验证数据展示
经过测试的应用
| Positive WB detected in | A549 cells, HEK-293 cells, HeLa cells, HepG2 cells, Jurkat cells |
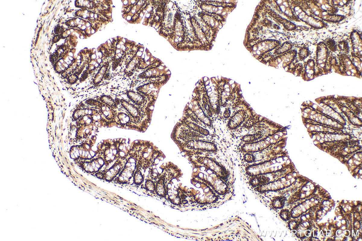
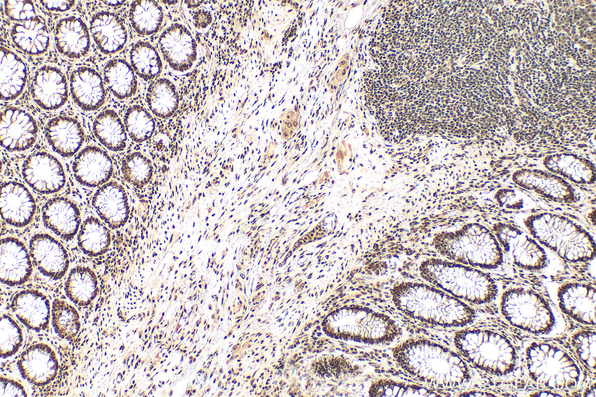
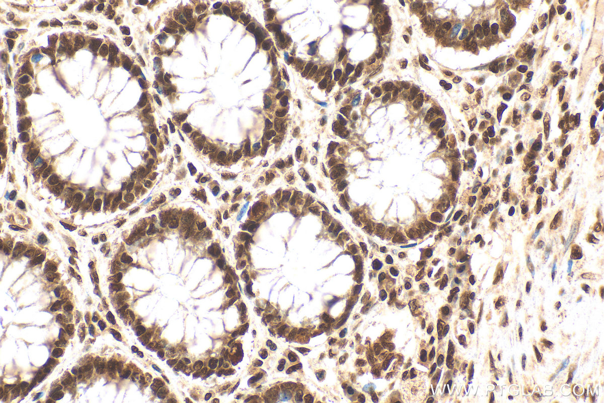
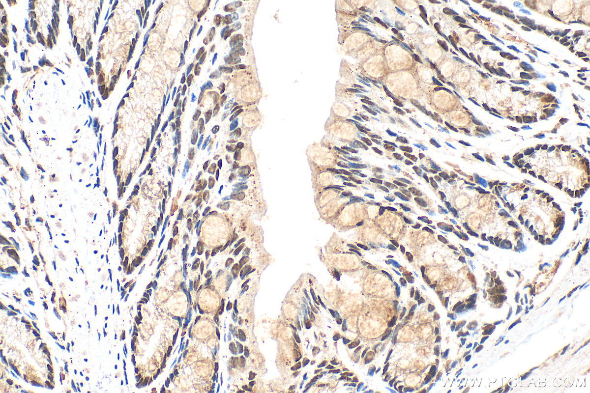
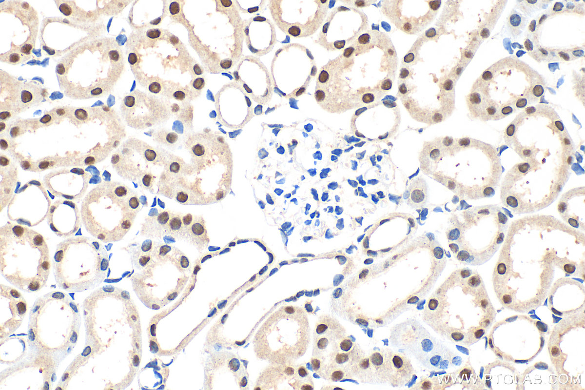
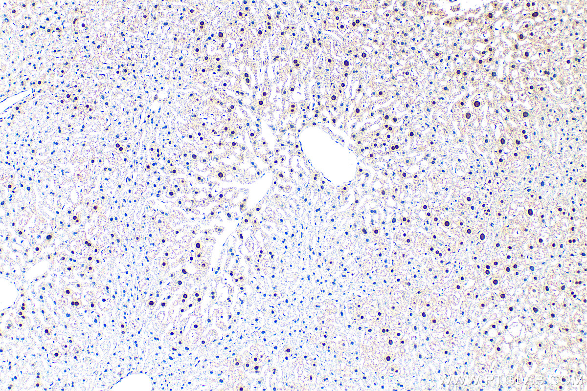
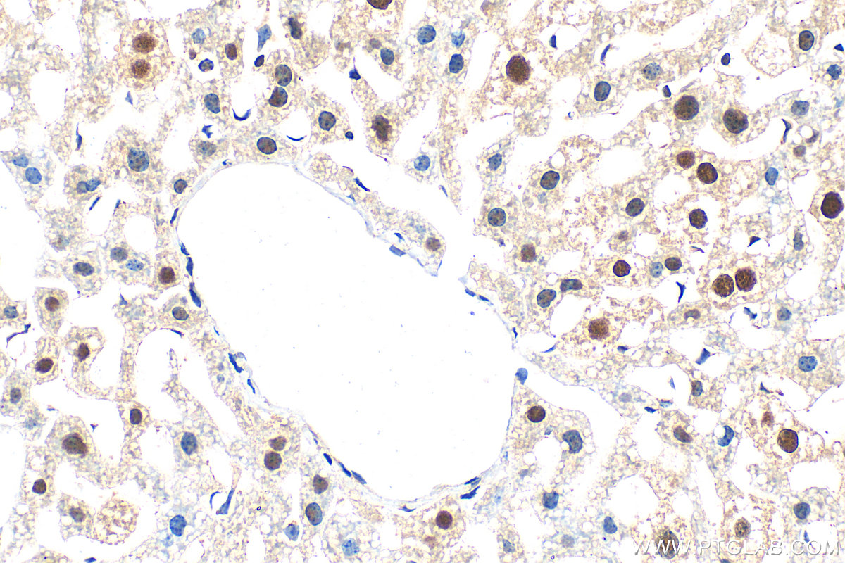
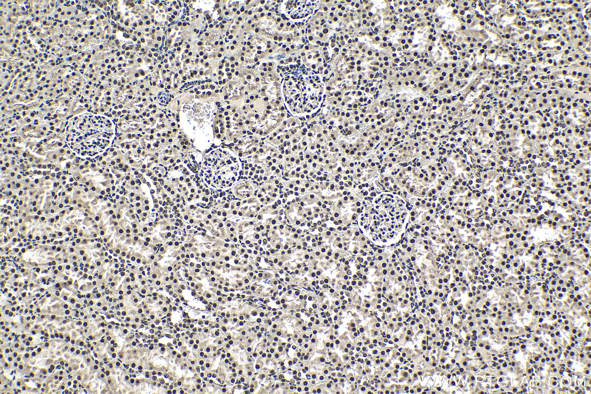
| Positive IHC detected in | mouse colon tissue, human breast cancer tissue, human colon tissue, mouse kidney tissue, mouse liver tissue, rat colon tissue, rat kidney tissue Note: suggested antigen retrieval with TE buffer pH 9.0; (*) Alternatively, antigen retrieval may be performed with citrate buffer pH 6.0 |
| Positive IF/ICC detected in | A431 cells |
推荐稀释比
| 应用 | 推荐稀释比 |
|---|---|
| Western Blot (WB) | WB : 1:1000-1:6000 |
| Immunohistochemistry (IHC) | IHC : 1:50-1:500 |
| Immunofluorescence (IF)/ICC | IF/ICC : 1:50-1:500 |
| It is recommended that this reagent should be titrated in each testing system to obtain optimal results. | |
| Sample-dependent, Check data in validation data gallery. | |
发表文章中的应用
| WB | See 1 publications below |
产品信息
25232-1-AP targets CCAR1 in WB, IHC, IF/ICC, ELISA applications and shows reactivity with human, mouse, rat samples.
| 经测试应用 | WB, IHC, IF/ICC, ELISA Application Description |
| 文献引用应用 | WB |
| 经测试反应性 | human, mouse, rat |
| 文献引用反应性 | human |
| 免疫原 |
CatNo: Ag18970 Product name: Recombinant human CCAR1 protein Source: e coli.-derived, PET28a Tag: 6*His Domain: 217-343 aa of BC132725 Sequence: QPLLKTPPAVLQPIAPQTTFGVQTQPQPQSLLQAQISAASITPLLQTQPQPLLQQPQQKAGLLQPPVRIVSQPQPARRLDPPSRFSGRNDRGDQVPNRKDDRSRERERERRRSRERSPQRKRSRERS 种属同源性预测 |
