验证数据展示
经过测试的应用
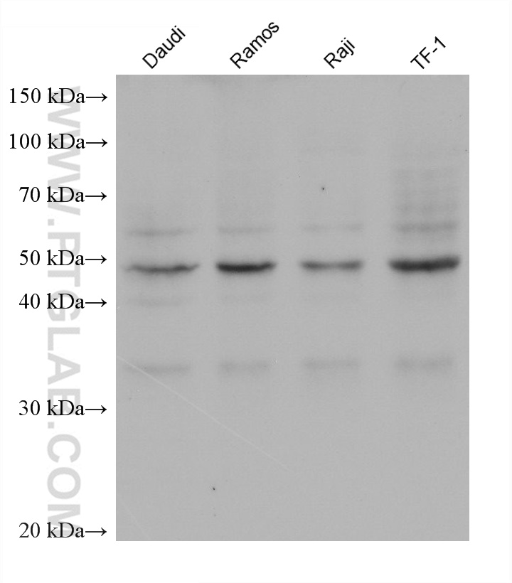
| Positive WB detected in | A549 cells, Daudi cells, Jurkat cells, NK-92 cells, THP-1 cells, Ramos cells, Raji cells, TF-1 cells |
| Positive IF-P detected in | mouse spleen tissue |
| Positive IF/ICC detected in | Raji cells |
推荐稀释比
| 应用 | 推荐稀释比 |
|---|---|
| Western Blot (WB) | WB : 1:2000-1:10000 |
| Immunofluorescence (IF)-P | IF-P : 1:200-1:800 |
| Immunofluorescence (IF)/ICC | IF/ICC : 1:400-1:1600 |
| It is recommended that this reagent should be titrated in each testing system to obtain optimal results. | |
| Sample-dependent, Check data in validation data gallery. | |
产品信息
60006-1-Ig targets CD38 in WB, IF/ICC, IF-P, ELISA, Cell treatment applications and shows reactivity with human, mouse samples.
| 经测试应用 | WB, IF/ICC, IF-P, ELISA Application Description |
| 文献引用应用 | WB, IF, Cell treatment |
| 经测试反应性 | human, mouse |
| 文献引用反应性 | human, mouse, rat, pig |
| 免疫原 |
CatNo: Ag0487 Product name: Recombinant human CD38 protein Source: e coli.-derived, PKG Tag: GST Domain: 1-300 aa of BC007964 Sequence: MANCEFSPVSGDKPCCRLSRRAQLCLGVSILVLILVVVLAVVVPRWRQQWSGPGTTKRFPETVLARCVKYTEIHPEMRHVDCQSVWDAFKGAFISKHPCNITEEDYQPLMKLGTQTVPCNKILLWSRIKDLAHQFTQVQRDMFTLEDTLLGYLADDLTWCGEFNTSKINYQSCPDWRKDCSNNPVSVFWKTVSRRFAEAACDVVHVMLNGSRSKIFDKNSTFGSVEVHNLQPEKVQTLEAWVIHGGREDSRDLCQDPTIKELESIISKRNIQFSCKNIYRPDKFLQCVKNPEDSSCTSEI 种属同源性预测 |
| 宿主/亚型 | Mouse / IgG1 |
| 抗体类别 | Monoclonal |
| 产品类型 | Antibody |
| 全称 | CD38 molecule |
| 别名 | 2'-phospho-ADP-ribosyl cyclase, 2'-phospho-ADP-ribosyl cyclase/2'-phospho-cyclic-ADP-ribose transferase, 2'-phospho-cyclic-ADP-ribose transferase, 3C6G4, ADP ribosyl cyclase 1 |
| 计算分子量 | 300 aa, 34 kDa |
| 观测分子量 | 45 kDa |
| GenBank蛋白编号 | BC007964 |
| 基因名称 | CD38 |
| Gene ID (NCBI) | 952 |
| ENSEMBL Gene ID | ENSG00000004468 |
| RRID | AB_716994 |
| 偶联类型 | Unconjugated |
| 形式 | Liquid |
| 纯化方式 | Protein G purification |
| UNIPROT ID | P28907 |
| 储存缓冲液 | PBS with 0.02% sodium azide and 50% glycerol, pH 7.3. |
| 储存条件 | Store at -20°C. Stable for one year after shipment. Aliquoting is unnecessary for -20oC storage. |
背景介绍
CD38, also known as ADP-ribosyl cyclase 1, is a type II transmembrane glycoprotein with a short N-terminal cytoplasmic tail, a single membrane-spanning domain, and a C-terminal extracellular region with four N-glycosylation sites (PMID: 2319135). The extracellular domain of CD38 has bifunctional enzyme activities that catalyze synthesis of cyclic ADP ribose from nicotinamide adenine dinucleotide (NAD) and hydrolysis of cyclic ADP ribose to adenosine diphosphoribose (PMID: 10636863). CD38 is expressed on a variety of hematopoietic and non-hematopoietic cells and is involved in diverse processes such as generation of calcium-mobilizing metabolites, cell activation, and chemotaxis (PMID: 25938500).
实验方案
| Product Specific Protocols | |
|---|---|
| IF protocol for CD38 antibody 60006-1-Ig | Download protocol |
| WB protocol for CD38 antibody 60006-1-Ig | Download protocol |
| Standard Protocols | |
|---|---|
| Click here to view our Standard Protocols |
发表文章
| Species | Application | Title |
|---|---|---|
Nat Immunol PD-1 blockade in subprimed CD8 cells induces dysfunctional PD-1+CD38hi cells and anti-PD-1 resistance.
| ||
Pharmacol Res Targeting CD38/ ADP-ribosyl cyclase as a novel therapeutic strategy for identification of three potent agonists for leukopenia treatment | ||
J Agric Food Chem Pelargonidin-3-O-galactoside Alleviates Acute Lung Injury Induced by Klebsiella pneumoniae by Targeting CD38-Mediated Pyroptosis | ||
Glia Activation of astrocytic sigma-1 receptor exerts antidepressant-like effect via facilitating CD38-driven mitochondria transfer.
| ||
Cancer Cell Int Targeting Lymphotoxin Beta and Paired Box 5: a potential therapeutic strategy for soft tissue sarcoma metastasis. | ||
Cell Rep Longitudinal analyses reveal distinct immune response landscapes in lung and intestinal tissues from SARS-CoV-2-infected rhesus macaques. |





