验证数据展示
产品信息
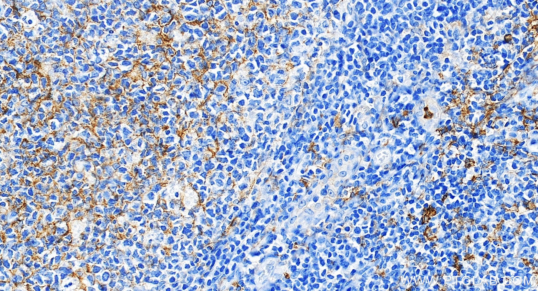
83055-4-PBS targets CD14 in IHC, Indirect ELISA applications and shows reactivity with human samples.
| 经测试应用 | IHC, Indirect ELISA Application Description |
| 经测试反应性 | human |
| 免疫原 |
CatNo: Eg0498 Product name: Recombinant human CD14 protein Source: mammalian cells-derived, pHZ-KIsec-C-6*HIS Tag: C-6*HIS Domain: 20-344 aa of BC010507 Sequence: TTPEPCELDDEDFRCVCNFSEPQPDWSEAFQCVSAVEVEIHAGGLNLEPFLKRVDADADPRQYADTVKALRVRRLTVGAAQVPAQLLVGALRVLAYSRLKELTLEDLKITGTMPPLPLEATGLALSSLRLRNVSWATGRSWLAELQQWLKPGLKVLSIAQAHSPAFSCEQVRAFPALTSLDLSDNPGLGERGLMAALCPHKFPAIQNLALRNTGMETPTGVCAALAAAGVQPHSLDLSHNSLRATVNPSAPRCMWSSALNSLNLSFAGLEQVPKGLPAKLRVLDLSCNRLNRAPQPDELPEVDNLTLDGNPFLVPGTALPHEGSM 种属同源性预测 |
| 宿主/亚型 | Rabbit / IgG |
| 抗体类别 | Recombinant |
| 产品类型 | Antibody |
| 全称 | CD14 molecule |
| 别名 | CD14 molecule, Monocyte differentiation antigen CD14, membrane-bound form, Monocyte differentiation antigen CD14, urinary form, Myeloid cell-specific leucine-rich glycoprotein |
| 计算分子量 | 375 aa, 40 kDa |
| GenBank蛋白编号 | BC010507 |
| 基因名称 | CD14 |
| Gene ID (NCBI) | 929 |
| ENSEMBL Gene ID | ENSG00000170458 |
| 偶联类型 | Unconjugated |
| 形式 | Liquid |
| 纯化方式 | Protein A purification |
| UNIPROT ID | P08571 |
| 储存缓冲液 | PBS only, pH 7.3. |
| 储存条件 | Store at -80°C. The product is shipped with ice packs. Upon receipt, store it immediately at -80°C |
背景介绍
CD14 is a 50-55 kDa glycosylphosphatidylinositol-anchored glycoprotein preferentially expressed on monocytes and macrophages, and at lower levels on granulocytes (PMID: 3385210; 2462937; 7685797). CD14 can also exist as a soluble protein. CD14 acts as a co-receptor for bacterial liposaccharides (LPS) (PMID: 1698311). It plays a major role in the inflammatory response of monocytes to LPS.

