验证数据展示
经过测试的应用
| Positive WB detected in | HL-60 cells, K-562 cells, U-937 cells, HeLa cells, NIH/3T3 cells, MCF-7 cells |
| Positive IP detected in | HeLa cells, HL-60 cells |
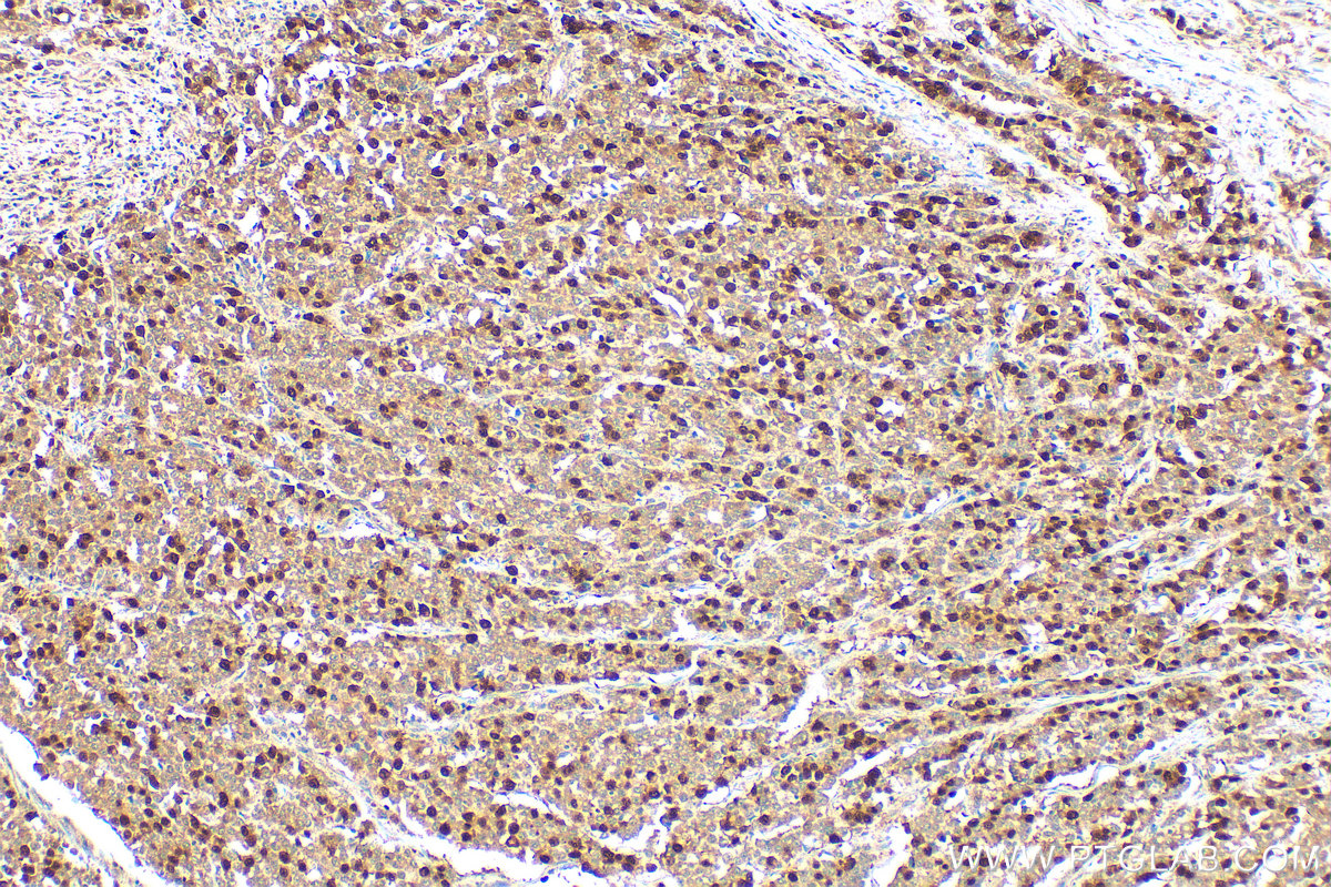
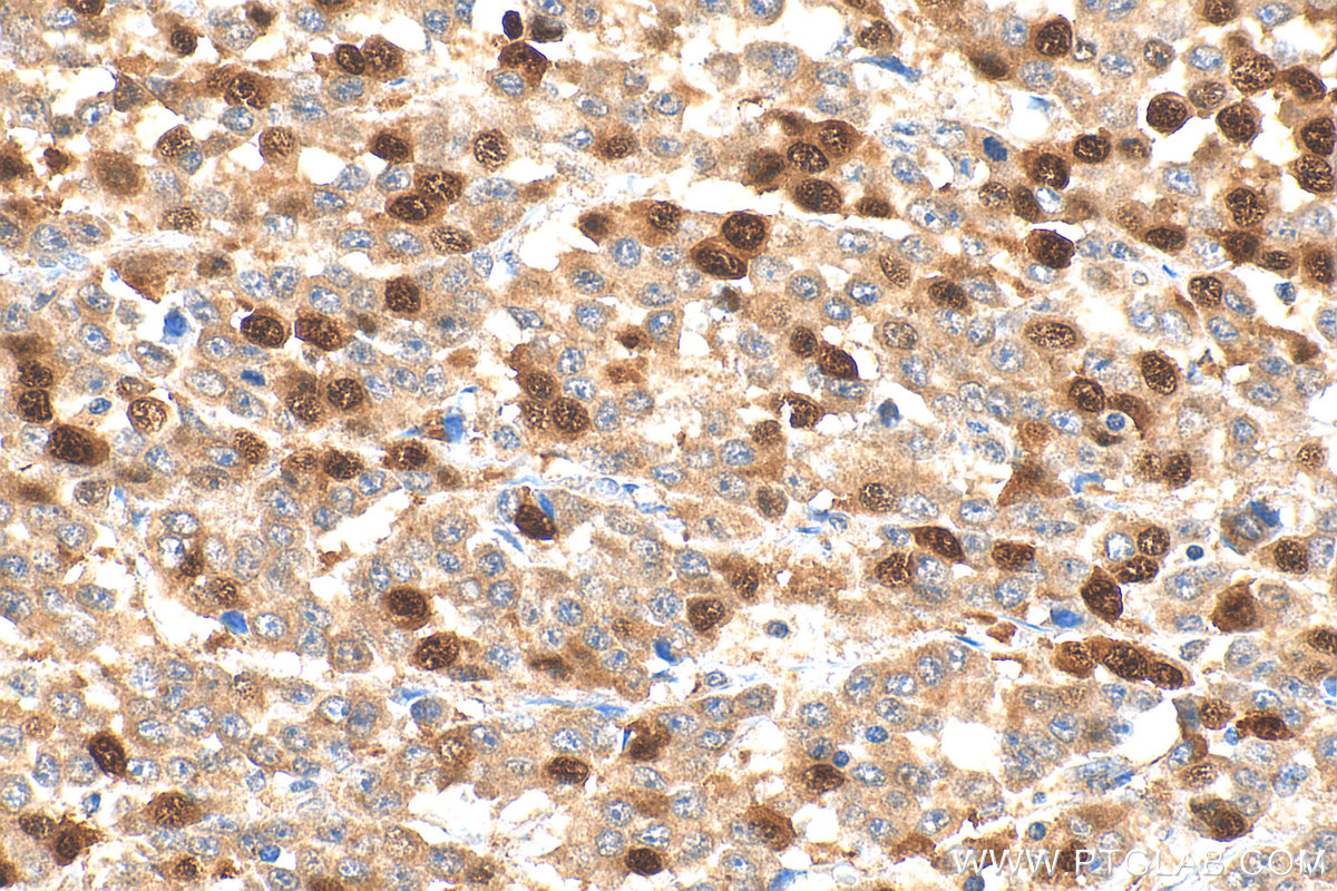
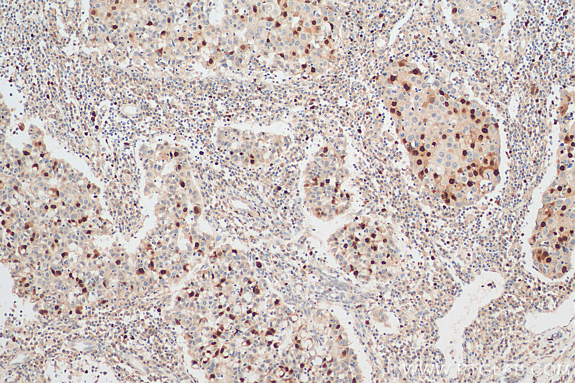
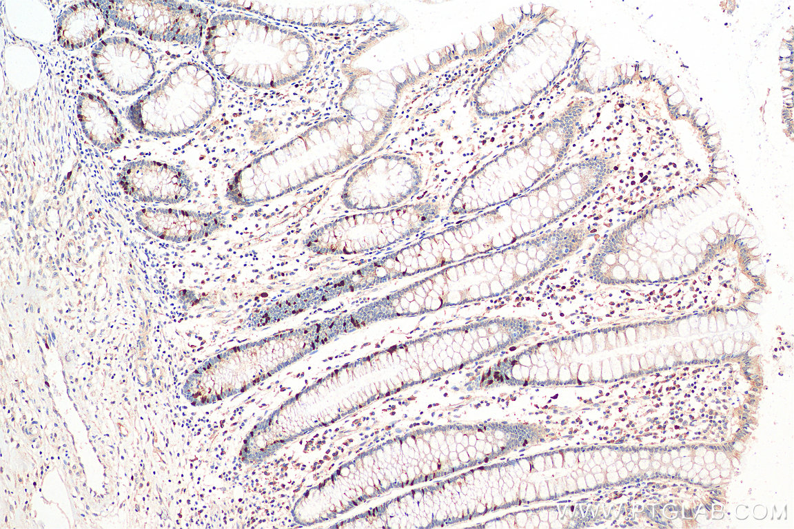
| Positive IHC detected in | human tonsillitis tissue, human breast cancer tissue, human colon cancer tissue Note: suggested antigen retrieval with TE buffer pH 9.0; (*) Alternatively, antigen retrieval may be performed with citrate buffer pH 6.0 |
| Positive IF/ICC detected in | HepG2 cells, MCF-7 cells |
| Positive FC (Intra) detected in | HeLa cells |
推荐稀释比
| 应用 | 推荐稀释比 |
|---|---|
| Western Blot (WB) | WB : 1:5000-1:50000 |
| Immunoprecipitation (IP) | IP : 0.5-4.0 ug for 1.0-3.0 mg of total protein lysate |
| Immunohistochemistry (IHC) | IHC : 1:500-1:2000 |
| Immunofluorescence (IF)/ICC | IF/ICC : 1:200-1:800 |
| Flow Cytometry (FC) (INTRA) | FC (INTRA) : 0.40 ug per 10^6 cells in a 100 µl suspension |
| It is recommended that this reagent should be titrated in each testing system to obtain optimal results. | |
| Sample-dependent, Check data in validation data gallery. | |
发表文章中的应用
| KD/KO | See 4 publications below |
| WB | See 222 publications below |
| CoIP | See 1 publications below |
产品信息
18202-1-AP targets Cyclin A2 in WB, FC (Intra), IP, CoIP, ELISA applications and shows reactivity with human, mouse samples.
