验证数据展示
经过测试的应用
| Positive WB detected in | HepG2 cells, HEK-293 cells, L02 cells, MCF-7 cells, MDA-MB-231 cells, U-937 cells |
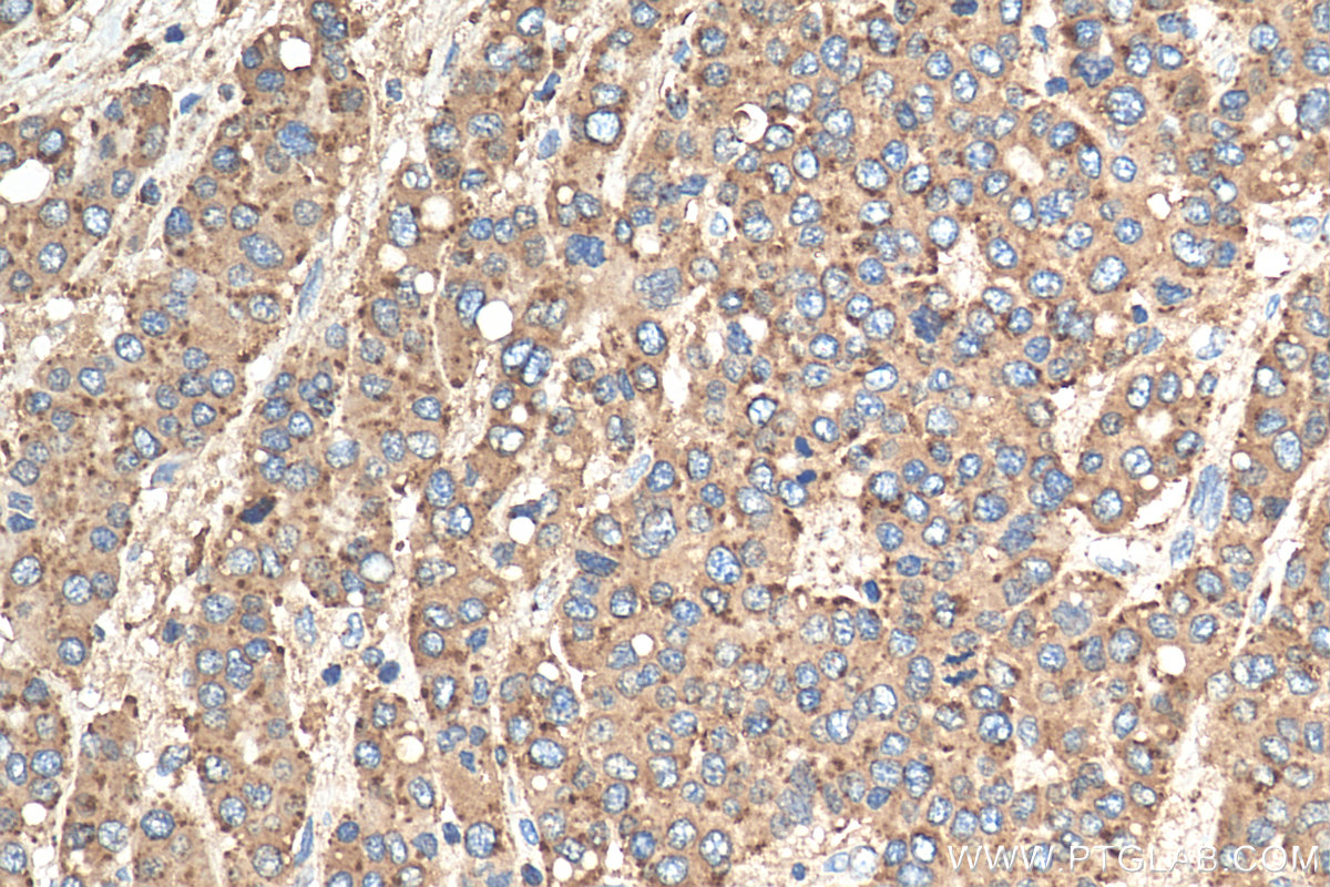
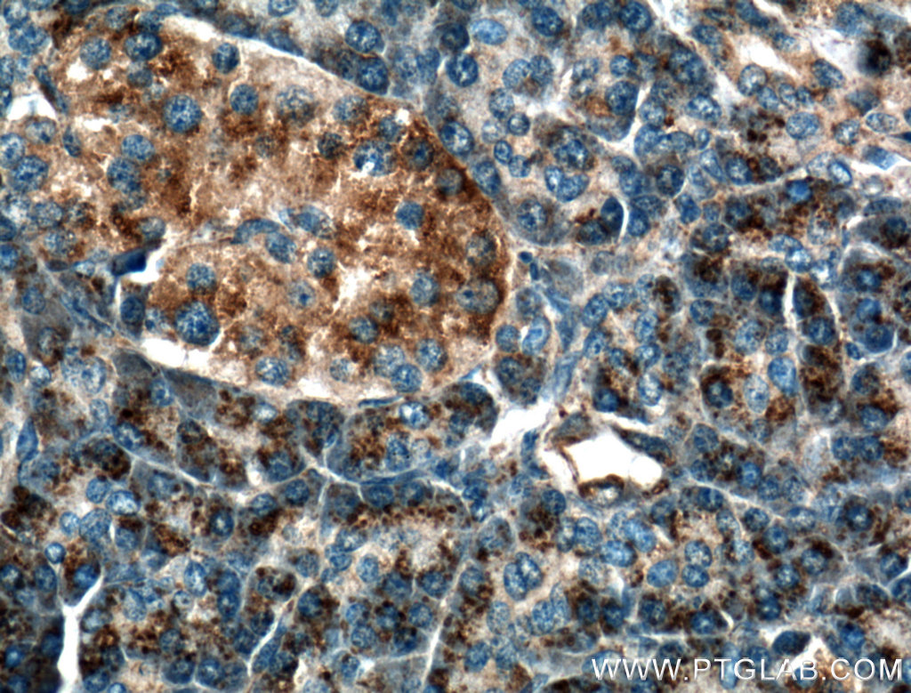
| Positive IHC detected in | human liver cancer tissue, human colon cancer tissue, human gliomas tissue, human pancreas tissue, human placenta tissue Note: suggested antigen retrieval with TE buffer pH 9.0; (*) Alternatively, antigen retrieval may be performed with citrate buffer pH 6.0 |
| Positive IF-P detected in | human ovary tumor tissue |
推荐稀释比
| 应用 | 推荐稀释比 |
|---|---|
| Western Blot (WB) | WB : 1:5000-1:50000 |
| Immunohistochemistry (IHC) | IHC : 1:300-1:1200 |
| Immunofluorescence (IF)-P | IF-P : 1:50-1:500 |
| It is recommended that this reagent should be titrated in each testing system to obtain optimal results. | |
| Sample-dependent, Check data in validation data gallery. | |
产品信息
21997-1-AP targets CD107a / LAMP1 in WB, IHC, IF-P, IP, CoIP, ELISA applications and shows reactivity with human samples.
