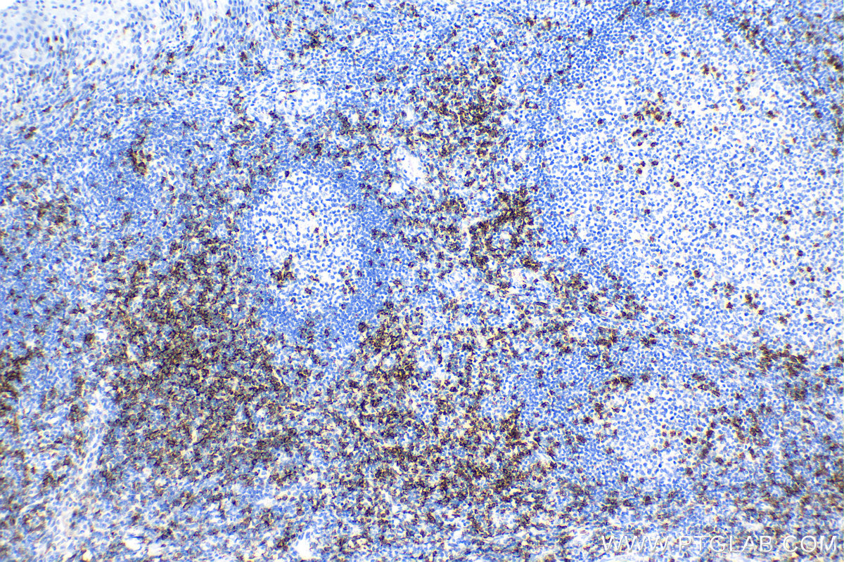
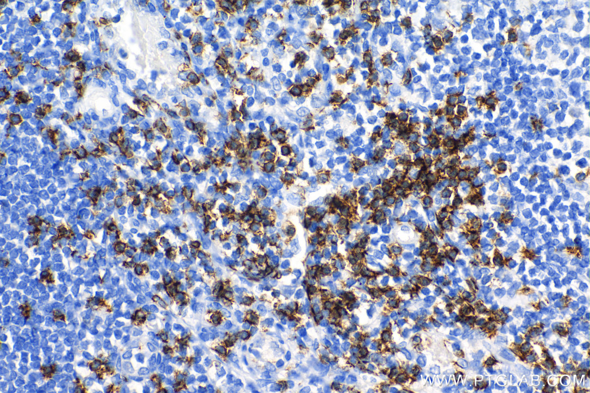
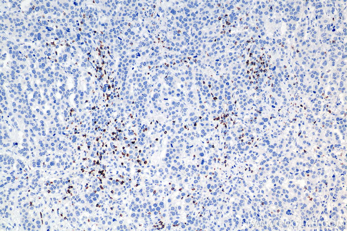
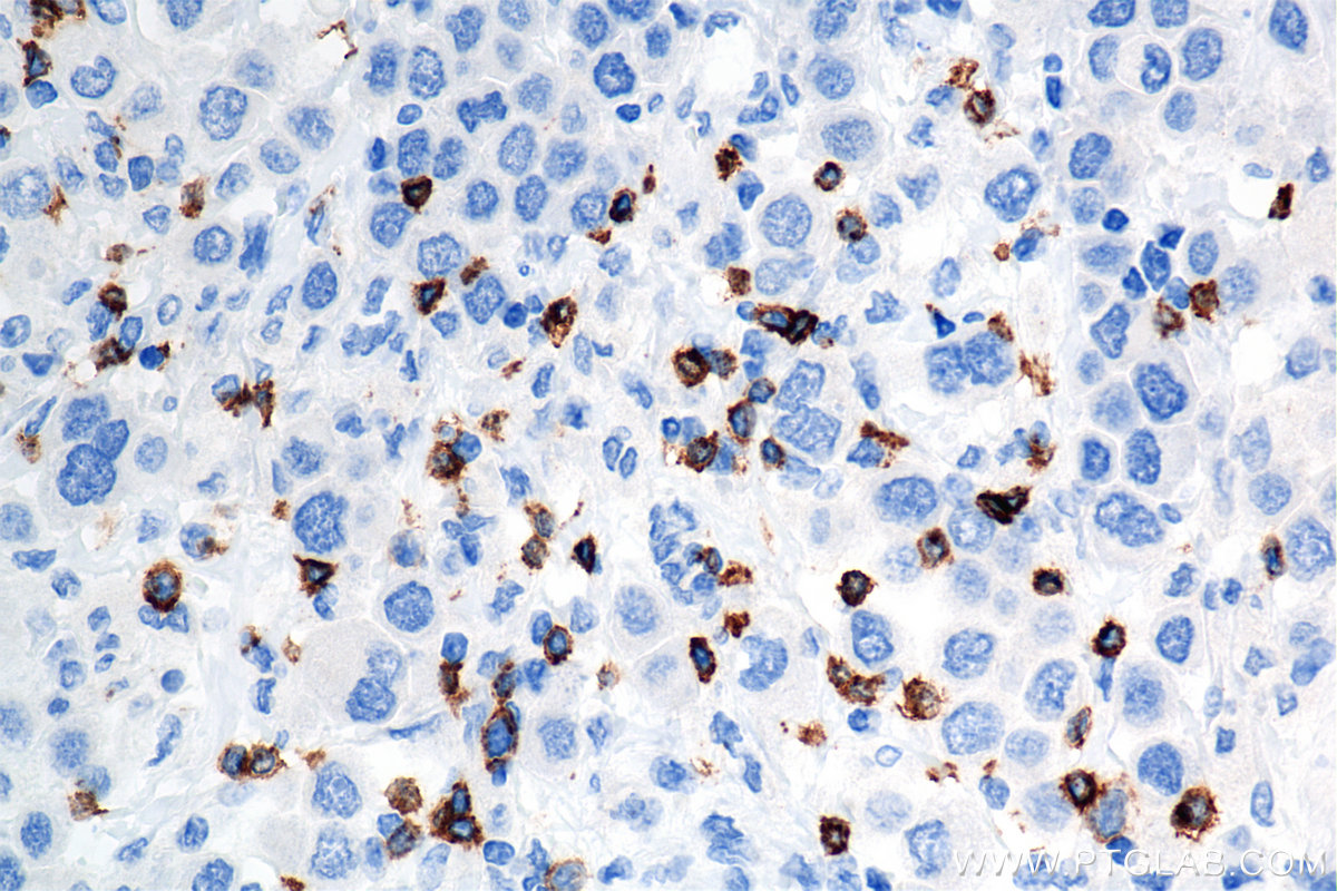
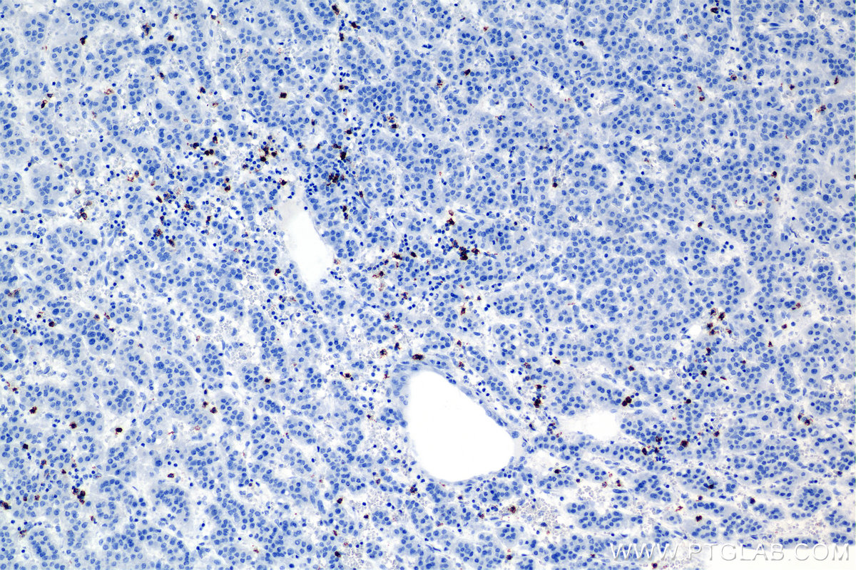
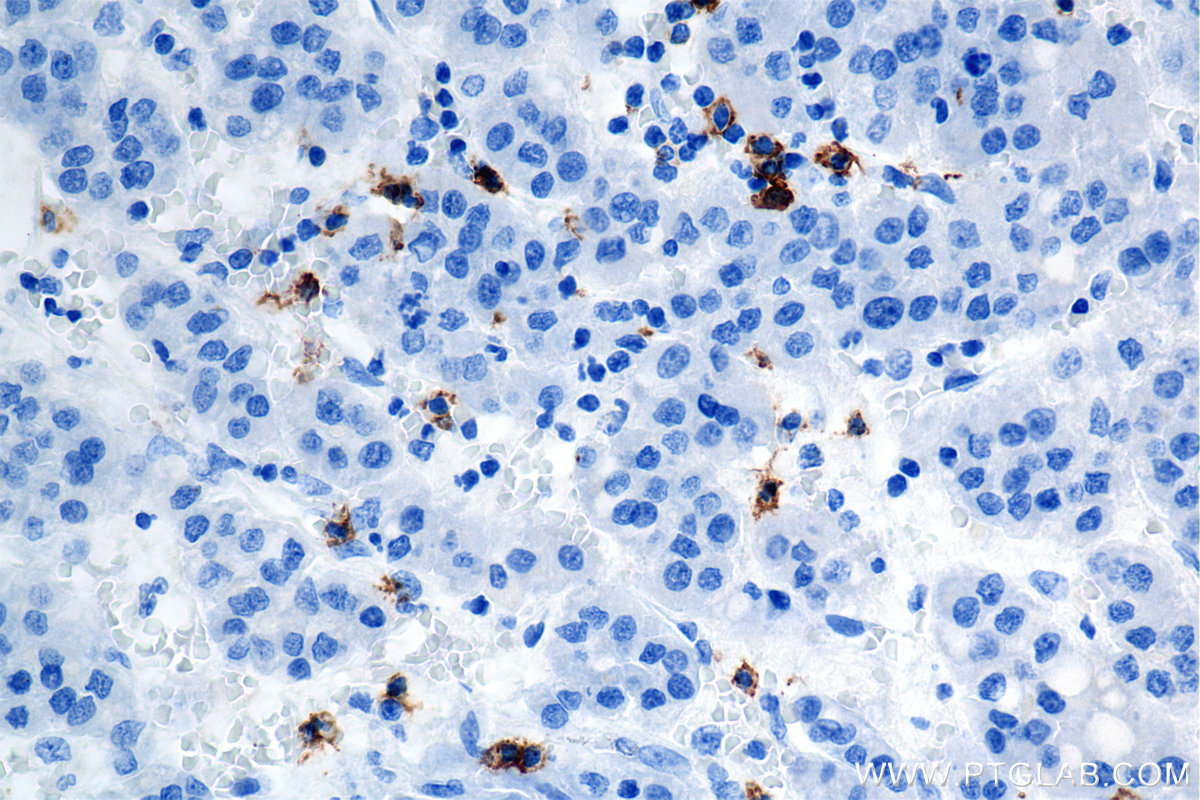
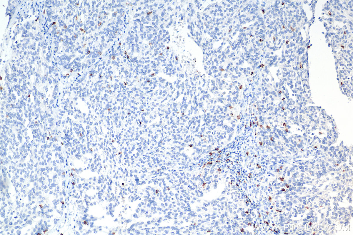
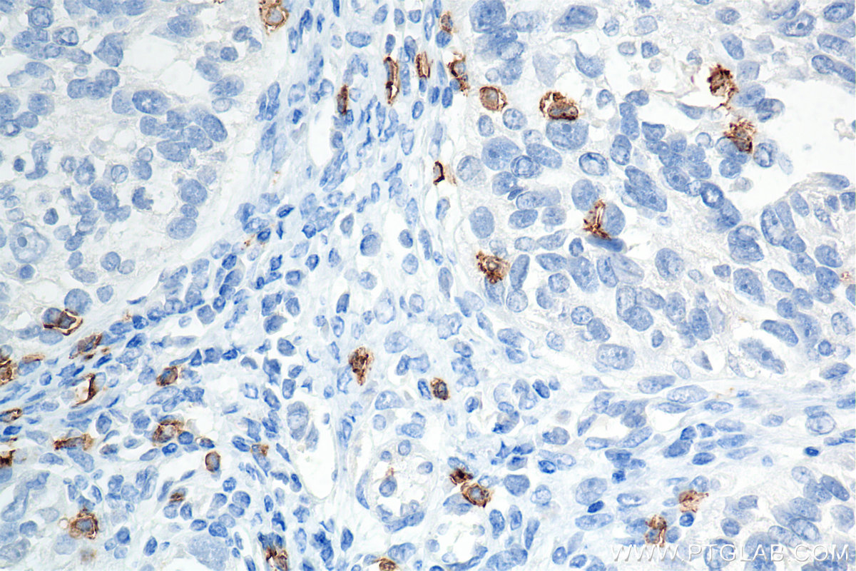
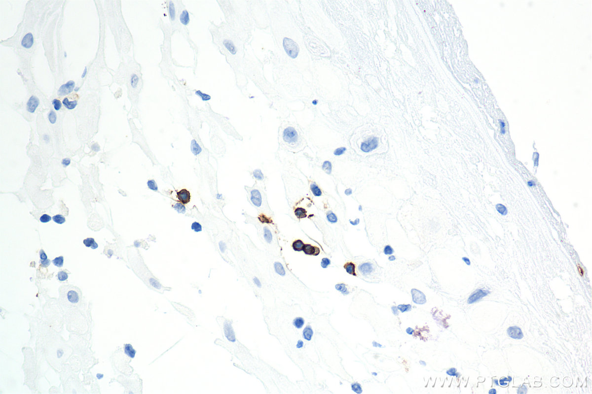
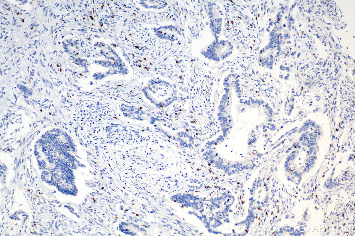
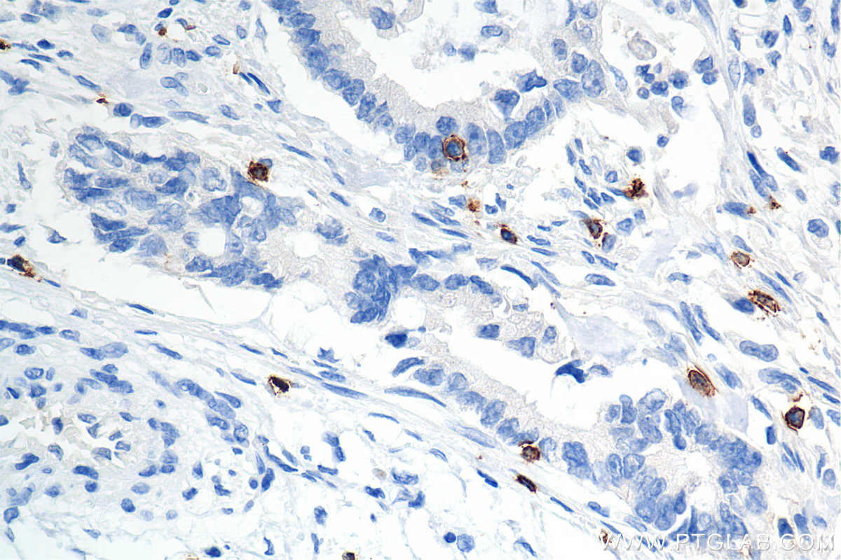
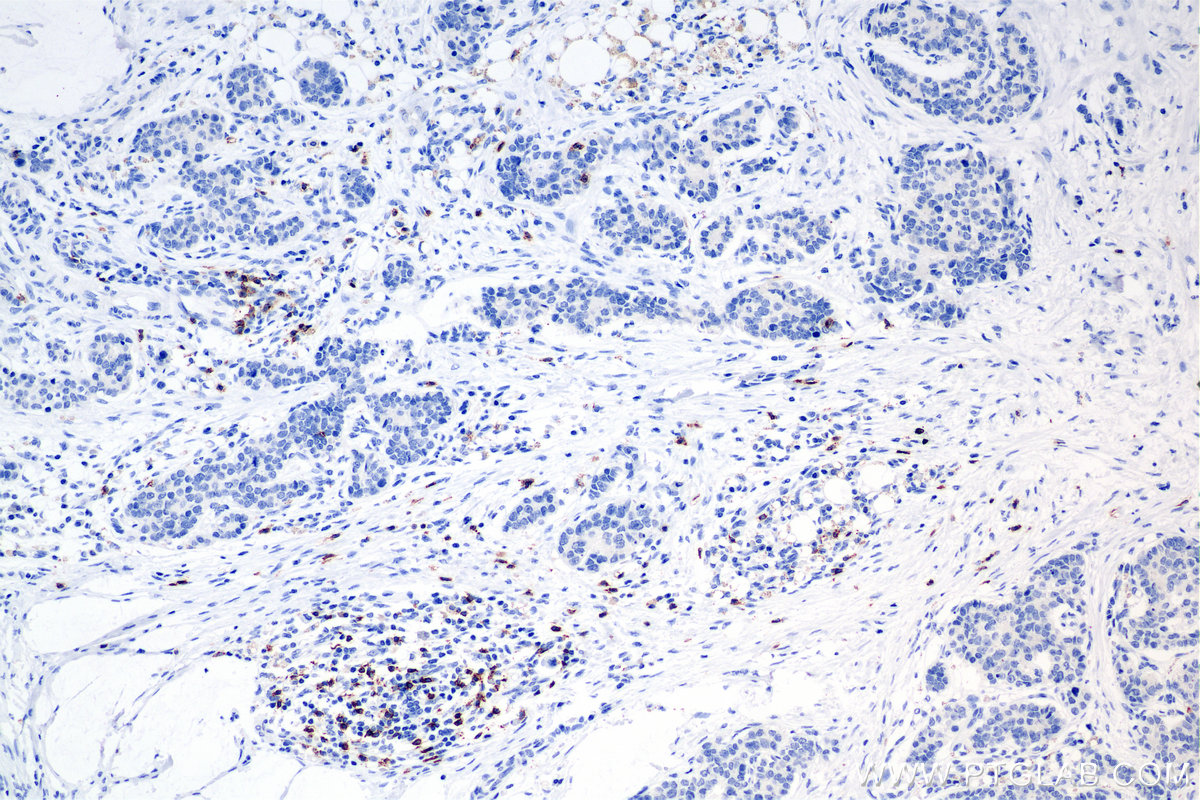
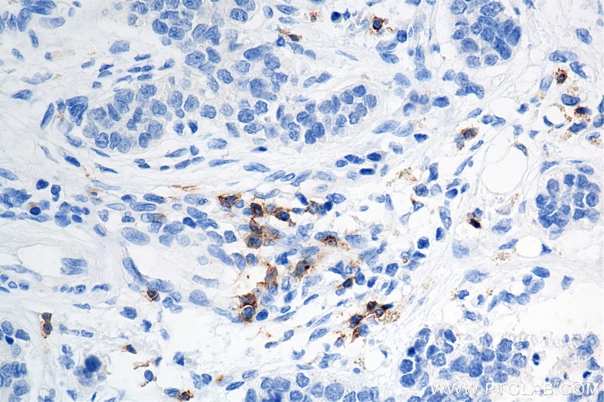
