验证数据展示
经过测试的应用
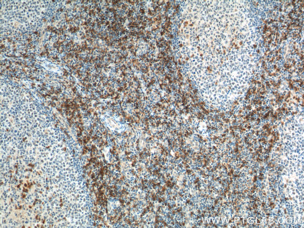
| Positive IHC detected in | human tonsillitis tissue Note: suggested antigen retrieval with TE buffer pH 9.0; (*) Alternatively, antigen retrieval may be performed with citrate buffer pH 6.0 |
推荐稀释比
| 应用 | 推荐稀释比 |
|---|---|
| Immunohistochemistry (IHC) | IHC : 1:50-1:500 |
| It is recommended that this reagent should be titrated in each testing system to obtain optimal results. | |
| Sample-dependent, Check data in validation data gallery. | |
发表文章中的应用
| IHC | See 9 publications below |
| IF | See 2 publications below |
产品信息
17335-1-AP targets CD8a in IHC, IF, ELISA applications and shows reactivity with human samples.
| 经测试应用 | IHC, ELISA Application Description |
| 文献引用应用 | IHC, IF |
| 经测试反应性 | human |
| 文献引用反应性 | human, mouse |
| 免疫原 |
CatNo: Ag11370 Product name: Recombinant human CD8A protein Source: e coli.-derived, PGEX-4T Tag: GST Domain: 23-183 aa of BC025715 Sequence: QFRVSPLDRTWNLGETVELKCQVLLSNPTSGCSWLFQPRGAAASPTFLLYLSQNKPKAAEGLDTQRFSGKRLGDTFVLTLSDFRRENEGCYFCSALSNSIMYFSHFVPVFLPAKPTTTPAPRPPTPAPTIASQPLSLRPEACRPAAGGAVHTRGLDFACDI 种属同源性预测 |
| 宿主/亚型 | Rabbit / IgG |
| 抗体类别 | Polyclonal |
| 产品类型 | Antibody |
| 全称 | CD8a molecule |
| 别名 | |
| 计算分子量 | 235 aa, 26 kDa |
| GenBank蛋白编号 | BC025715 |
| 基因名称 | CD8A |
| Gene ID (NCBI) | 925 |
| ENSEMBL Gene ID | ENSG00000153563 |
| 偶联类型 | Unconjugated |
| 形式 | Liquid |
| 纯化方式 | Antigen affinity purification |
| UNIPROT ID | P01732 |
| 储存缓冲液 | PBS with 0.02% sodium azide and 50% glycerol, pH 7.3. |
| 储存条件 | Store at -20°C. Stable for one year after shipment. Aliquoting is unnecessary for -20oC storage. |
背景介绍
CD8a is the alpha chain of CD8, a transmembrane glycoprotein that is predominantly expressed on the surface of cytotoxic T cells, and can also be found on natural killer cells, cortical thymocytes, and dendritic cells. CD8 serves as a co-receptor for the T cell receptor (TCR). Both CD8 and TCR recognize antigens displayed by an antigen presenting cell (APC) in the context of class I MHC molecules. CD8 plays a role in T cell development and activation of mature T cells.
发表文章
| Species | Application | Title |
|---|---|---|
J Hematol Oncol PD-1 axis expression in musculoskeletal tumors and antitumor effect of nivolumab in osteosarcoma model of humanized mouse. | ||
Front Oncol Changes in Tumor-Infiltrating Lymphocytes and Vascular Normalization in Breast Cancer Patients After Neoadjuvant Chemotherapy and Their Correlations With DFS. | ||
Sci Rep Inhibiting the CD8+ T cell infiltration in the tumor microenvironment after radiotherapy is an important mechanism of radioresistance. | ||
Virol Sin Detection of EBV and HHV6 in the Brain Tissue of Patients with Rasmussen's Encephalitis. | ||
Oncol Lett Survival analysis with regard to PD-L1 and CD155 expression in human small cell lung cancer and a comparison with associated receptors. | ||
Oncotarget Impact of mismatch-repair deficiency on the colorectal cancer immune microenvironment. |

