验证数据展示
经过测试的应用
| Positive WB detected in | MCF-7 cells |
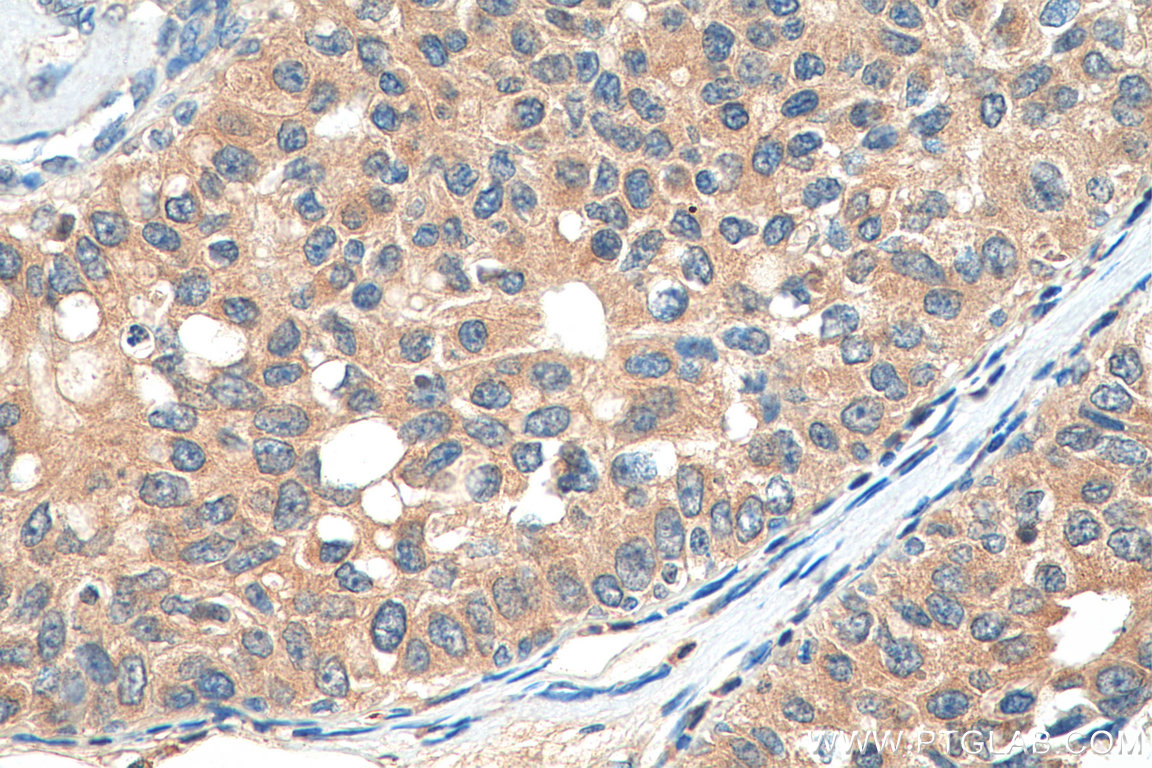
| Positive IHC detected in | human breast cancer tissue Note: suggested antigen retrieval with TE buffer pH 9.0; (*) Alternatively, antigen retrieval may be performed with citrate buffer pH 6.0 |
推荐稀释比
| 应用 | 推荐稀释比 |
|---|---|
| Western Blot (WB) | WB : 1:500-1:2000 |
| Immunohistochemistry (IHC) | IHC : 1:50-1:500 |
| It is recommended that this reagent should be titrated in each testing system to obtain optimal results. | |
| Sample-dependent, Check data in validation data gallery. | |
产品信息
22770-1-AP targets CCDC64B in WB, IHC, ELISA applications and shows reactivity with human samples.
| 经测试应用 | WB, IHC, ELISA Application Description |
| 经测试反应性 | human |
| 免疫原 |
CatNo: Ag18720 Product name: Recombinant human CCDC64B protein Source: e coli.-derived, PGEX-4T Tag: GST Domain: 209-508 aa of BC128602 Sequence: LQSRRQDLEAQIRGLREEVEKGEGRLQTTHEELLLLRRERREHSLELERARSEAGEALSALRRLRRRVSELEEESRLQDADVSAASLQSELAHSLDDGDQGQGADAPGDTPTTRSPKTRKASSPQPSPPEEILEPPKKRTSLSPAEILEEKEVEVAKLQDEISLQQAELQSLREELQRQKELRAQEDPGEALHSALSDRDEAVNKALELSLQLNRVSLERDSLSRELLRAIRQKVALTQELEAWQDDMQVVIGQQLRSQRQKELSASASSSTPRRAAPRFSLRLGPGPAGGFLSNLFRRT 种属同源性预测 |
| 宿主/亚型 | Rabbit / IgG |
| 抗体类别 | Polyclonal |
| 产品类型 | Antibody |
| 全称 | coiled-coil domain containing 64B |
| 别名 | Bicaudal D related protein 2, BICD related protein 2, BICDR 2, BICDR2, CCDC64B |
| 计算分子量 | 508 aa, 57 kDa |
| 观测分子量 | 57 kDa |
| GenBank蛋白编号 | BC128602 |
| 基因名称 | CCDC64B |
| Gene ID (NCBI) | 146439 |
| RRID | AB_2918078 |
| 偶联类型 | Unconjugated |
| 形式 | Liquid |
| 纯化方式 | Antigen affinity purification |
| UNIPROT ID | A1A5D9 |
| 储存缓冲液 | PBS with 0.02% sodium azide and 50% glycerol, pH 7.3. |
| 储存条件 | Store at -20°C. Stable for one year after shipment. Aliquoting is unnecessary for -20oC storage. |
背景介绍
CCDC64B, also named as BICDL2 and BICDR2, belongs to BICD family. It was officially named by Schlager et al (2010) in a sequence homology search for new mammalian BICD-like proteins. At present, there is still little study on this protein, which may involve the vesicle transport along microtubule, and Golgi to secretory granule transport. BICDR2 has 2 isoforms with the molecular mass of 57 and 34 kDa (PMID:20360680, 20485297).
实验方案
| Product Specific Protocols | |
|---|---|
| IHC protocol for CCDC64B antibody 22770-1-AP | Download protocol |
| WB protocol for CCDC64B antibody 22770-1-AP | Download protocol |
| Standard Protocols | |
|---|---|
| Click here to view our Standard Protocols |


