验证数据展示
经过测试的应用
| Positive WB detected in | HepG2 cells, Jurkat cells, NIH/3T3 cells |
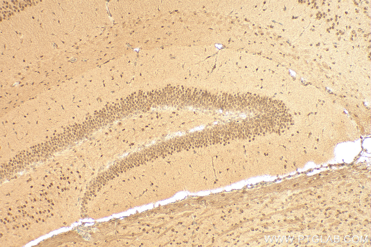
| Positive IHC detected in | mouse brain tissue, rat brain tissue Note: suggested antigen retrieval with TE buffer pH 9.0; (*) Alternatively, antigen retrieval may be performed with citrate buffer pH 6.0 |
推荐稀释比
| 应用 | 推荐稀释比 |
|---|---|
| Western Blot (WB) | WB : 1:1000-1:6000 |
| Immunohistochemistry (IHC) | IHC : 1:50-1:500 |
| It is recommended that this reagent should be titrated in each testing system to obtain optimal results. | |
| Sample-dependent, Check data in validation data gallery. | |
发表文章中的应用
| WB | See 1 publications below |
产品信息
21860-1-AP targets Cyclin T2 in WB, IHC, ELISA applications and shows reactivity with human, mouse, rat samples.
| 经测试应用 | WB, IHC, ELISA Application Description |
| 文献引用应用 | WB |
| 经测试反应性 | human, mouse, rat |
| 文献引用反应性 | human |
| 免疫原 |
CatNo: Ag16514 Product name: Recombinant human CCNT2 protein Source: e coli.-derived, PGEX-4T Tag: GST Domain: 251-610 aa of BC114366 Sequence: LKKIRNWRANQAARKPKVDGQVSETPLLGSSLVQNSILVDSVTGVPTNPSFQKPSTSAFPAPVPLNSGNISVQDSHTSDNLSMLATGMPSTSYGLSSHQEWPQHQDSARTEQLYSQKQETSLSGSQYNINFQQGPSISLHSGLHHRPDKISDHSSVKQEYTHKAGSSKHHGPISTTPGIIPQKMSLDKYREKRKLETLDLDVRDHYIAAQVEQQHKQGQSQAASSSSVTSPIKMKIPIANTEKYMADKKEKSGSLKLRIPIPPTDKSASKEELKMKIKVSSSERHSSSDEGSGKSKHSSPHISRDHKEKHKEHPSSRHHTSSHKHSHSHSGSSSGGSKHSADGIPPTVLRSPVGLSSDGI 种属同源性预测 |
| 宿主/亚型 | Rabbit / IgG |
| 抗体类别 | Polyclonal |
| 产品类型 | Antibody |
| 全称 | cyclin T2 |
| 别名 | CCNT2, Cyclin T, Cyclin-T2, CycT2 |
| 计算分子量 | 730 aa, 81 kDa |
| 观测分子量 | 70 kDa |
| GenBank蛋白编号 | BC114366 |
| 基因名称 | Cyclin T2 |
| Gene ID (NCBI) | 905 |
| RRID | AB_3085675 |
| 偶联类型 | Unconjugated |
| 形式 | Liquid |
| 纯化方式 | Antigen affinity purification |
| UNIPROT ID | O60583 |
| 储存缓冲液 | PBS with 0.02% sodium azide and 50% glycerol, pH 7.3. |
| 储存条件 | Store at -20°C. Stable for one year after shipment. Aliquoting is unnecessary for -20oC storage. |
背景介绍
Cyclin T2 (CCNT2) belongs to the cyclin family. CCNT2 is regulatory subunit of the cyclin-dependent kinase pair (CDK9/cyclin T) complex, also called positive transcription elongation factor B (P-TEFB), which is proposed to facilitate the transition from abortive to production elongation by phosphorylating the CTD (carboxy-terminal domain) of the large subunit of RNA polymerase II (RNAP II) (PMID: 9499409, PMID: 15563843). Cyclin T2 is expressed at a relatively high level in freshly isolated monocytes and its level remains constant when the cells are induced to undergo macrophage differentiation (PMID: 21791050). In contrast, Cyclin T1 is expressed at low levels in monocytes and it is strongly up-regulated by a post-transcriptional mechanism when the cells are induced to differentiate to macrophages.
实验方案
| Product Specific Protocols | |
|---|---|
| IHC protocol for Cyclin T2 antibody 21860-1-AP | Download protocol |
| WB protocol for Cyclin T2 antibody 21860-1-AP | Download protocol |
| Standard Protocols | |
|---|---|
| Click here to view our Standard Protocols |



