验证数据展示
经过测试的应用
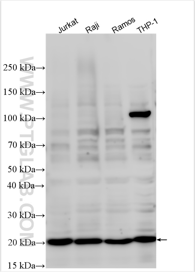
| Positive WB detected in | Raji cells, HCT 116 cells, mouse brain tissue, THP-1 cells, rat brain tissue, Jurkat cells, Ramos cells |
| Positive IHC detected in | human tonsillitis tissue Note: suggested antigen retrieval with TE buffer pH 9.0; (*) Alternatively, antigen retrieval may be performed with citrate buffer pH 6.0 |
推荐稀释比
| 应用 | 推荐稀释比 |
|---|---|
| Western Blot (WB) | WB : 1:1000-1:4000 |
| Immunohistochemistry (IHC) | IHC : 1:1000-1:4000 |
| It is recommended that this reagent should be titrated in each testing system to obtain optimal results. | |
| Sample-dependent, Check data in validation data gallery. | |
产品信息
27855-1-AP targets CD81 in WB, IHC, IF, ELISA applications and shows reactivity with human, mouse, rat samples.
| 经测试应用 | WB, IHC, ELISA Application Description |
| 文献引用应用 | WB, IHC, IF |
| 经测试反应性 | human, mouse, rat |
| 文献引用反应性 | human, mouse, rat, canine, zebrafish, bovine |
| 免疫原 |
CatNo: Ag27298 Product name: Recombinant human CD81 protein Source: e coli.-derived, PET28a Tag: 6*His Domain: 114-199 aa of BC002978 Sequence: VNKDQIAKDVKQFYDQALQQAVVDDDANNAKAVVKTFHETLDCCGSSTLTALTTSVLKNNLCPSGSNIISNLFKEDCHQKIDDLFS 种属同源性预测 |
| 宿主/亚型 | Rabbit / IgG |
| 抗体类别 | Polyclonal |
| 产品类型 | Antibody |
| 全称 | CD81 molecule |
| 别名 | 26 kDa cell surface protein TAPA-1, CD81 antigen, CD81 molecule, S5.7, TAPA1 |
| 计算分子量 | 26 kDa |
| 观测分子量 | 23 kDa |
| GenBank蛋白编号 | BC002978 |
| 基因名称 | CD81 |
| Gene ID (NCBI) | 975 |
| ENSEMBL Gene ID | ENSG00000110651 |
| RRID | AB_2880995 |
| 偶联类型 | Unconjugated |
| 形式 | Liquid |
| 纯化方式 | Antigen affinity purification |
| UNIPROT ID | P60033 |
| 储存缓冲液 | PBS with 0.02% sodium azide and 50% glycerol, pH 7.3. |
| 储存条件 | Store at -20°C. Stable for one year after shipment. Aliquoting is unnecessary for -20oC storage. |
背景介绍
CD81 (also known as TAPA1or TSPAN28) is a membrane protein of the tetraspanin superfamily, which are characterized by the presence of four conserved transmembrane regions. Many of these members are expressed on leukocytes and have been implicated in signal transduction, cell-cell interactions, and cellular activation and development. CD81 is involved in signal transduction and cell adhesion in the immune system (PMID: 9597125). CD81 has also been identified as an essential receptor for HCV (hepatitis C virus) (PMID: 21428934).
实验方案
| Product Specific Protocols | |
|---|---|
| IHC protocol for CD81 antibody 27855-1-AP | Download protocol |
| WB protocol for CD81 antibody 27855-1-AP | Download protocol |
| Standard Protocols | |
|---|---|
| Click here to view our Standard Protocols |
发表文章
| Species | Application | Title |
|---|---|---|
Adv Sci (Weinh) Astrocyte-Derived Extracellular Vesicular miR-143-3p Dampens Autophagic Degradation of Endothelial Adhesion Molecules and Promotes Neutrophil Transendothelial Migration after Acute Brain Injury | ||
Adv Sci (Weinh) POSTN-Mediated Interplay of M1 Polarized Macrophage with Tendon-Derived Stem Cells to Drive Traumatic Heterotopic Ossification Formation through PTK7/ATK Signaling | ||
EMBO J Extracellular vesicles from Zika virus-infected cells display viral E protein that binds ZIKV-neutralizing antibodies to prevent infection enhancement | ||
J Control Release 3D mesenchymal stem cell exosome-functionalized hydrogels for corneal wound healing | ||
J Nanobiotechnology Injectable photocrosslinking spherical hydrogel-encapsulated targeting peptide-modified engineered exosomes for osteoarthritis therapy | ||
Adv Healthc Mater Dual-Barb Microneedle with JAK/STAT Inhibitor-Loaded Nanovesicles Encapsulation for Tendinopathy |