| 经测试应用 | WB, FC (Intra), IP, ELISA Application Description |
| 文献引用应用 | WB, CoIP |
| 经测试反应性 | human, mouse |
| 文献引用反应性 | human, mouse, rat, pig, rabbit, monkey |
| 免疫原 |
CatNo: Ag12765 Product name: Recombinant human Cyclin A2 protein Source: e coli.-derived, PGEX-4T Tag: GST Domain: 1-432 aa of BC104783 Sequence: MLGNSAPGPATREAGSALLALQQTALQEDQENINPEKAAPVQQPRTRAALAVLKSGNPRGLAQQQRPKTRRVAPLKDLPVNDEHVTVPPWKANSKQPAFTIHVDEAEKEAQKKPAESQKIEREDALAFNSAISLPGPRKPLVPLDYPMDGSFESPHTMDMSIVLEDEKPVSVNEVPDYHEDIHTYLREMEVKCKPKVGYMKKQPDITNSMRAILVDWLVEVGEEYKLQNETLHLAVNYIDRFLSSMSVLRGKLQLVGTAAMLLASKFEEIYPPEVAEFVYITDDTYTKKQVLRMEHLVLKVLTFDLAAPTVNQFLTQYFLHQQPANCKVESLAMFLGELSLIDADPYLKYLPSVIAGAAFHLALYTVTGQSWPESLIRKTGYTLESLKPCLMDLHQTYLKAPQHAQQSIREKYKNSKYHGVSLLNPPETLNL 种属同源性预测 |
| 宿主/亚型 | Rabbit / IgG |
| 抗体类别 | Polyclonal |
| 产品类型 | Antibody |
| 全称 | cyclin A2 |
| 别名 | CCNA2, CCN1, CCNA, Cyclin A, Cyclin-A |
| 计算分子量 | 432 aa, 49 kDa |
| 观测分子量 | 48-52 kDa |
| GenBank蛋白编号 | BC104783 |
| 基因名称 | Cyclin A2 |
| Gene ID (NCBI) | 890 |
| RRID | AB_10597084 |
| 偶联类型 | Unconjugated |
| 形式 | Liquid |
| 纯化方式 | Antigen affinity purification |
| UNIPROT ID | P20248 |
| 储存缓冲液 | PBS with 0.02% sodium azide and 50% glycerol, pH 7.3. |
| 储存条件 | Store at -20°C. Stable for one year after shipment. Aliquoting is unnecessary for -20oC storage. |
背景介绍
Cyclin A2 belongs to the highly conserved cyclin family, whose members are characterized by a dramatic periodicity in protein abundance through the cell cycle. Cyclins function as regulators of CDK kinases. Different cyclins exhibit distinct expression and degradation patterns which contribute to the temporal coordination of each mitotic event. In contrast to cyclin A1, which is present only in germ cells, this cyclin is expressed in all tissues tested. Cyclin A2 binds and activates CDC2 or CDK2 kinases, and thus promotes both cell cycle G1/S and G2/M transitions. Cyclin A2 could be phosphorylated during the G2/M.
实验方案
| Product Specific Protocols | |
|---|---|
| IF protocol for Cyclin A2 antibody 18202-1-AP | Download protocol |
| IHC protocol for Cyclin A2 antibody 18202-1-AP | Download protocol |
| IP protocol for Cyclin A2 antibody 18202-1-AP | Download protocol |
| WB protocol for Cyclin A2 antibody 18202-1-AP | Download protocol |
| Standard Protocols | |
|---|---|
| Click here to view our Standard Protocols |
发表文章
| Species | Application | Title |
|---|---|---|
Nat Metab LIFR regulates cholesterol-driven bidirectional hepatocyte-neutrophil cross-talk to promote liver regeneration | ||
Mol Cell A di-acetyl-decorated chromatin signature couples liquid condensation to suppress DNA end synapsis | ||
Mol Cancer CircEZH2/miR-133b/IGF2BP2 aggravates colorectal cancer progression via enhancing the stability of m6A-modified CREB1 mRNA. | ||
Acta Pharm Sin B The substitution of SERCA2 redox cysteine 674 promotes pulmonary vascular remodeling by activating IRE1α/XBP1s pathway. | ||
Sci Adv The p23 co-chaperone is a succinate-activated COX-2 transcription factor in lung adenocarcinoma tumorigenesis |



