| Positive IHC detected in | human tonsillitis tissue, human ovary cancer tissue, human stomach cancer tissue, human rectal cancer tissue, human hepatocellular cancer, human breast cancer tissue, human placenta tissue, human spleen tissue Note: suggested antigen retrieval with TE buffer pH 9.0; (*) Alternatively, antigen retrieval may be performed with citrate buffer pH 6.0 |
| Positive IF-P detected in | human tonsillitis tissue |
推荐稀释比
| 应用 | 推荐稀释比 |
|---|---|
| Immunohistochemistry (IHC) | IHC : 1:2000-1:8000 |
| Immunofluorescence (IF)-P | IF-P : 1:200-1:800 |
| It is recommended that this reagent should be titrated in each testing system to obtain optimal results. | |
| Sample-dependent, Check data in validation data gallery. | |
产品信息
86063-2-RR targets CD8a in IHC, IF-P, ELISA applications and shows reactivity with human samples.
| 经测试应用 | IHC, IF-P, ELISA Application Description |
| 经测试反应性 | human |
| 免疫原 |
CatNo: Eg0819 Product name: Recombinant Human CD8a protein (His Tag) Source: mammalian cells-derived, pHZ-KIsec-C-6*HIS Tag: C-6*HIS Domain: 22-182 aa of NM_001145873.1 Sequence: SQFRVSPLDRTWNLGETVELKCQVLLSNPTSGCSWLFQPRGAAASPTFLLYLSQNKPKAAEGLDTQRFSGKRLGDTFVLTLSDFRRENEGYYFCSALSNSIMYFSHFVPVFLPAKPTTTPAPRPPTPAPTIASQPLSLRPEACRPAAGGAVHTRGLDFACD 种属同源性预测 |
| 宿主/亚型 | Rabbit / IgG |
| 抗体类别 | Recombinant |
| 产品类型 | Antibody |
| 全称 | CD8a molecule |
| 别名 | CD8, CD8a molecule, Leu2, MAL, p32 |
| 计算分子量 | 26 kDa |
| GenBank蛋白编号 | NM_001145873.1 |
| 基因名称 | CD8A |
| Gene ID (NCBI) | 925 |
| ENSEMBL Gene ID | ENSG00000153563 |
| RRID | AB_3744590 |
| 偶联类型 | Unconjugated |
| 形式 | Liquid |
| 纯化方式 | Protein A purification |
| UNIPROT ID | P01732-1 |
| 储存缓冲液 | PBS with 0.02% sodium azide and 50% glycerol, pH 7.3. |
| 储存条件 | Store at -20°C. Stable for one year after shipment. Aliquoting is unnecessary for -20oC storage. |
背景介绍
CD8 is a transmembrane glycoprotein that is predominantly expressed on the surface of cytotoxic T cells, and can also be found on natural killer cells, cortical thymocytes, and dendritic cells. CD8 serves as a co-receptor for the T cell receptor (TCR). Both CD8 and TCR recognize antigens displayed by an antigen presenting cell (APC) in the context of class I MHC molecules. CD8 plays a role in T cell development and activation of mature T cells. This antibody is raised against 22-182 aa of human CD8a, the alpha chain of CD8 molecule.
实验方案
| Product Specific Protocols | |
|---|---|
| IF protocol for CD8a antibody 86063-2-RR | Download protocol |
| IHC protocol for CD8a antibody 86063-2-RR | Download protocol |
| Standard Protocols | |
|---|---|
| Click here to view our Standard Protocols |

















