验证数据展示
经过测试的应用
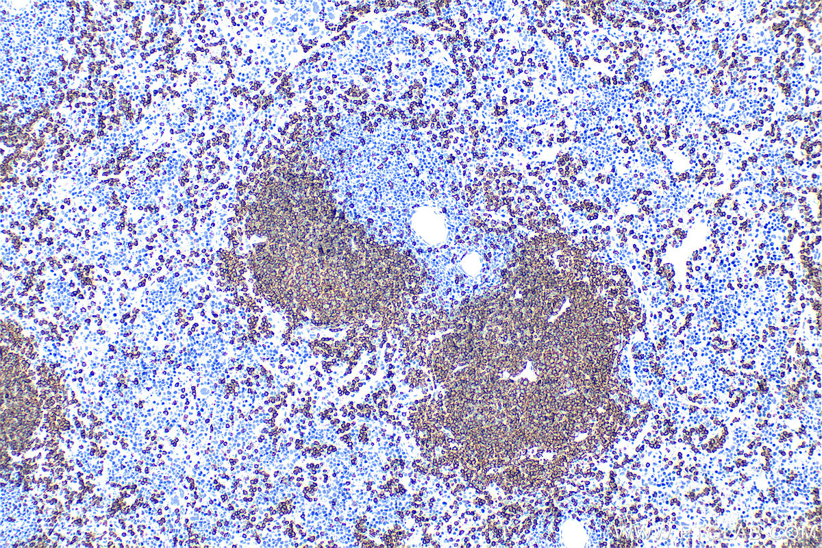
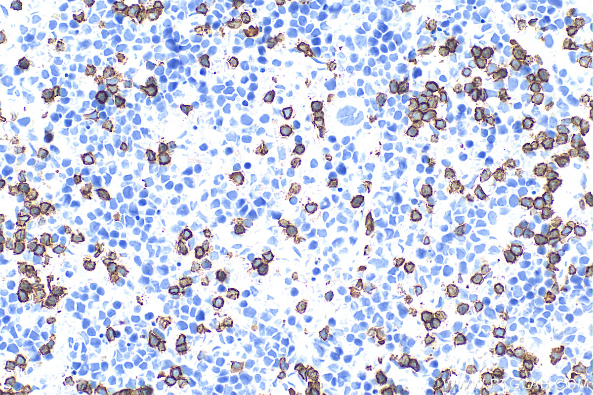
| Positive IHC detected in | mouse spleen tissue Note: suggested antigen retrieval with TE buffer pH 9.0; (*) Alternatively, antigen retrieval may be performed with citrate buffer pH 6.0 |
| Positive IF-P detected in | mouse spleen tissue |
| Positive IF/ICC detected in | mouse splenocytes |
| Positive FC detected in | mouse splenocytes |
推荐稀释比
| 应用 | 推荐稀释比 |
|---|---|
| Immunohistochemistry (IHC) | IHC : 1:1000-1:4000 |
| Immunofluorescence (IF)-P | IF-P : 1:200-1:800 |
| Immunofluorescence (IF)/ICC | IF/ICC : 1:250-1:1000 |
| Flow Cytometry (FC) | FC : 0.5 ug per 10^6 cells in 100 μl suspension |
| This reagent has been tested for flow cytometric analysis. It is recommended that this reagent should be titrated in each testing system to obtain optimal results. | |
| Sample-dependent, Check data in validation data gallery. | |
发表文章中的应用
| IF | See 1 publications below |
| FC | See 1 publications below |
产品信息
65139-1-Ig targets CD45R (B220) in IHC, IF/ICC, IF-P, FC applications and shows reactivity with mouse samples.
| 经测试应用 | IHC, IF/ICC, IF-P, FC Application Description |
| 文献引用应用 | IF, FC |
| 经测试反应性 | mouse |
| 文献引用反应性 | mouse |
| 免疫原 |
Abelson murine leukemia virus-induced pre-B tumor cells 种属同源性预测 |
| 宿主/亚型 | Rat / IgG2a, kappa |
| 抗体类别 | Monoclonal |
| 产品类型 | Antibody |
| 全称 | protein tyrosine phosphatase, receptor type, C |
| 别名 | B220, CD45R, Cd45, Ptprc, EC:3.1.3.48 |
| GenBank蛋白编号 | BC028512 |
| 基因名称 | CD45 |
| Gene ID (NCBI) | 19264 |
| RRID | AB_2918426 |
| 偶联类型 | Unconjugated |
| 形式 | Liquid |
| 纯化方式 | Affinity purification |
| UNIPROT ID | P06800 |
| 储存缓冲液 | PBS with 0.09% sodium azide, pH 7.3. |
| 储存条件 | Store at 2-8°C. Stable for one year after shipment. |
背景介绍
CD45, also known as protein tyrosine phosphatase, receptor type C, is a type I transmembrane protein expressed on the surface of all haematopoietic cells with the exception of erythrocytes and platelets (PMID: 3489673; 28615666). CD45 is a pan-haematopoietic cell marker and has been shown to be essential for T- and B-cell activation and signalling (PMID: 9429890; 16378097). CD45R (B220) is an isoform of CD45, expressed on murine B-lineage cells (except for plasma cells) and on a small sub-population of T cells (PMID: 6975314; 15712182). It is commonly used as a pan B-cell marker in mice. CD45R is also expressed on activated T cells and NK cell subsets (PMID: 7514808; 17923504). The RA3-6B2 clone reacts with human and mouse CD45R.
实验方案
| Product Specific Protocols | |
|---|---|
| FC protocol for CD45R (B220) antibody 65139-1-Ig | Download protocol |
| IF protocol for CD45R (B220) antibody 65139-1-Ig | Download protocol |
| IHC protocol for CD45R (B220) antibody 65139-1-Ig | Download protocol |
| Standard Protocols | |
|---|---|
| Click here to view our Standard Protocols |
发表文章
| Species | Application | Title |
|---|---|---|
ACS Nano Transporting via Neutrophil as a Key Mechanism for Nanoparticle Redistribution to Tumor and Spleen. |




