验证数据展示
经过测试的应用
| Positive WB detected in | U-937 cells, HL-60 cells, THP-1 cells |
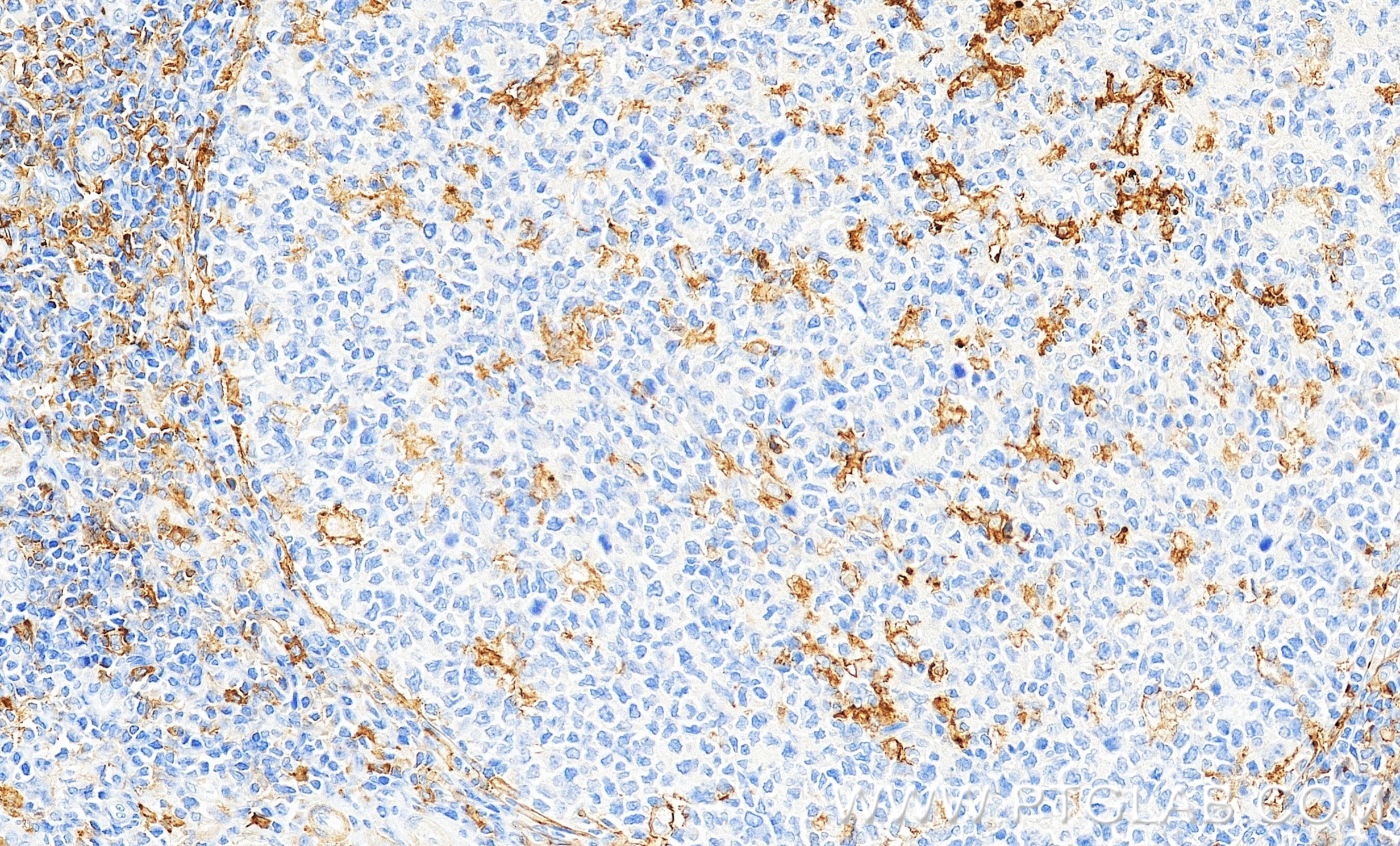
| Positive IHC detected in | human tonsillitis tissue Note: suggested antigen retrieval with TE buffer pH 9.0; (*) Alternatively, antigen retrieval may be performed with citrate buffer pH 6.0 |
推荐稀释比
| 应用 | 推荐稀释比 |
|---|---|
| Western Blot (WB) | WB : 1:2000-1:10000 |
| Immunohistochemistry (IHC) | IHC : 1:500-1:2000 |
| It is recommended that this reagent should be titrated in each testing system to obtain optimal results. | |
| Sample-dependent, Check data in validation data gallery. | |
产品信息
87497-1-RR targets CD300f in WB, IHC, ELISA applications and shows reactivity with human samples.
| 经测试应用 | WB, IHC, ELISA Application Description |
| 经测试反应性 | human |
| 免疫原 |
CatNo: Eg10440 Product name: Recombinant human CD300F protein Source: mammalian cells-derived, pHZ-KIsec-C-6*HIS Tag: C-6*HIS Sequence: \ 种属同源性预测 |
| 宿主/亚型 | Rabbit / IgG |
| 抗体类别 | Recombinant |
| 产品类型 | Antibody |
| 全称 | CD300 molecule-like family member f |
| 别名 | CD300LF, CD300 antigen-like family member F, CLM 1, CLM1, CLM-1 |
| 观测分子量 | 40-60 kDa |
| 基因名称 | CD300LF |
| Gene ID (NCBI) | 146722 |
| RRID | AB_3745582 |
| 偶联类型 | Unconjugated |
| 形式 | Liquid |
| 纯化方式 | Protein A purification |
| UNIPROT ID | Q8TDQ1 |
| 储存缓冲液 | PBS with 0.02% sodium azide and 50% glycerol, pH 7.3. |
| 储存条件 | Store at -20°C. Stable for one year after shipment. Aliquoting is unnecessary for -20oC storage. |
背景介绍
CD300f (also known as CLM-1 or IREM-1) is a type I transmembrane glycoprotein belonging to the CD300 family of immunoreceptors. Expressed predominantly on myeloid cells, including macrophages, dendritic cells, and mast cells, CD300f functions as an inhibitory receptor that regulates immune responses. Its extracellular domain contains a single IgV-like domain that recognizes phosphatidylserine and phosphatidylethanolamine, enabling recognition of apoptotic cells. The cytoplasmic tail harbors immunoreceptor tyrosine-based inhibitory motifs (ITIMs) that recruit phosphatases SHP-1 and SHP-2 upon phosphorylation, delivering negative signals. CD300f plays critical roles in dampening inflammation, promoting efferocytosis, and maintaining immune homeostasis (PMID: 28073916, PMID: 33548578, PMID: 37302321). The predicted molecular weight of CD300f is 32 kDa; however, due to different levels of N- and/or O-linked glycosylation modifications, its molecular weight may range from 40 to 60 kDa (PMID: 15549731, PMID: 31338922).
实验方案
| Product Specific Protocols | |
|---|---|
| IHC protocol for CD300f antibody 87497-1-RR | Download protocol |
| WB protocol for CD300f antibody 87497-1-RR | Download protocol |
| Standard Protocols | |
|---|---|
| Click here to view our Standard Protocols |



