验证数据展示
经过测试的应用
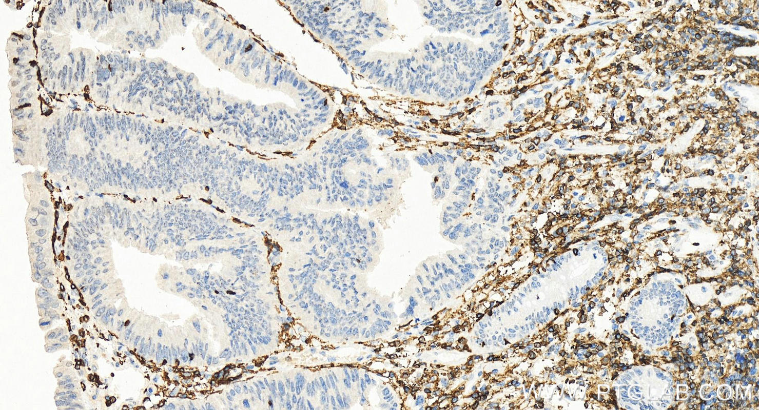
| Positive IHC detected in | human tonsillitis tissue, human colon cancer tissue Note: suggested antigen retrieval with TE buffer pH 9.0; (*) Alternatively, antigen retrieval may be performed with citrate buffer pH 6.0 |
| Positive IF-P detected in | human colon cancer tissue |
| Positive FC detected in | human PBMCs |
推荐稀释比
| 应用 | 推荐稀释比 |
|---|---|
| Immunohistochemistry (IHC) | IHC : 1:500-1:2000 |
| Immunofluorescence (IF)-P | IF-P : 1:200-1:800 |
| Flow Cytometry (FC) | FC : 0.2 ug per 10^6 cells in 100 μl suspension |
| This reagent has been tested for flow cytometric analysis. It is recommended that this reagent should be titrated in each testing system to obtain optimal results. | |
| Sample-dependent, Check data in validation data gallery. | |
发表文章中的应用
| IF | See 2 publications below |
| ELISA | See 1 publications below |
产品信息
65150-1-Ig targets CD45RO in IHC, IF-P, FC, ELISA applications and shows reactivity with human samples.
| 经测试应用 | IHC, IF-P, FC Application Description |
| 文献引用应用 | IF, ELISA |
| 经测试反应性 | human |
| 文献引用反应性 | human |
| 免疫原 |
IL-2 dependent T cell line, CA1 种属同源性预测 |
| 宿主/亚型 | Mouse / IgG2a, kappa |
| 抗体类别 | Monoclonal |
| 产品类型 | Antibody |
| 全称 | protein tyrosine phosphatase, receptor type, C |
| 别名 | CD45, EC:3.1.3.48, GP180, L CA, LCA |
| GenBank蛋白编号 | BC014239 |
| 基因名称 | CD45 |
| Gene ID (NCBI) | 5788 |
| ENSEMBL Gene ID | ENSG00000081237 |
| RRID | AB_2881476 |
| 偶联类型 | Unconjugated |
| 形式 | Liquid |
| 纯化方式 | Protein A purification |
| UNIPROT ID | P08575 |
| 储存缓冲液 | PBS with 0.09% sodium azide, pH 7.3. |
| 储存条件 | Store at 2-8°C. Stable for one year after shipment. |
背景介绍
CD45, also known as protein tyrosine phosphatase, receptor type C, is a type I transmembrane protein expressed on the surface of all haematopoietic cells with the exception of erythrocytes and platelets (PMID: 3489673; 28615666). CD45 is a pan-haematopoietic cell marker and has been shown to be essential for T- and B-cell activation and signalling (PMID: 9429890; 16378097). CD45 exists as multiple isoforms due to alternative splicing of three exons (4, 5, and 6, designated A, B, and C) in the extracellular domain (PMID: 12414720). CD45RO is the shortest CD45 isoform (lacking all three exons) and is expressed by activated and memory T cells, thymocytes, some B cells, and weakly on granulocytes and macrophage (PMID: 27100180; 12414720).
实验方案
| Product Specific Protocols | |
|---|---|
| FC protocol for CD45RO antibody 65150-1-Ig | Download protocol |
| IF protocol for CD45RO antibody 65150-1-Ig | Download protocol |
| IHC protocol for CD45RO antibody 65150-1-Ig | Download protocol |
| Standard Protocols | |
|---|---|
| Click here to view our Standard Protocols |
发表文章
| Species | Application | Title |
|---|---|---|
Curr Issues Mol Biol Significance of CD10 for Mucosal Immunomodulation by β-Casomorphin-7 in Exacerbation of Ulcerative Colitis | ||
Inflammation A Comparative Analysis Dissecting the Immune Landscape of Vitiligo and Melanoma from a single-cell Perspective: Two Sides of the Same Coin | ||
Cell Rep Proteomic and lipidomic analyses reveal molecular subtypes and potential targets in early-stage lung adenocarcinoma among non-smokers. |





