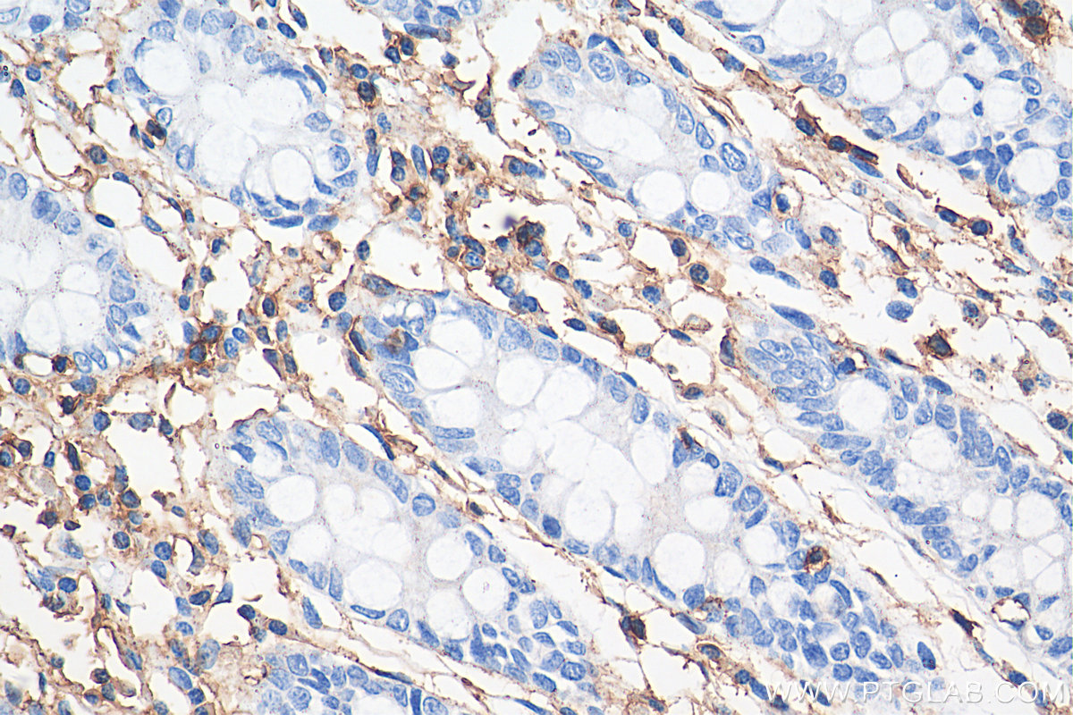
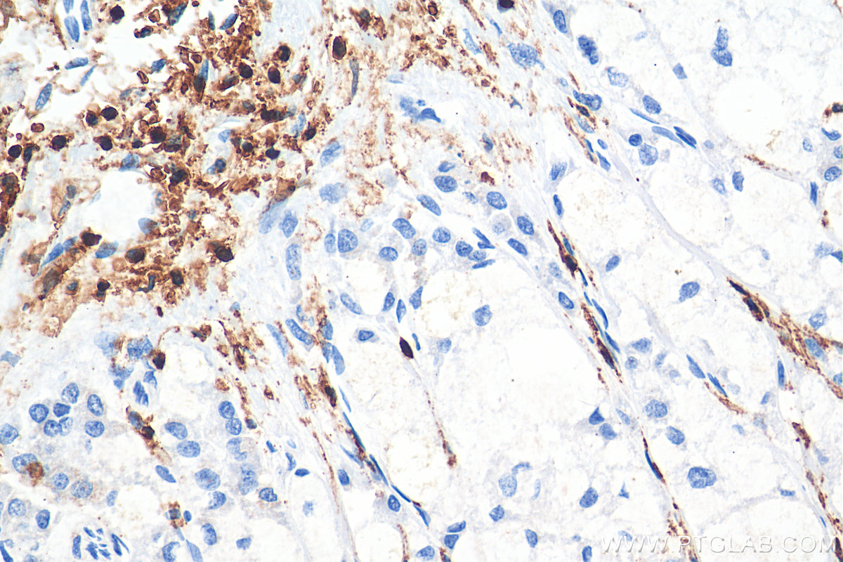
验证数据展示
经过测试的应用
| Positive WB detected in | Jurkat cells, Raji cells, Ramos cells |
| Positive IHC detected in | human tonsillitis tissue, human liver cancer tissue, human colon tissue Note: suggested antigen retrieval with TE buffer pH 9.0; (*) Alternatively, antigen retrieval may be performed with citrate buffer pH 6.0 |
推荐稀释比
| 应用 | 推荐稀释比 |
|---|---|
| Western Blot (WB) | WB : 1:5000-1:50000 |
| Immunohistochemistry (IHC) | IHC : 1:1000-1:4000 |
| It is recommended that this reagent should be titrated in each testing system to obtain optimal results. | |
| Sample-dependent, Check data in validation data gallery. | |
发表文章中的应用
| IF | See 1 publications below |
产品信息
29914-1-AP targets CD45 in WB, IHC, IF, ELISA applications and shows reactivity with human samples.
