验证数据展示
经过测试的应用
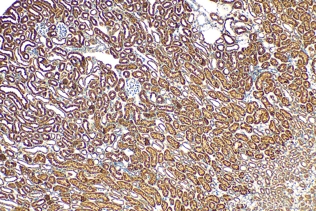
| Positive IHC detected in | human colon cancer tissue, human liver cancer tissue, mouse kidney tissue Note: suggested antigen retrieval with TE buffer pH 9.0; (*) Alternatively, antigen retrieval may be performed with citrate buffer pH 6.0 |
| Positive IF-P detected in | mouse kidney tissue, rat colon tissue |
| Positive IF/ICC detected in | A431 cells, U2OS cells |
推荐稀释比
| 应用 | 推荐稀释比 |
|---|---|
| Immunohistochemistry (IHC) | IHC : 1:50-1:500 |
| Immunofluorescence (IF)-P | IF-P : 1:200-1:800 |
| Immunofluorescence (IF)/ICC | IF/ICC : 1:200-1:800 |
| It is recommended that this reagent should be titrated in each testing system to obtain optimal results. | |
| Sample-dependent, Check data in validation data gallery. | |
发表文章中的应用
| IHC | See 1 publications below |
产品信息
20427-1-AP targets CCDC56/COA3 in IHC, IF/ICC, IF-P, ELISA applications and shows reactivity with human, mouse, rat samples.
| 经测试应用 | IHC, IF/ICC, IF-P, ELISA Application Description |
| 文献引用应用 | IHC |
| 经测试反应性 | human, mouse, rat |
| 文献引用反应性 | human |
| 免疫原 |
CatNo: Ag14260 Product name: Recombinant human CCDC56 protein Source: e coli.-derived, PGEX-4T Tag: GST Domain: 1-106 aa of BC002698 Sequence: MASSGAGDPLDSKRGEAPFAQRIDPTREKLTPEQLHSMRQAELAQWQKVLPRRRTRNIVTGLGIGALVLAIYGYTFYSISQERFLDELEDEAKAARARALARASGS 种属同源性预测 |
| 宿主/亚型 | Rabbit / IgG |
| 抗体类别 | Polyclonal |
| 产品类型 | Antibody |
| 全称 | coiled-coil domain containing 56 |
| 别名 | CCDC56, COA3, Coiled-coil domain-containing protein 56, Cytochrome c oxidase assembly factor 3 homolog, mitochondrial, HSPC009 |
| 计算分子量 | 106 aa, 12 kDa |
| 观测分子量 | 12 kDa |
| GenBank蛋白编号 | BC002698 |
| 基因名称 | CCDC56 |
| Gene ID (NCBI) | 28958 |
| RRID | AB_10695182 |
| 偶联类型 | Unconjugated |
| 形式 | Liquid |
| 纯化方式 | Antigen affinity purification |
| UNIPROT ID | Q9Y2R0 |
| 储存缓冲液 | PBS with 0.02% sodium azide and 50% glycerol, pH 7.3. |
| 储存条件 | Store at -20°C. Stable for one year after shipment. Aliquoting is unnecessary for -20oC storage. |
背景介绍
Human COX assembly factor 3 (COA3), also known as CCDC56 (coiled-coil domain-containing protein 56), is a mitochondrial transmembrane protein responsible for cytochrome c oxidase (COX) protein complex assembly. CCDC56/COA3 is located on chromosome 17 (17q.21.31) and encodes an 11.7-kDa protein with predicted transmembrane and coiled-coil domains (PMID: 22610097, 27013658). CCDC56/COA3 is overexpressed at both mRNA and protein levels in human NSCLC cells, mainly as a result of decreased miR-338-3p level (PMID: 36119836).
实验方案
| Product Specific Protocols | |
|---|---|
| IF protocol for CCDC56/COA3 antibody 20427-1-AP | Download protocol |
| IHC protocol for CCDC56/COA3 antibody 20427-1-AP | Download protocol |
| Standard Protocols | |
|---|---|
| Click here to view our Standard Protocols |









