验证数据展示
经过测试的应用
| Positive WB detected in | HT-29 cells, Caco-2 cells |
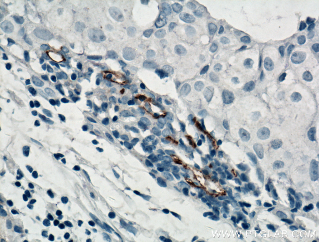
| Positive IHC detected in | human kidney tissue, human breast cancer tissue, human colon cancer tissue Note: suggested antigen retrieval with TE buffer pH 9.0; (*) Alternatively, antigen retrieval may be performed with citrate buffer pH 6.0 |
| Positive IF-P detected in | mouse colon tissue |
推荐稀释比
| 应用 | 推荐稀释比 |
|---|---|
| Western Blot (WB) | WB : 1:2000-1:10000 |
| Immunohistochemistry (IHC) | IHC : 1:500-1:2000 |
| Immunofluorescence (IF)-P | IF-P : 1:400-1:1600 |
| It is recommended that this reagent should be titrated in each testing system to obtain optimal results. | |
| Sample-dependent, Check data in validation data gallery. | |
产品信息
66666-1-Ig targets CD133 in WB, IHC, IF-P, ELISA applications and shows reactivity with human samples.
| 经测试应用 | WB, IHC, IF-P, ELISA Application Description |
| 文献引用应用 | WB, IHC, IF, ELISA |
| 经测试反应性 | human |
| 文献引用反应性 | human, mouse, rat |
| 免疫原 |
CatNo: Ag13327 Product name: Recombinant human CD133 protein Source: e coli.-derived, PGEX-4T Tag: GST Domain: 505-782 aa of BC012089 Sequence: LICEPYTSKELFRVLDTPYLLNEDWEYYLSGKLFNKSKMKLTFEQVYSDCKKNRGTYGTLHLQNSFNISEHLNINEHTGSISSELESLKVNLNIFLLGAAGRKNLQDFAACGIDRMNYDSYLAQTGKSPAGVNLLSFAYDLEAKANSLPPGNLRNSLKRDAQTIKTIHQQRVLPIEQSLSTLYQSVKILQRTGNGLLERVTRILASLDFAQNFITNNTSSVIIEETKKYGRTIIGYFEHYLQWIEFSISEKVASCKPVATALDTAVDVFLCSYIIDPL 种属同源性预测 |
| 宿主/亚型 | Mouse / IgG1 |
| 抗体类别 | Monoclonal |
| 产品类型 | Antibody |
| 全称 | prominin 1 |
| 别名 | 2B8A2, AC133, Antigen AC133, CORD12, MCDR2 |
| 计算分子量 | 97 kDa |
| 观测分子量 | 115 kDa, 80-90 kDa |
| GenBank蛋白编号 | BC012089 |
| 基因名称 | CD133 |
| Gene ID (NCBI) | 8842 |
| RRID | AB_2801586 |
| 偶联类型 | Unconjugated |
| 形式 | Liquid |
| 纯化方式 | Protein G purification |
| UNIPROT ID | O43490 |
| 储存缓冲液 | PBS with 0.02% sodium azide and 50% glycerol, pH 7.3. |
| 储存条件 | Store at -20°C. Stable for one year after shipment. Aliquoting is unnecessary for -20oC storage. |
背景介绍
CD133, also known as PROM1 (prominin-1) or AC133, belongs to the prominin family. CD133 is a transmembrane glycoprotein with an NH2-terminal extracellular domain, five transmembrane loops and a cytoplasmic tail. The expression of CD133 has been reported in hematopoietic stem cells, endothelial progenitor cells, neuronal and glial stem cells, suggesting the potential role of CD133 as a cell surface marker of adult stem cells. CD133 has also been reported as a marker of cancer stem cells in various human tumors. CD133 is a highly glycosylated protein with an apparent molecular weight of 115-120 kDa. After the treatment of the lysates with glycosidase, CD133 shifted to a protein with an apparent molecular weight of 80-90 kDa (PMID: 23150174; 20068153).
实验方案
| Product Specific Protocols | |
|---|---|
| IF protocol for CD133 antibody 66666-1-Ig | Download protocol |
| IHC protocol for CD133 antibody 66666-1-Ig | Download protocol |
| WB protocol for CD133 antibody 66666-1-Ig | Download protocol |
| Standard Protocols | |
|---|---|
| Click here to view our Standard Protocols |
发表文章
| Species | Application | Title |
|---|---|---|
J Exp Clin Cancer Res ISG15 and ISGylation modulates cancer stem cell-like characteristics in promoting tumor growth of anaplastic thyroid carcinoma | ||
Phytomedicine Curzerene suppresses epithelial-mesenchymal transition in gastric precancerous lesion cells through targeted regulation of YAP via the long non-coding RNA AFAP1-AS1 | ||
Int J Cancer Metabolic characterization of sphere-derived prostate cancer stem cells reveals aberrant urea cycle in stemness maintenance | ||
Mol Med O-GlcNAcylation with ubiquitination stabilizes METTL3 to promoting HMGB1 degradation to inhibit ferroptosis and enhance gemcitabine resistance in pancreatic cancer | ||
Mol Ther Oncolytics ROS/KRAS/AMPK Signaling Contributes to Gemcitabine-Induced Stem-like Cell Properties in Pancreatic Cancer. | ||









