验证数据展示
经过测试的应用
| Positive WB detected in | HeLa cells, pig brain tissue, HEK-293 cells, MCF-7 cells, Jurkat cells |
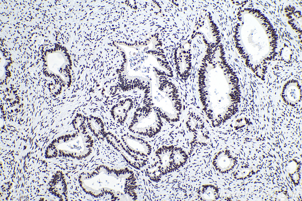
| Positive IHC detected in | human cervical cancer tissue, human colon tissue, human lung cancer tissue, human colon cancer tissue Note: suggested antigen retrieval with TE buffer pH 9.0; (*) Alternatively, antigen retrieval may be performed with citrate buffer pH 6.0 |
| Positive IF/ICC detected in | HeLa cells |
| Positive FC (Intra) detected in | U2OS cells |
推荐稀释比
| 应用 | 推荐稀释比 |
|---|---|
| Western Blot (WB) | WB : 1:2000-1:16000 |
| Immunohistochemistry (IHC) | IHC : 1:250-1:1000 |
| Immunofluorescence (IF)/ICC | IF/ICC : 1:400-1:1600 |
| Flow Cytometry (FC) (INTRA) | FC (INTRA) : 0.20 ug per 10^6 cells in a 100 µl suspension |
| It is recommended that this reagent should be titrated in each testing system to obtain optimal results. | |
| Sample-dependent, Check data in validation data gallery. | |
产品信息
66497-1-Ig targets CCAR2 in WB, IHC, IF/ICC, FC (Intra), ELISA applications and shows reactivity with human, pig samples.
| 经测试应用 | WB, IHC, IF/ICC, FC (Intra), ELISA Application Description |
| 经测试反应性 | human, pig |
| 免疫原 |
CatNo: Ag18374 Product name: Recombinant human DBC1 protein Source: e coli.-derived, PGEX-4T Tag: GST Domain: 571-923 aa of BC018269 Sequence: EPEKEEAAKEEATKEEEAIKEEVVKEPKDEAQNEGPATESEAPLKEDGLLPKPLSSGGEEEEKPRGEASEDLCEMALDPELLLLRDDGEEEFAGAKLEDSEVRSVASNQSEMEFSSLQDMPKELDPSAVLPLDCLLAFVFFDANWCGYLHRRDLERILLTLGIRLSAEQAKQLVSRVVTQNICQYRSLQYSRQEGLDGGLPEEVLFGNLDLLPPPGKSTKPGAAPTEHKALVSHNGSLINVGSLLQRAEQQDSGRLYLENKIHTLELKLEESHNRFSATEVTNKTLAAEMQELRVRLAEAEETARTAERQKSQLQRLLQELRRRLTPLQLEIQRVVEKADSWVEKEEPAPSN 种属同源性预测 |
| 宿主/亚型 | Mouse / IgG2a |
| 抗体类别 | Monoclonal |
| 产品类型 | Antibody |
| 全称 | KIAA1967 |
| 别名 | cell cycle and apoptosis regulator 2, DBC1, DBC-1, KIAA1967, DBC.1 |
| 计算分子量 | 923 aa, 103 kDa |
| 观测分子量 | 130 kDa |
| GenBank蛋白编号 | BC018269 |
| 基因名称 | CCAR2 |
| Gene ID (NCBI) | 57805 |
| RRID | AB_2881861 |
| 偶联类型 | Unconjugated |
| 形式 | Liquid |
| 纯化方式 | Protein A purification |
| UNIPROT ID | Q8N163 |
| 储存缓冲液 | PBS with 0.02% sodium azide and 50% glycerol, pH 7.3. |
| 储存条件 | Store at -20°C. Stable for one year after shipment. Aliquoting is unnecessary for -20oC storage. |
背景介绍
Cell cycle and apoptosis regulator protein 2 (CCAR2), previously known as DBC1/KIAA1967, regulates diverse cellular functions including transcription, mRNA splicing, metabolism, and circadian cycle. CCAR2 is a critical regulator of cell death or survival following cellular stresses. CCAR2 is a widely expressed protein involved in the regulation of a variety of transcriptional complexes. High expression of CCAR2 correlates with poor outcomes in many human tumor types such as squamous cell carcinoma (SCC).
实验方案
| Product Specific Protocols | |
|---|---|
| FC protocol for CCAR2 antibody 66497-1-Ig | Download protocol |
| IF protocol for CCAR2 antibody 66497-1-Ig | Download protocol |
| IHC protocol for CCAR2 antibody 66497-1-Ig | Download protocol |
| WB protocol for CCAR2 antibody 66497-1-Ig | Download protocol |
| Standard Protocols | |
|---|---|
| Click here to view our Standard Protocols |















