验证数据展示
经过测试的应用
| Positive WB detected in | THP-1 cells, U-937 cells | 
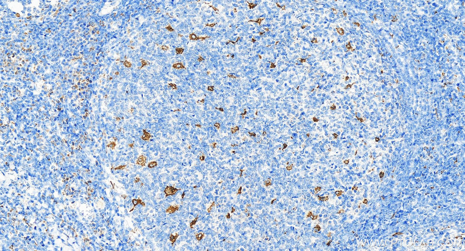
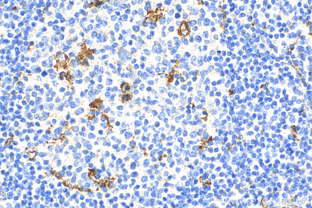
| Positive IHC detected in | human liver tissue, human tonsillitis tissue Note: suggested antigen retrieval with TE buffer pH 9.0; (*) Alternatively, antigen retrieval may be performed with citrate buffer pH 6.0 | 
| Positive IF-P detected in | human colon tissue, human tonsillitis tissue, human appendicitis tissue | 
推荐稀释比
| 应用 | 推荐稀释比 | 
|---|---|
| Western Blot (WB) | WB : 1:1000-1:8000 | 
| Immunohistochemistry (IHC) | IHC : 1:2000-1:8000 | 
| Immunofluorescence (IF)-P | IF-P : 1:50-1:500 | 
| It is recommended that this reagent should be titrated in each testing system to obtain optimal results. | |
| Sample-dependent, Check data in validation data gallery. | |
产品信息
25747-1-AP targets CD68 in WB, IHC, IF-P, ELISA applications and shows reactivity with human samples.
| 经测试应用 | WB, IHC, IF-P, ELISA Application Description | 
| 文献引用应用 | WB, IHC, IF | 
| 经测试反应性 | human | 
| 文献引用反应性 | human, pig, canine, zebrafish | 
| 免疫原 | CatNo: Ag22815 Product name: Recombinant human CD68 protein Source: e coli.-derived, PET28a Tag: 6*His Domain: 29-319 aa of BC015557 Sequence: SATLLPSFTVTPTVTESTGTTSHRTTKSHKTTTHRTTTTGTTSHGPTTATHNPTTTSHGNVTVHPTSNSTATSQGPSTATHSPATTSHGNATVHPTSNSTATSPGFTSSAHPEPPPPSPSPSPTSKETIGDYTWTNGSQPCVHLQAQIQIRVMYTTQGGGEAWGISVLNPNKTKVQGSCEGAHPHLLLSFPYGHLSFGFMQDLQQKVVYLSYMAVEYNVSFPHAAQWTFSAQNASLRDLQAPLGQSFSCSNSSIILSPAVHLDLLSLRLQAAQLPHTGVFGQSFSCPSDRS种属同源性预测 | 
| 宿主/亚型 | Rabbit / IgG | 
| 抗体类别 | Polyclonal | 
| 产品类型 | Antibody | 
| 全称 | CD68 molecule | 
| 别名 | CD68 molecule, GP110, Macrosialin, SCARD1 | 
| 计算分子量 | 37 kDa | 
| 观测分子量 | 60-70 kDa | 
| GenBank蛋白编号 | BC015557 | 
| 基因名称 | CD68 | 
| Gene ID (NCBI) | 968 | 
| RRID | AB_2721140 | 
| 偶联类型 | Unconjugated | 
| 形式 | Liquid | 
| 纯化方式 | Antigen affinity purification | 
| UNIPROT ID | P34810 | 
| 储存缓冲液 | PBS with 0.02% sodium azide and 50% glycerol, pH 7.3. | 
| 储存条件 | Store at -20°C. Stable for one year after shipment. Aliquoting is unnecessary for -20oC storage. | 
背景介绍
CD68 is a type I transmembrane glycoprotein that is highly expressed by human monocytes and tissue macrophages. It belongs to the lysosomal/endosomal-associated membrane glycoprotein (LAMP) family and primarily localizes to lysosomes and endosomes with a smaller fraction circulating to the cell surface. CD68 is also a member of the scavenger receptor family. It may play a role in phagocytic activities of tissue macrophages. The apparent molecular weight of CD68 is larger than calculated molecular weight due to post-translation modification.
实验方案
| Product Specific Protocols | |
|---|---|
| IF protocol for CD68 antibody 25747-1-AP | Download protocol | 
| IHC protocol for CD68 antibody 25747-1-AP | Download protocol | 
| WB protocol for CD68 antibody 25747-1-AP | Download protocol | 
| Standard Protocols | |
|---|---|
| Click here to view our Standard Protocols | 
发表文章
| Species | Application | Title | 
|---|---|---|
| Cell Metab Dual impacts of serine/glycine-free diet in enhancing antitumor immunity and promoting evasion via PD-L1 lactylation | ||
| Cell Metab Pharmacological inhibition of arachidonate 12-lipoxygenase ameliorates myocardial ischemia-reperfusion injury in multiple species. | ||
| Theranostics Platelets promote CRC by activating the C5a/C5aR1 axis via PSGL-1/JNK/STAT1 signaling in tumor-associated macrophages | ||
| Nat Commun The ubiquitin ligase ZNRF1 promotes caveolin-1 ubiquitination and degradation to modulate inflammation. | ||
| Aging Cell Inhibition of DNA methyltransferase aberrations reinstates antioxidant aging suppressors and ameliorates renal aging. | 













