验证数据展示
经过测试的应用
| Positive WB detected in | HT-29 cells, NIH/3T3 cells, mouse heart tissue, HeLa cells, Jurkat cells, human lung tissue, MCF-7 cells, HepG2 cells, K-562 cells, human placenta tissue |
| Positive IP detected in | HeLa cells |
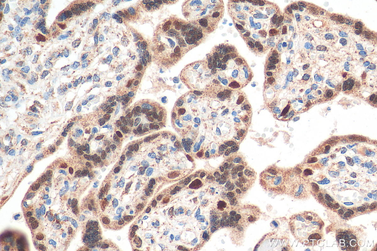
| Positive IHC detected in | mouse testis tissue, human placenta tissue Note: suggested antigen retrieval with TE buffer pH 9.0; (*) Alternatively, antigen retrieval may be performed with citrate buffer pH 6.0 |
| Positive FC (Intra) detected in | HeLa cells, MCF-7 cells |
推荐稀释比
| 应用 | 推荐稀释比 |
|---|---|
| Western Blot (WB) | WB : 1:500-1:2000 |
| Immunoprecipitation (IP) | IP : 0.5-4.0 ug for 1.0-3.0 mg of total protein lysate |
| Immunohistochemistry (IHC) | IHC : 1:400-1:1600 |
| Flow Cytometry (FC) (INTRA) | FC (INTRA) : 0.40 ug per 10^6 cells in a 100 µl suspension |
| It is recommended that this reagent should be titrated in each testing system to obtain optimal results. | |
| Sample-dependent, Check data in validation data gallery. | |
产品信息
11554-1-AP targets Cyclin E1 in WB, IHC, IF, FC (Intra), IP, CoIP, ELISA applications and shows reactivity with human, mouse samples.
| 经测试应用 | WB, IHC, FC (Intra), IP, ELISA Application Description |
| 文献引用应用 | WB, IHC, IF, CoIP |
| 经测试反应性 | human, mouse |
| 文献引用反应性 | human, mouse, rat, pig, zebrafish, artemia sinica |
| 免疫原 |
CatNo: Ag2110 Product name: Recombinant human Cyclin E protein Source: e coli.-derived, PGEX-4T Tag: GST Domain: 111-410 aa of BC035498 Sequence: ANREEVWKIMLNKEKTYLRDQHFLEQHPLLQPKMRAILLDWLMEVCEVYKLHRETFYLAQDFFDRYMATQENVVKTLLQLIGISSLFIAAKLEEIYPPKLHQFAYVTDGACSGDEILTMELMIMKALKWRLSPLTIVSWLNVYMQVAYLNDLHEVLLPQYPQQIFIQIAELLDLCVLDVDCLEFPYGILAASALYHFSSSELMQKVSGYQWCDIENCVKWMVPFAMVIRETGSSKLKHFRGVADEDAHNIQTHRDSLDLLDKARAKKAMLSEQNRASPLPSGLLTPPQSGKKQSSGPEMA 种属同源性预测 |
| 宿主/亚型 | Rabbit / IgG |
| 抗体类别 | Polyclonal |
| 产品类型 | Antibody |
| 全称 | cyclin E1 |
| 别名 | CCNE1, CCNE, Cyclin E, G1/S specific cyclin E1, G1/S-specific cyclin-E1 |
| 计算分子量 | 410 aa, 47 kDa |
| 观测分子量 | 47 kDa |
| GenBank蛋白编号 | BC035498 |
| 基因名称 | Cyclin E1 |
| Gene ID (NCBI) | 898 |
| RRID | AB_2071066 |
| 偶联类型 | Unconjugated |
| 形式 | Liquid |
| 纯化方式 | Antigen affinity purification |
| UNIPROT ID | P24864 |
| 储存缓冲液 | PBS with 0.02% sodium azide and 50% glycerol, pH 7.3. |
| 储存条件 | Store at -20°C. Stable for one year after shipment. Aliquoting is unnecessary for -20oC storage. |
背景介绍
Cyclin E1 (CCNE1) is a member of the highly conserved cyclin family, whose members are characterized by a dramatic periodicity in protein abundance through the cell cycle. CCNE1, an essential cyclin activating Cdk2, regulates the G1-S phase transition of the mammalian cell division cycle. Its timing expression plays a direct role in the initiation of DNA replication , the control of histone biosynthesis, and the centrosome cycle. CCNE1 is associated with disease progression in various malignancies and is associated clinically with poor prognosis. Two bands of Cyclin E1 were expressed in U2OS and MDA-MB-231 cells (PMID:9858585, PMID: 24112607).
实验方案
| Product Specific Protocols | |
|---|---|
| FC protocol for Cyclin E1 antibody 11554-1-AP | Download protocol |
| IHC protocol for Cyclin E1 antibody 11554-1-AP | Download protocol |
| IP protocol for Cyclin E1 antibody 11554-1-AP | Download protocol |
| WB protocol for Cyclin E1 antibody 11554-1-AP | Download protocol |
| Standard Protocols | |
|---|---|
| Click here to view our Standard Protocols |
发表文章
| Species | Application | Title |
|---|---|---|
Mol Cancer LncRNA TROJAN promotes proliferation and resistance to CDK4/6 inhibitor via CDK2 transcriptional activation in ER+ breast cancer. | ||
Adv Sci (Weinh) Identification of PRDX5 as A Target for The Treatment of Castration-Resistant Prostate Cancer | ||
Theranostics Polycomb repressive complex 1 modulates granulosa cell proliferation in early folliculogenesis to support female reproduction | ||
Nat Commun Identification of predictors of drug sensitivity using patient-derived models of esophageal squamous cell carcinoma. | ||
Nat Commun Iron-dependent histone 3 lysine 9 demethylation controls B cell proliferation and humoral immune responses. |

