| 宿主/亚型 | Rabbit / IgG |
| 抗体类别 | Polyclonal |
| 产品类型 | Antibody |
| 全称 | cell division cycle and apoptosis regulator 1 |
| 别名 | CARP 1, CARP1, CARP-1, Death inducer with SAP domain, DIS |
| 计算分子量 | 1150 aa, 133 kDa |
| 观测分子量 | 150 kDa |
| GenBank蛋白编号 | BC132725 |
| 基因名称 | CCAR1 |
| Gene ID (NCBI) | 55749 |
| RRID | AB_3085778 |
| 偶联类型 | Unconjugated |
| 形式 | Liquid |
| 纯化方式 | Antigen affinity purification |
| UNIPROT ID | Q8IX12 |
| 储存缓冲液 | PBS with 0.02% sodium azide and 50% glycerol, pH 7.3. |
| 储存条件 | Store at -20°C. Stable for one year after shipment. Aliquoting is unnecessary for -20oC storage. |
背景介绍
Cell cycle and apoptosis regulator 1 (CCAR1) was originally identified from a functional screening and implicated in retinoid-induced cell cycle arrest and apoptosis. It has been shown that, in breast cancer cells, CCAR1 regulates apoptosis induced by various agents, including chemotherapeutics adriamycin, etoposide, and EGFR inhibitor. It is also involved in mediating anchorage-independent growth of colon carcinoma cells. In addition, CCAR1 plays the role as a co-activator of nuclear receptors to recruit mediator complex. It was found to associate with components of the Mediator and p160 coactivator complexes and is recruited to endogenous NR target genes. CCAR1 is also a binding partner of b-catenin and assists b-catenin in transcriptional activation of Wnt target genes.
实验方案
| Product Specific Protocols | |
|---|---|
| IF protocol for CCAR1 antibody 25232-1-AP | Download protocol |
| IHC protocol for CCAR1 antibody 25232-1-AP | Download protocol |
| WB protocol for CCAR1 antibody 25232-1-AP | Download protocol |
| Standard Protocols | |
|---|---|
| Click here to view our Standard Protocols |



















