验证数据展示
经过测试的应用
| Positive WB detected in | A431 cells, Daudi cells, HL-60 cells, HeLa cells |
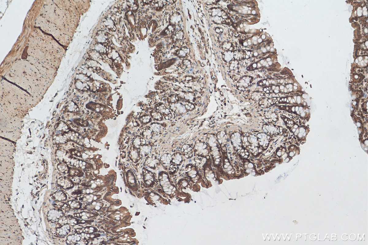
| Positive IHC detected in | rat colon tissue Note: suggested antigen retrieval with TE buffer pH 9.0; (*) Alternatively, antigen retrieval may be performed with citrate buffer pH 6.0 |
| Positive IF/ICC detected in | U2OS cells |
推荐稀释比
| 应用 | 推荐稀释比 |
|---|---|
| Western Blot (WB) | WB : 1:1000-1:8000 |
| Immunohistochemistry (IHC) | IHC : 1:50-1:500 |
| Immunofluorescence (IF)/ICC | IF/ICC : 1:50-1:500 |
| It is recommended that this reagent should be titrated in each testing system to obtain optimal results. | |
| Sample-dependent, Check data in validation data gallery. | |
产品信息
30024-1-AP targets CCDC18 in WB, IHC, IF/ICC, ELISA applications and shows reactivity with Human, rat samples.
| 经测试应用 | WB, IHC, IF/ICC, ELISA Application Description |
| 经测试反应性 | Human, rat |
| 免疫原 |
CatNo: Ag32681 Product name: Recombinant human CCDC18 protein Source: e coli.-derived, PET28a Tag: 6*His Domain: 119-468 aa of BC156745 Sequence: MESSSSDYYNKDNEEESLLANVASLRHELKITEWSLQSLGEELSSVSPSENSDYAPNPSRSEKLILDVQPSHPGLLNYSPYENVCKISGSSTDFQKKPRDKMFSSSAPVDQEIKSLREKLNKLRQQNACLVTQNHSLMTKFESIHFELTQSRAKVSMLESAQQQAASVPILEEQIINLEAEVSAQDKVLREAENKLEQSQKMVIEKEQSLQESKEECIKLKVDLLEQTKQGKRAERQRNEALYNAEELSKAFQQYKKKVAEKLEKVQAEEEILERNLTNCEKENKRLQERCGLYKSELEILKEKLRQLKEENNNGKEKLRIMAVKNSEVMAQLTESRQSILKLESELENK 种属同源性预测 |
| 宿主/亚型 | Rabbit / IgG |
| 抗体类别 | Polyclonal |
| 产品类型 | Antibody |
| 全称 | coiled-coil domain containing 18 |
| 别名 | CCDC18, dJ717I23.1, NY SAR 41, RP4 717I23.1, Sarcoma antigen NY SAR 24 |
| 观测分子量 | 151 kDa |
| GenBank蛋白编号 | BC156745 |
| 基因名称 | CCDC18 |
| Gene ID (NCBI) | 343099 |
| RRID | AB_2935502 |
| 偶联类型 | Unconjugated |
| 形式 | Liquid |
| 纯化方式 | Antigen affinity purification |
| UNIPROT ID | Q5T9S5 |
| 储存缓冲液 | PBS with 0.02% sodium azide and 50% glycerol, pH 7.3. |
| 储存条件 | Store at -20°C. Stable for one year after shipment. Aliquoting is unnecessary for -20oC storage. |
背景介绍
CCDC18 (Coiled-coil domain-containing protein 18) is a Protein that in humans is encoded by the CCDC18 gene. CCDC18 has 2 isoforms with the MW of 168 kDa and 151 kDa.
实验方案
| Product Specific Protocols | |
|---|---|
| IF protocol for CCDC18 antibody 30024-1-AP | Download protocol |
| IHC protocol for CCDC18 antibody 30024-1-AP | Download protocol |
| WB protocol for CCDC18 antibody 30024-1-AP | Download protocol |
| Standard Protocols | |
|---|---|
| Click here to view our Standard Protocols |



