验证数据展示
产品信息
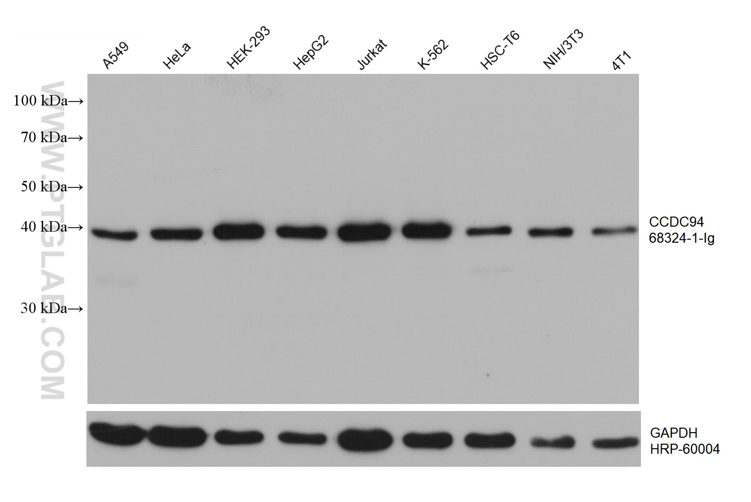
68324-1-PBS targets CCDC94 in WB, IF/ICC, Indirect ELISA applications and shows reactivity with human, mouse, rat samples.
| 经测试应用 | WB, IF/ICC, Indirect ELISA Application Description |
| 经测试反应性 | human, mouse, rat |
| 免疫原 |
CatNo: Ag13772 Product name: Recombinant human CCDC94 protein Source: e coli.-derived, PET28a Tag: 6*His Domain: 1-323 aa of BC000561 Sequence: MSERKVLNKYYPPDFDPSKIPKLKLPKDRQYVVRLMAPFNMRCKTCGEYIYKGKKFNARKETVQNEVYLGLPIFRFYIKCTRCLAEITFKTDPENTDYTMEHGATRNFQAEKLLEEEEKRVQKEREDEELNNPMKVLENRTKDSKLEMEVLENLQELKDLNQRQAHVDFEAMLRQHRLSEEERRRQQQEEDEQETAALLEEARKRRLLEDSDSEDEAAPSPLQPALRPNPTAILDEAPKPKRKVEVWEQSVGSLGSRPPLSRLVVVKKAKADPDCSNGQPQAAPTPGAPQNRKEANPTPLTPGASSLSQLGAYLDSDDSNGSN 种属同源性预测 |
| 宿主/亚型 | Mouse / IgG2a |
| 抗体类别 | Monoclonal |
| 产品类型 | Antibody |
| 全称 | coiled-coil domain containing 94 |
| 别名 | YJU2, Coiled-coil domain-containing protein 94, 1D1G9 |
| 计算分子量 | 323 aa, 37 kDa |
| 观测分子量 | 40 kDa |
| GenBank蛋白编号 | BC000561 |
| 基因名称 | CCDC94 |
| Gene ID (NCBI) | 55702 |
| 偶联类型 | Unconjugated |
| 形式 | Liquid |
| 纯化方式 | Protein A purification |
| UNIPROT ID | Q9BW85 |
| 储存缓冲液 | PBS only, pH 7.3. |
| 储存条件 | Store at -80°C. The product is shipped with ice packs. Upon receipt, store it immediately at -80°C |
背景介绍
CCDC94, also known as YJU2, is a splicing factor, predicted to be involved in RNA splicing and negative regulation of DNA damage response, signal transduction by p53 class mediator. Part of U2-type catalytic step 1 spliceosome. And that it is required for pre-mRNA splicing both in vivo and in vitro. Yju2 acts in concert with an unidentified heat-resistant factor(s) in an ATP-independent manner to promote the first catalytic reaction of pre-mRNA splicing after Prp2-mediated structural rearrangement of the spliceosome. (PMID: 17515604)


