验证数据展示
经过测试的应用
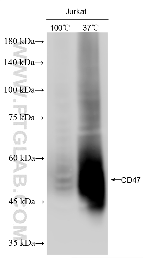
| Positive WB detected in | Jurkat cells |
推荐稀释比
| 应用 | 推荐稀释比 |
|---|---|
| Western Blot (WB) | WB : 1:500-1:2000 |
| It is recommended that this reagent should be titrated in each testing system to obtain optimal results. | |
| Sample-dependent, Check data in validation data gallery. | |
产品信息
80928-2-RR targets CD47 in WB, ELISA applications and shows reactivity with human samples.
| 经测试应用 | WB, ELISA Application Description |
| 经测试反应性 | human |
| 免疫原 |
CatNo: Eg1767 Product name: Recombinant Human CD47 protein (rFc Tag)(HPLC verified) Source: mammalian cells-derived, pHZ-KIsec-C-rFc Tag: C-rFc Domain: 19-139 aa of NM_001777.4 Sequence: QLLFNKTKSVEFTFCNDTVVIPCFVTNMEAQNTTEVYVKWKFKGRDIYTFDGALNKSTVPTDFSSAKIEVSQLLKGDASLKMDKSDAVSHTGNYTCEVTELTREGETIIELKYRVVSWFSP 种属同源性预测 |
| 宿主/亚型 | Rabbit / IgG |
| 抗体类别 | Recombinant |
| 产品类型 | Antibody |
| 全称 | CD47 molecule |
| 别名 | CD47 molecule, IAP, Integrin associated protein, Integrin-associated protein, Leukocyte surface antigen CD47 |
| 计算分子量 | 35kDa |
| 观测分子量 | 50-55 kDa |
| GenBank蛋白编号 | NM_001777.4 |
| 基因名称 | CD47 |
| Gene ID (NCBI) | 961 |
| 偶联类型 | Unconjugated |
| 形式 | Liquid |
| 纯化方式 | Protein A purification |
| UNIPROT ID | Q08722-1 |
| 储存缓冲液 | PBS with 0.02% sodium azide and 50% glycerol, pH 7.3. |
| 储存条件 | Store at -20°C. Stable for one year after shipment. Aliquoting is unnecessary for -20oC storage. |
背景介绍
CD47, also known as integrin-associated protein (IAP), is a member of the immunoglobulin superfamily containing a five-pass transmembrane attachment. CD47 is heavily glycosylated and widely expressed by hematopoietic and nonhematopoietic cells. CD47 interacts with several membrane integrins and also acts as a receptor for thrombospondin (THBS1). It is involved in a range of cellular processes, including apoptosis, proliferation, adhesion, and migration. CD47 also functions as a ligand for signal regulatory protein-α (SIRPα). Upon binding CD47, SIRPα initiates a signaling cascade that results in the inhibition of phagocytosis.
实验方案
| Product Specific Protocols | |
|---|---|
| WB protocol for CD47 antibody 80928-2-RR | Download protocol |
| Standard Protocols | |
|---|---|
| Click here to view our Standard Protocols |

