验证数据展示
经过测试的应用
| Positive WB detected in | HeLa cells, A549 cells, MKN-45 cells, human placenta tissue, K-562 cells |
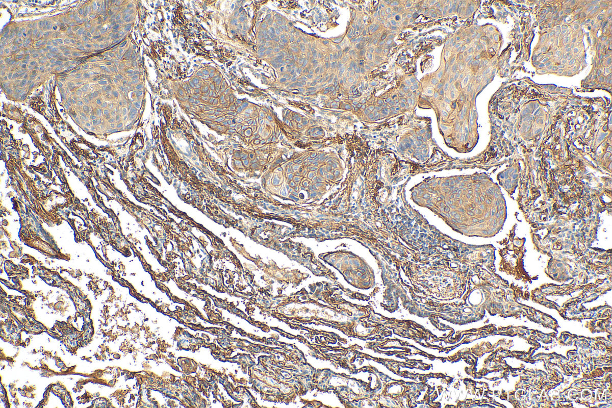
| Positive IHC detected in | human lung cancer tissue, human placenta tissue Note: suggested antigen retrieval with TE buffer pH 9.0; (*) Alternatively, antigen retrieval may be performed with citrate buffer pH 6.0 |
| Positive IF/ICC detected in | A549 cells |
推荐稀释比
| 应用 | 推荐稀释比 |
|---|---|
| Western Blot (WB) | WB : 1:2000-1:10000 |
| Immunohistochemistry (IHC) | IHC : 1:200-1:800 |
| Immunofluorescence (IF)/ICC | IF/ICC : 1:50-1:500 |
| It is recommended that this reagent should be titrated in each testing system to obtain optimal results. | |
| Sample-dependent, Check data in validation data gallery. | |
产品信息
82781-6-RR targets CD55 in WB, IHC, IF/ICC, ELISA applications and shows reactivity with human samples.
| 经测试应用 | WB, IHC, IF/ICC, ELISA Application Description |
| 经测试反应性 | human |
| 免疫原 |
CatNo: Ag25026 Product name: Recombinant human CD55 protein Source: e coli.-derived, PGEX-4T Tag: GST Domain: 35-126 aa of BC001288 Sequence: DCGLPPDVPNAQPALEGRTSFPEDTVITYKCEESFVKIPGEKDSVICLKGSQWSDIEEFCNRSCEVPTRLNSASLKQPYITQNYFPVGTVVE 种属同源性预测 |
| 宿主/亚型 | Rabbit / IgG |
| 抗体类别 | Recombinant |
| 产品类型 | Antibody |
| 全称 | CD55 molecule, decay accelerating factor for complement (Cromer blood group) |
| 别名 | 2D2, Complement decay-accelerating factor, CR, CROM, DAF |
| 计算分子量 | 41 kDa |
| 观测分子量 | 75 kDa |
| GenBank蛋白编号 | BC001288 |
| 基因名称 | CD55 |
| Gene ID (NCBI) | 1604 |
| RRID | AB_3086534 |
| 偶联类型 | Unconjugated |
| 形式 | Liquid |
| 纯化方式 | Protein A purification |
| UNIPROT ID | P08174 |
| 储存缓冲液 | PBS with 0.02% sodium azide and 50% glycerol, pH 7.3. |
| 储存条件 | Store at -20°C. Stable for one year after shipment. Aliquoting is unnecessary for -20oC storage. |
背景介绍
CD55, also known as DAF, is a glycosylphosphatidylinositol (GPI)-anchored surface glycoprotein that is widely distributed on blood, stroma, epithelial, and endothelial cells (PMID: 7517044; 29503741). It can also exist as a soluble form in plasma, urine, saliva, tears, and synovial fluids (PMID: 29503741). CD55 is a complement regulatory protein (PMID: 2469439; 7517044). It inhibits formation of the C3 convertases through binding to C3b and C4b. It also binds the alternate pathway convertase C3bBb, the classical pathway convertase and C4b2a to accelerate their decay (PMID: 17289551). CD55 also serves as a receptor for coxsackieviruses B1, B3, and B5 and several enteroviruses (PMID: 7538177; 7517044). The observed molecular weight of mature CD55 varies between 50 to 100 kDa depending on the cell type. Different sizes of CD55 might be caused by alternative splicing or different glycosylation patterns (PMID: 29503741).
实验方案
| Product Specific Protocols | |
|---|---|
| IF protocol for CD55 antibody 82781-6-RR | Download protocol |
| IHC protocol for CD55 antibody 82781-6-RR | Download protocol |
| WB protocol for CD55 antibody 82781-6-RR | Download protocol |
| Standard Protocols | |
|---|---|
| Click here to view our Standard Protocols |







