验证数据展示
经过测试的应用
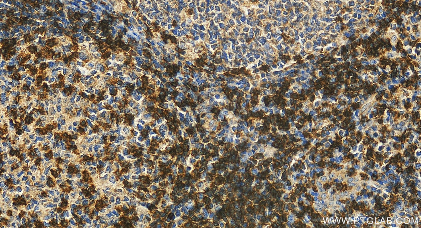
| Positive IHC detected in | human tonsillitis tissue Note: suggested antigen retrieval with TE buffer pH 9.0; (*) Alternatively, antigen retrieval may be performed with citrate buffer pH 6.0 |
推荐稀释比
| 应用 | 推荐稀释比 |
|---|---|
| Immunohistochemistry (IHC) | IHC : 1:200-1:800 |
| It is recommended that this reagent should be titrated in each testing system to obtain optimal results. | |
| Sample-dependent, Check data in validation data gallery. | |
产品信息
16763-1-AP targets CD6 in IHC, ELISA applications and shows reactivity with human samples.
| 经测试应用 | IHC, ELISA Application Description |
| 经测试反应性 | human |
| 免疫原 |
CatNo: Ag10336 Product name: Recombinant human CD6 protein Source: e coli.-derived, PGEX-4T Tag: GST Domain: 16-350 aa of BC078669 Sequence: SGHPSPAPPDQLNTSSAESELWEPGERLPVRLTNGSSSCSGTVEVRLEASWEPACGALWDSRAAEAVCRALGCGGAEAASQLAPPTPELPPPPAAGNTSVAANATLAGAPALLCSGAEWRLCEVVEHACRSDGRRARVTCAENRALRLVDGGGACAGRVEMLEHGEWGSVCDDTWDLEDAHVVCRQLGCGWAVQALPGLHFMPGRGPIHRDQVNCSGAEAYLWDCPGLPGQHYCGHKEDAGVVCSEHQSWRLTGGADRCEGQVEVHFRGVWNTVCDSEWYPSEAKVLCQSLGCGTAVERPKGLPHSLSGRMYYSCNGEELTLSNCSWRFNNSNLC 种属同源性预测 |
| 宿主/亚型 | Rabbit / IgG |
| 抗体类别 | Polyclonal |
| 产品类型 | Antibody |
| 全称 | CD6 molecule |
| 别名 | CD6 molecule, Soluble CD6, T12, T-cell differentiation antigen CD6, TP120 |
| 计算分子量 | 668 aa, 72 kDa |
| GenBank蛋白编号 | BC078669 |
| 基因名称 | CD6 |
| Gene ID (NCBI) | 923 |
| RRID | AB_2878312 |
| 偶联类型 | Unconjugated |
| 形式 | Liquid |
| 纯化方式 | Antigen affinity purification |
| UNIPROT ID | P30203 |
| 储存缓冲液 | PBS with 0.02% sodium azide and 50% glycerol, pH 7.3. |
| 储存条件 | Store at -20°C. Stable for one year after shipment. Aliquoting is unnecessary for -20oC storage. |
背景介绍
CD6 is a type I transmembrane glycoprotein of 105-130 kDa that belongs to the scavenger receptor cysteine-rich superfamily (PMID: 21880988). It is composed of an extracellular region, which consists of three tandem SRCR domains, a transmembrane region, and a cytoplasmic tail devoid of intrinsic catalytic activity but harboring several phosphorylatable residues suitable for intracellular signal transduction (PMID: 38139340; 23711376). CD6 is expressed by T cells, medullary thymocytes, a subset of B cells and NK cells, and in some cells of the brain (PMID: 1919444; 21178331). CD6 plays a role in lymphocyte activation, proliferation, and survival processes via interaction with its endogenous ligands.
实验方案
| Product Specific Protocols | |
|---|---|
| IHC protocol for CD6 antibody 16763-1-AP | Download protocol |
| Standard Protocols | |
|---|---|
| Click here to view our Standard Protocols |

