验证数据展示
经过测试的应用
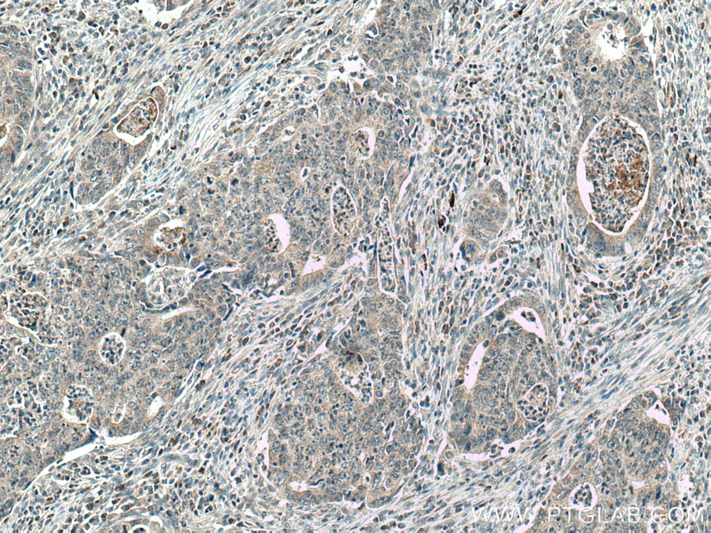
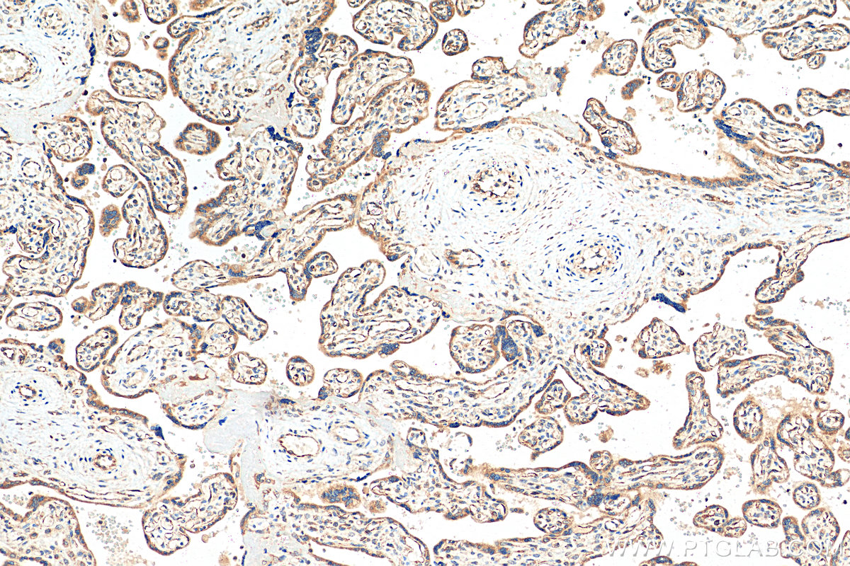
| Positive IHC detected in | human colon tissue, human placenta tissue, human colon cancer tissue Note: suggested antigen retrieval with TE buffer pH 9.0; (*) Alternatively, antigen retrieval may be performed with citrate buffer pH 6.0 |
推荐稀释比
| 应用 | 推荐稀释比 |
|---|---|
| Immunohistochemistry (IHC) | IHC : 1:50-1:500 |
| It is recommended that this reagent should be titrated in each testing system to obtain optimal results. | |
| Sample-dependent, Check data in validation data gallery. | |
发表文章中的应用
| KD/KO | See 1 publications below |
| WB | See 1 publications below |
| IHC | See 2 publications below |
产品信息
22342-1-AP targets CCL17/TARC in WB, IHC, ELISA applications and shows reactivity with human samples.
| 经测试应用 | IHC, ELISA Application Description |
| 文献引用应用 | WB, IHC |
| 经测试反应性 | human |
| 文献引用反应性 | human, mouse |
| 免疫原 |
CatNo: Ag17832 Product name: Recombinant human CCL17 protein Source: e coli.-derived, PGEX-4T Tag: GST Domain: 23-94 aa of BC112066 Sequence: AARGTNVGRECCLEYFKGAIPLRKLKTWYQTSEDCSRDAIVFVTVQGRAICSDPNNKRVKNAVKYLQSLERS 种属同源性预测 |
| 宿主/亚型 | Rabbit / IgG |
| 抗体类别 | Polyclonal |
| 产品类型 | Antibody |
| 全称 | chemokine (C-C motif) ligand 17 |
| 别名 | CCL17, TARC, CCL-17, CCL 17, C-C motif chemokine 17 |
| 计算分子量 | 94 aa, 11 kDa |
| GenBank蛋白编号 | BC112066 |
| 基因名称 | CCL17 |
| Gene ID (NCBI) | 6361 |
| RRID | AB_2879081 |
| 偶联类型 | Unconjugated |
| 形式 | Liquid |
| 纯化方式 | Antigen affinity purification |
| UNIPROT ID | Q92583 |
| 储存缓冲液 | PBS with 0.02% sodium azide and 50% glycerol, pH 7.3. |
| 储存条件 | Store at -20°C. Stable for one year after shipment. Aliquoting is unnecessary for -20oC storage. |
背景介绍
CCL17, also named as TARC, is a member of the CC chemokine family, and is highly expressed by thymus and other cells, including keratinocytes, endothelial cells, dendritic cells, bronchial epithelial cells and fibroblasts. CCL17 plays important roles in T cell development in thymus as well as in trafficking and activation of mature T cells. CCL17 induced chemotaxis and Ca2+ influx in the cells stably expressing CCR4, thereby demonstrating the ligand-receptor relationship between CCL17 and CCR4.
实验方案
| Product Specific Protocols | |
|---|---|
| IHC protocol for CCL17/TARC antibody 22342-1-AP | Download protocol |
| Standard Protocols | |
|---|---|
| Click here to view our Standard Protocols |
发表文章
| Species | Application | Title |
|---|---|---|
Br J Haematol Expression of multiple cytokines and chemokine receptor 4 in angioimmunoblastic T-cell lymphoma with abundant plasma cell infiltration involving the skin. | ||
Hemasphere NOTCH1 fusions in pediatric T-cell lymphoblastic lymphoma: A high-risk subgroup with CCL17 (TARC) levels as diagnostic biomarker | ||
Cell Biol Toxicol SENP3 mediated DeSUMOylation of macrophage derived CCL17 accelerates atherosclerosis via regulation of Treg.
|





