验证数据展示
产品信息
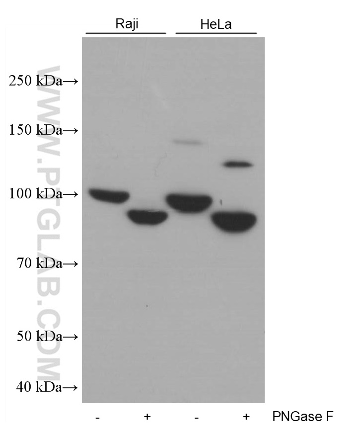
66180-1-PBS targets CD71 in WB, IHC, IF/ICC, IF-P, IP, ELISA applications and shows reactivity with human samples.
| 经测试应用 | WB, IHC, IF/ICC, IF-P, IP, ELISA Application Description |
| 经测试反应性 | human |
| 免疫原 |
CatNo: Ag21612 Product name: Recombinant human CD71 protein Source: e coli.-derived, PET30a Tag: 6*His Domain: 513-757 aa of BC001188 Sequence: VKHPVTGQFLYQDSNWASKVEKLTLDNAAFPFLAYSGIPAVSFCFCEDTDYPYLGTTMDTYKELIERIPELNKVARAAAEVAGQFVIKLTHDVELNLDYERYNSQLLSFVRDLNQYRADIKEMGLSLQWLYSARGDFFRATSRLTTDFGNAEKTDRFVMKKLNDRVMRVEYHFLSPYVSPKESPFRHVFWGSGSHTLPALLENLKLRKQNNGAFNETLFRNQLALATWTIQGAANALSGDVWDID 种属同源性预测 |
| 宿主/亚型 | Mouse / IgG2a |
| 抗体类别 | Monoclonal |
| 产品类型 | Antibody |
| 全称 | transferrin receptor (p90, CD71) |
| 别名 | TFR1, TFR, T9, sTfR, p90 |
| 计算分子量 | 85 kDa |
| 观测分子量 | 90 kDa |
| GenBank蛋白编号 | BC001188 |
| 基因名称 | CD71 |
| Gene ID (NCBI) | 7037 |
| ENSEMBL Gene ID | ENSG00000072274 |
| RRID | AB_2881575 |
| 偶联类型 | Unconjugated |
| 形式 | Liquid |
| 纯化方式 | Protein A purification |
| UNIPROT ID | P02786 |
| 储存缓冲液 | PBS only, pH 7.3. |
| 储存条件 | Store at -80°C. The product is shipped with ice packs. Upon receipt, store it immediately at -80°C |
背景介绍
CD71, also known as transferrin receptor protein 1 (TfR1), is a transmembrane glycoprotein composed of two disulfide-linked monomers, each of 90 kDa molecular weight. Each monomer binds one holo-transferrin molecule creating an iron-Tf-TfR complex which enters the cell by endocytosis. CD71 is present on actively proliferating cells and is essential for iron transport into proliferating cells.














