验证数据展示
经过测试的应用
| Positive WB detected in | Raji cells, HL-60 cells, Daudi cells, Ramos cells |
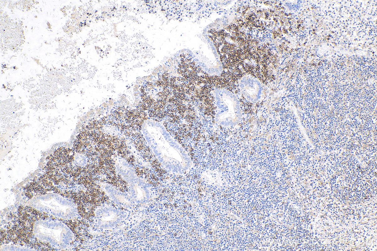
| Positive IHC detected in | human tonsillitis tissue, human appendicitis tissue Note: suggested antigen retrieval with TE buffer pH 9.0; (*) Alternatively, antigen retrieval may be performed with citrate buffer pH 6.0 |
推荐稀释比
| 应用 | 推荐稀释比 |
|---|---|
| Western Blot (WB) | WB : 1:1000-1:6000 |
| Immunohistochemistry (IHC) | IHC : 1:50-1:500 |
| It is recommended that this reagent should be titrated in each testing system to obtain optimal results. | |
| Sample-dependent, Check data in validation data gallery. | |
产品信息
25284-1-AP targets CD38 in WB, IHC, IF, ELISA applications and shows reactivity with human samples.
| 经测试应用 | WB, IHC, ELISA Application Description |
| 文献引用应用 | WB, IHC, IF |
| 经测试反应性 | human |
| 文献引用反应性 | human, mouse |
| 免疫原 |
CatNo: Ag17868 Product name: Recombinant human CD38 protein Source: e coli.-derived, T-HIS Tag: 6*His Domain: 1-300 aa of BC007964 Sequence: MANCEFSPVSGDKPCCRLSRRAQLCLGVSILVLILVVVLAVVVPRWRQQWSGPGTTKRFPETVLARCVKYTEIHPEMRHVDCQSVWDAFKGAFISKHPCNITEEDYQPLMKLGTQTVPCNKILLWSRIKDLAHQFTQVQRDMFTLEDTLLGYLADDLTWCGEFNTSKINYQSCPDWRKDCSNNPVSVFWKTVSRRFAEAACDVVHVMLNGSRSKIFDKNSTFGSVEVHNLQPEKVQTLEAWVIHGGREDSRDLCQDPTIKELESIISKRNIQFSCKNIYRPDKFLQCVKNPEDSSCTSEI 种属同源性预测 |
| 宿主/亚型 | Rabbit / IgG |
| 抗体类别 | Polyclonal |
| 产品类型 | Antibody |
| 全称 | CD38 molecule |
| 别名 | ADP ribosyl cyclase 1, cADPr hydrolase 1, CD38, CD38 molecule, Cyclic ADP ribose hydrolase 1, T10 |
| 计算分子量 | 300 aa, 34 kDa |
| 观测分子量 | 40-45 kDa |
| GenBank蛋白编号 | BC007964 |
| 基因名称 | CD38 |
| Gene ID (NCBI) | 952 |
| ENSEMBL Gene ID | ENSG00000004468 |
| RRID | AB_2880007 |
| 偶联类型 | Unconjugated |
| 形式 | Liquid |
| 纯化方式 | Antigen affinity purification |
| UNIPROT ID | P28907 |
| 储存缓冲液 | PBS with 0.02% sodium azide and 50% glycerol, pH 7.3. |
| 储存条件 | Store at -20°C. Stable for one year after shipment. Aliquoting is unnecessary for -20oC storage. |
背景介绍
CD38, also known as ADP-ribosyl cyclase 1, is a type II transmembrane glycoprotein with a short N-terminal cytoplasmic tail, a single membrane-spanning domain, and a C-terminal extracellular region with four N-glycosylation sites (PMID: 2319135). The extracellular domain of CD38 has bifunctional enzyme activities that catalyze synthesis of cyclic ADP ribose from nicotinamide adenine dinucleotide (NAD) and hydrolysis of cyclic ADP ribose to adenosine diphosphoribose (PMID: 10636863). CD38 is expressed on a variety of hematopoietic and non-hematopoietic cells and is involved in diverse processes such as generation of calcium-mobilizing metabolites, cell activation, and chemotaxis (PMID: 25938500).
实验方案
| Product Specific Protocols | |
|---|---|
| FC protocol for CD38 antibody 25284-1-AP | Download protocol |
| IHC protocol for CD38 antibody 25284-1-AP | Download protocol |
| WB protocol for CD38 antibody 25284-1-AP | Download protocol |
| Standard Protocols | |
|---|---|
| Click here to view our Standard Protocols |
发表文章
| Species | Application | Title |
|---|---|---|
Aging Dis ATF4 Contributes to Abdominal Aortic Aneurysm Formation via Modulating M1 Macrophage Polarization and Inflammation | ||
Front Oncol CD38 Multi-Functionality in Oral Squamous Cell Carcinoma: Prognostic Implications, Immune Balance, and Immune Checkpoint. | ||
Cell Commun Signal TRPV2-induced Ca2+-calcineurin-NFAT signaling regulates differentiation of osteoclast in multiple myeloma. | ||
Oncol Rep CD38 is highly expressed and affects the PI3K/Akt signaling pathway in cervical cancer. | ||
Cell Rep Tak1 licenses mitochondrial transfer from astrocytes to POMC neurons to maintain glucose and cholesterol homeostasis |






