验证数据展示
经过测试的应用
| Positive WB detected in | SMMC-7721 cells, C2C12 cells |
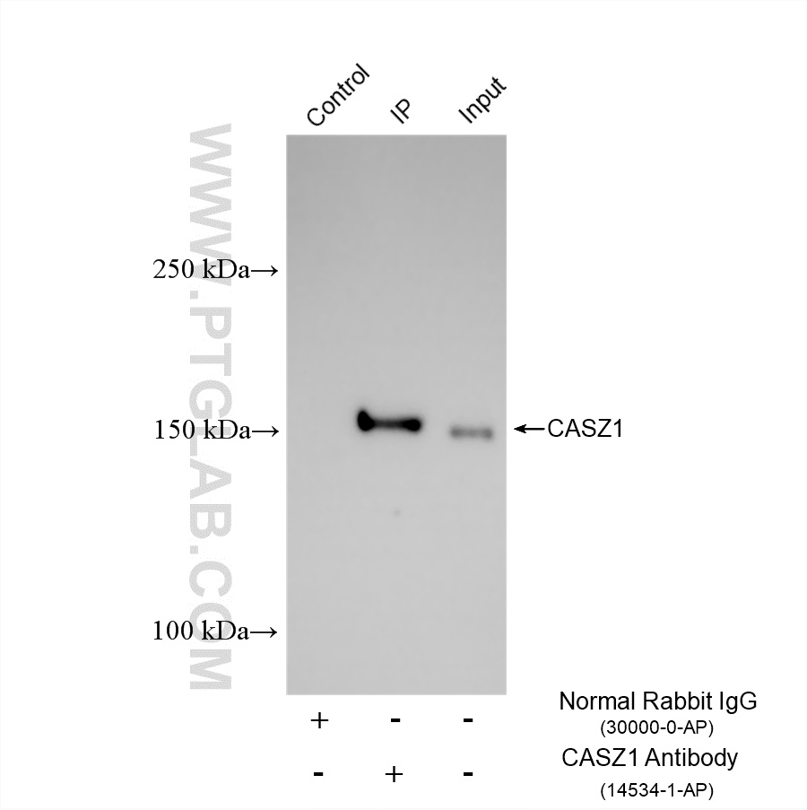
| Positive IP detected in | C2C12 cells, HUVEC cells |
推荐稀释比
| 应用 | 推荐稀释比 |
|---|---|
| Western Blot (WB) | WB : 1:500-1:1000 |
| Immunoprecipitation (IP) | IP : 0.5-4.0 ug for 1.0-3.0 mg of total protein lysate |
| It is recommended that this reagent should be titrated in each testing system to obtain optimal results. | |
| Sample-dependent, Check data in validation data gallery. | |
产品信息
14534-1-AP targets CASZ1 in WB, IP, ELISA applications and shows reactivity with human, mouse samples.
| 经测试应用 | WB, IP, ELISA Application Description |
| 经测试反应性 | human, mouse |
| 免疫原 |
CatNo: Ag6035 Product name: Recombinant human CASZ1 protein Source: e coli.-derived, PGEX-4T Tag: GST Domain: 818-1166 aa of BC051883 Sequence: PSLLGAVSSGSAASATPDTPTLVASGAGDSAPVAAASVPAPPASIMERISASKGLISPMMARLAAAALKPSATFDPGSGQQVTPARFPPAQVKPEPGESTGAPGPHEASQDRSLDLTVKEPSNESNGHAVPANSSLLSSLMNKMSQGNPGLGSLLNIKAEAEGSPAAEPSPFLGKAVKALVQEKLAEPWKVYLRRFGTKDFCDGQCDFLHKAHFHCVVEECGALFSTLDGAIKHANFHFRTEGGAAKGNTEAAFPASAAETKPPMAPSSPPVPPVTTATVSSLEGPAPSPASVPSTPTLLAWKQLASTIPQMPQIPASVPHLPASPLATTSLENAKPQVKPGFLQFQEK 种属同源性预测 |
| 宿主/亚型 | Rabbit / IgG |
| 抗体类别 | Polyclonal |
| 产品类型 | Antibody |
| 全称 | castor zinc finger 1 |
| 别名 | CAS11, Castor-related protein, CST, Putative survival-related protein, SRG |
| 计算分子量 | 190 kDa |
| 观测分子量 | 150 kDa, 250 kDa |
| GenBank蛋白编号 | BC051883 |
| 基因名称 | CASZ1 |
| Gene ID (NCBI) | 54897 |
| RRID | AB_3669188 |
| 偶联类型 | Unconjugated |
| 形式 | Liquid |
| 纯化方式 | Antigen affinity purification |
| UNIPROT ID | Q86V15 |
| 储存缓冲液 | PBS with 0.02% sodium azide and 50% glycerol, pH 7.3. |
| 储存条件 | Store at -20°C. Stable for one year after shipment. Aliquoting is unnecessary for -20oC storage. |
背景介绍
Zinc finger protein castor homolog 1 (CASZ1), also known as zinc finger protein 693 (ZNF693), belongs to the C2H2-type zinc finger protein family. CASZ1 is a transcription factor that is evolutionarily conserved and participates in multiple embryonic development and physiological processes. CASZ1 has been found to regulate aldosterone synthesis and repress the activation of aldosterone target genes, suggesting that it may participate in blood pressure regulation. CASZ1 is ubiquitously expressed in various embryonic tissues. Subcellularly, CASZ1 is usually localized in the cell nucleus, consistent with its role in transcription regulation (PMID: 37509718). CASZ1 has two isoforms namely CASZ1a (i.e., hcasz11, 190 kDa) and CASZ1b (i.e., hcasz5, 125 kDa). The observed molecular weights were 150 kDa and 250 kDa, respectively, consistent with descriptions in the literature (PMID: 32060262).
实验方案
| Product Specific Protocols | |
|---|---|
| IP protocol for CASZ1 antibody 14534-1-AP | Download protocol |
| WB protocol for CASZ1 antibody 14534-1-AP | Download protocol |
| Standard Protocols | |
|---|---|
| Click here to view our Standard Protocols |


