验证数据展示
经过测试的应用
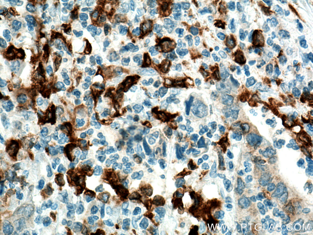
| Positive IHC detected in | human tonsillitis tissue, human appendicitis tissue,  human colon cancer tissue,  human liver cancer tissue,  human lung cancer tissue,  human urothelial carcinoma tissue Note: suggested antigen retrieval with TE buffer pH 9.0; (*) Alternatively, antigen retrieval may be performed with citrate buffer pH 6.0  | 
| Positive IF-P detected in | human tonsillitis tissue | 
推荐稀释比
| 应用 | 推荐稀释比 | 
|---|---|
| Immunohistochemistry (IHC) | IHC : 1:1000-1:6000 | 
| Immunofluorescence (IF)-P | IF-P : 1:3000-1:12000 | 
| It is recommended that this reagent should be titrated in each testing system to obtain optimal results. | |
| Sample-dependent, Check data in validation data gallery. | |
发表文章中的应用
| IHC | See 33 publications below | 
| IF | See 52 publications below | 
产品信息
66231-2-Ig targets CD68 in IHC, IF-P, ELISA applications and shows reactivity with human samples.
| 经测试应用 | IHC, IF-P, ELISA Application Description | 
| 文献引用应用 | IHC, IF | 
| 经测试反应性 | human | 
| 文献引用反应性 | human, pig | 
| 免疫原 | 
                                             CatNo: Ag22815 Product name: Recombinant human CD68 protein Source: e coli.-derived, PET28a Tag: 6*His Domain: 29-319 aa of BC015557 Sequence: SATLLPSFTVTPTVTESTGTTSHRTTKSHKTTTHRTTTTGTTSHGPTTATHNPTTTSHGNVTVHPTSNSTATSQGPSTATHSPATTSHGNATVHPTSNSTATSPGFTSSAHPEPPPPSPSPSPTSKETIGDYTWTNGSQPCVHLQAQIQIRVMYTTQGGGEAWGISVLNPNKTKVQGSCEGAHPHLLLSFPYGHLSFGFMQDLQQKVVYLSYMAVEYNVSFPHAAQWTFSAQNASLRDLQAPLGQSFSCSNSSIILSPAVHLDLLSLRLQAAQLPHTGVFGQSFSCPSDRS 种属同源性预测 | 
                                    
| 宿主/亚型 | Mouse / IgG1 | 
| 抗体类别 | Monoclonal | 
| 产品类型 | Antibody | 
| 全称 | CD68 molecule | 
| 别名 | 3A9A7, CD68 molecule, GP110, Macrosialin, SCARD1 | 
| 计算分子量 | 37 kDa | 
| GenBank蛋白编号 | BC015557 | 
| 基因名称 | CD68 | 
| Gene ID (NCBI) | 968 | 
| RRID | AB_2881622 | 
| 偶联类型 | Unconjugated | 
| 形式 | Liquid | 
| 纯化方式 | Protein G purification | 
| UNIPROT ID | P34810 | 
| 储存缓冲液 | PBS with 0.02% sodium azide and 50% glycerol, pH 7.3. | 
| 储存条件 | Store at -20°C. Stable for one year after shipment. Aliquoting is unnecessary for -20oC storage. | 
背景介绍
CD68 is a type I transmembrane glycoprotein that is highly expressed by human monocytes and tissue macrophages. It belongs to the lysosomal/endosomal-associated membrane glycoprotein (LAMP) family and primarily localizes to lysosomes and endosomes with a smaller fraction circulating to the cell surface. CD68 is also a member of the scavenger receptor family. It may play a role in phagocytic activities of tissue macrophages.
实验方案
| Product Specific Protocols | |
|---|---|
| IF protocol for CD68 antibody 66231-2-Ig | Download protocol | 
| IHC protocol for CD68 antibody 66231-2-Ig | Download protocol | 
| Standard Protocols | |
|---|---|
| Click here to view our Standard Protocols | 
发表文章
| Species | Application | Title | 
|---|---|---|
Cell Rep Med Microneedle delivery of CAR-M-like engineered macrophages alleviates intervertebral disc degeneration through enhanced efferocytosis capacity | ||
J Clin Invest Lactate inhibits ATP6V0d2 expression in tumor-associated macrophages to promote HIF-2α-mediated tumor progression. | ||
Adv Healthc Mater Wireless Electric Cues Mediate Autologous DPSC-Loaded Conductive Hydrogel Microspheres to Engineer The Immuno-Angiogenic Niche for Homologous Maxillofacial Bone Regeneration | ||
Redox Biol Redox-sensitive activation of CCL7 by BRG1 in hepatocytes during liver injury. | ||
Redox Biol Quercetin hinders microglial activation to alleviate neurotoxicity via the interplay between NLRP3 inflammasome and mitophagy. | ||
Transl Res Purinergic receptor P2 × 7 contributes to abdominal aortic aneurysm development via modulating macrophage pyroptosis and inflammation | 
