| 经测试应用 | WB, IHC, IF-P, ELISA Application Description |
| 文献引用应用 | WB, IHC, IP, CoIP |
| 经测试反应性 | human |
| 文献引用反应性 | human, pig, monkey, zebrafish, bovine, turtle |
| 免疫原 |
CatNo: Ag17367 Product name: Recombinant human CD107a protein Source: e coli.-derived, PGEX-4T Tag: GST Domain: 35-377 aa of BC021288 Sequence: NGNGTACIMANFSAAFSVNYDTKSGPKNMTFDLPSDATVVLNRSSCGKENTSDPSLVIAFGRGHTLTLNFTRNATRYSVQLMSFVYNLSDTHLFPNASSKEIKTVESITDIRADIDKKYRCVSGTQVHMNNVTVTLHDATIQAYLSNSSFSRGETRCEQDRPSPTTAPPAPPSPSPSPVPKSPSVDKYNVSGTNGTCLLASMGLQLNLTYERKDNTTVTRLLNINPNKTSASGSCGAHLVTLELHSEGTTVLLFQFGMNASSSRFFLQGIQLNTILPDARDPAFKAANGSLRALQATVGNSYKCNAEEHVRVTKAFSVNIFKVWVQAFKVEGGQFGSVEECLL 种属同源性预测 |
| 宿主/亚型 | Rabbit / IgG |
| 抗体类别 | Polyclonal |
| 产品类型 | Antibody |
| 全称 | lysosomal-associated membrane protein 1 |
| 别名 | CD107a, LAMP1, CD107 antigen-like family member A, CD107a/LAMP1, LAMP 1 |
| 计算分子量 | 45 kDa |
| 观测分子量 | 90-120 kDa |
| GenBank蛋白编号 | BC021288 |
| 基因名称 | LAMP1 |
| Gene ID (NCBI) | 3916 |
| ENSEMBL Gene ID | ENSG00000185896 |
| RRID | AB_2878966 |
| 偶联类型 | Unconjugated |
| 形式 | Liquid |
| 纯化方式 | Antigen affinity purification |
| UNIPROT ID | P11279 |
| 储存缓冲液 | PBS with 0.02% sodium azide and 50% glycerol, pH 7.3. |
| 储存条件 | Store at -20°C. Stable for one year after shipment. Aliquoting is unnecessary for -20oC storage. |
背景介绍
LAMP1 (also known as CD107a) is a 90-120 kDa heavily glycosylated membrane protein enriched in the lysosomal membrane. LAMP1 functions to provide selectins with carbohydrate ligands. This protein has also been shown to be a marker of degranulation on lymphocytes such as CD8+ and NK cells and may also play a role in tumor cell differentiation and metastasis.
实验方案
| Product Specific Protocols | |
|---|---|
| IF protocol for CD107a / LAMP1 antibody 21997-1-AP | Download protocol |
| IHC protocol for CD107a / LAMP1 antibody 21997-1-AP | Download protocol |
| WB protocol for CD107a / LAMP1 antibody 21997-1-AP | Download protocol |
| Standard Protocols | |
|---|---|
| Click here to view our Standard Protocols |
发表文章
| Species | Application | Title |
|---|---|---|
Immunity The Endotoxin Delivery Protein HMGB1 Mediates Caspase-11-Dependent Lethality in Sepsis. | ||
Adv Sci (Weinh) Inhibition of CK2/ING4 Pathway Facilitates Non-Small Cell Lung Cancer Immunotherapy | ||
Adv Sci (Weinh) OTUD5 Protects Dopaminergic Neurons by Promoting the Degradation of α-Synuclein in Parkinson's Disease Model | ||
Arthritis Rheumatol LAMP3 induces lysosome-dependent cell death by impairing autophagic caspase-8 degradation in Sjögren's salivary glands | ||
Mol Ther Polyphyllin D "Punctures" Hypertrophic Lysosomes to Reverse Drug Resistance of Hepatocellular Carcinoma by Targeting Acid Sphingomyelinase | ||
Nat Commun Mismatch repair deficiency predicts response to HER2 blockade in HER2-negative breast cancer. |