| 经测试应用 | WB, IHC, ELISA Application Description |
| 文献引用应用 | IF |
| 经测试反应性 | human |
| 文献引用反应性 | human |
| 免疫原 |
CatNo: Ag31286 Product name: Recombinant human CD45 protein Source: e coli.-derived, PGEX-4T Tag: GST Domain: 172-493 aa of BC014239 Sequence: TPSKPTCDEKYANITVDYLYNKETKLFTAKLNVNENVECGNNTCTNNEVHNLTECKNASVSISHNSCTAPDKTLILDVPPGVEKFQLHDCTQVEKADTTICLKWKNIETFTCDTQNITYRFQCGNMIFDNKEIKLENLEPEHEYKCDSEILYNNHKFTNASKIIKTDFGSPGEPQIIFCRSEAAHQGVITWNPPQRSFHNFTLCYIKETEKDCLNLDKNLIKYDLQNLKPYTKYVLSLHAYIIAKVQRNGSAAMCHFTTKSAPPSQVWNMTVSMTSDNSMHVKCRPPRDRNGPHERYHLEVEAGNTLVRNESHKNCDFRVKD 种属同源性预测 |
| 宿主/亚型 | Rabbit / IgG |
| 抗体类别 | Polyclonal |
| 产品类型 | Antibody |
| 全称 | protein tyrosine phosphatase, receptor type, C |
| 别名 | EC:3.1.3.48, GP180, L CA, LCA, L-CA |
| 计算分子量 | 1304 aa, 147 kDa |
| 观测分子量 | 180-250 kDa |
| GenBank蛋白编号 | BC014239 |
| 基因名称 | CD45 |
| Gene ID (NCBI) | 5788 |
| ENSEMBL Gene ID | ENSG00000081237 |
| RRID | AB_3086187 |
| 偶联类型 | Unconjugated |
| 形式 | Liquid |
| 纯化方式 | Antigen affinity purification |
| UNIPROT ID | P08575 |
| 储存缓冲液 | PBS with 0.02% sodium azide and 50% glycerol, pH 7.3. |
| 储存条件 | Store at -20°C. Stable for one year after shipment. Aliquoting is unnecessary for -20oC storage. |
背景介绍
CD45, also known as leukocyte common antigen (LCA), B220, and T200, is a 180-240 kD single-chain type I membrane glycoprotein. It is a tyrosine phosphatase expressed on the plasma membrane of all hematopoietic cells, except erythrocytes and platelets. CD45 is a signaling molecule that regulates a variety of cellular processes including cell growth, differentiation, cell cycle, and oncogenic transformation. CD45 is one of the best negative selection markers for characterizing and/or isolating human mesenchymal stem cells from bone marrow and other sources. Along with the positive selection markers (such as CD29, CD44, CD90, CD105 and CD166), negative selection markers (such as CD34 and CD45) are used for MSC identification.
实验方案
| Product Specific Protocols | |
|---|---|
| IHC protocol for CD45 antibody 29914-1-AP | Download protocol |
| WB protocol for CD45 antibody 29914-1-AP | Download protocol |
| Standard Protocols | |
|---|---|
| Click here to view our Standard Protocols |






