验证数据展示
经过测试的应用
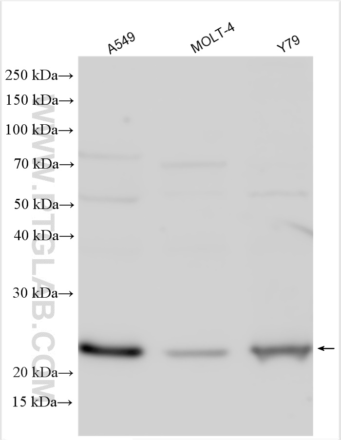
| Positive WB detected in | A549 cells, mouse brain tissue, MOLT-4 cells, Y79 cells |
| Positive IHC detected in | human ovary cancer tissue Note: suggested antigen retrieval with TE buffer pH 9.0; (*) Alternatively, antigen retrieval may be performed with citrate buffer pH 6.0 |
推荐稀释比
| 应用 | 推荐稀释比 |
|---|---|
| Western Blot (WB) | WB : 1:1000-1:8000 |
| Immunohistochemistry (IHC) | IHC : 1:200-1:800 |
| It is recommended that this reagent should be titrated in each testing system to obtain optimal results. | |
| Sample-dependent, Check data in validation data gallery. | |
发表文章中的应用
| WB | See 1 publications below |
产品信息
20636-1-AP targets CCDC115 in WB, IHC, ELISA applications and shows reactivity with human, mouse, rat samples.
| 经测试应用 | WB, IHC, ELISA Application Description |
| 文献引用应用 | WB |
| 经测试反应性 | human, mouse, rat |
| 文献引用反应性 | human |
| 免疫原 |
CatNo: Ag14677 Product name: Recombinant human CCDC115 protein Source: e coli.-derived, PGEX-4T Tag: GST Domain: 1-180 aa of BC006429 Sequence: MAALDLRAELDSLVLQLLGDLEELEGKRTVLNARVEEGWLSLAKARYAMGAKSVGPLQYASHMEPQVCLHASEAQEGLQKFKVVRAGVHAPEEVGPREAGLRRRKGPTKTPEPESSEAPQDPLNWFGILVPHSLRQAQASFRDGLQLAADIASLQNRIDWGRSQLRGLQEKLKQLEPGAA 种属同源性预测 |
| 宿主/亚型 | Rabbit / IgG |
| 抗体类别 | Polyclonal |
| 产品类型 | Antibody |
| 全称 | coiled-coil domain containing 115 |
| 别名 | Coiled-coil domain-containing protein 115, ccp1 |
| 计算分子量 | 180 aa, 20 kDa |
| 观测分子量 | 22-25 kDa |
| GenBank蛋白编号 | BC006429 |
| 基因名称 | CCDC115 |
| Gene ID (NCBI) | 84317 |
| RRID | AB_10733755 |
| 偶联类型 | Unconjugated |
| 形式 | Liquid |
| 纯化方式 | Antigen affinity purification |
| UNIPROT ID | Q96NT0 |
| 储存缓冲液 | PBS with 0.02% sodium azide and 50% glycerol, pH 7.3. |
| 储存条件 | Store at -20°C. Stable for one year after shipment. Aliquoting is unnecessary for -20oC storage. |
实验方案
| Product Specific Protocols | |
|---|---|
| IHC protocol for CCDC115 antibody 20636-1-AP | Download protocol |
| WB protocol for CCDC115 antibody 20636-1-AP | Download protocol |
| Standard Protocols | |
|---|---|
| Click here to view our Standard Protocols |




