验证数据展示
经过测试的应用
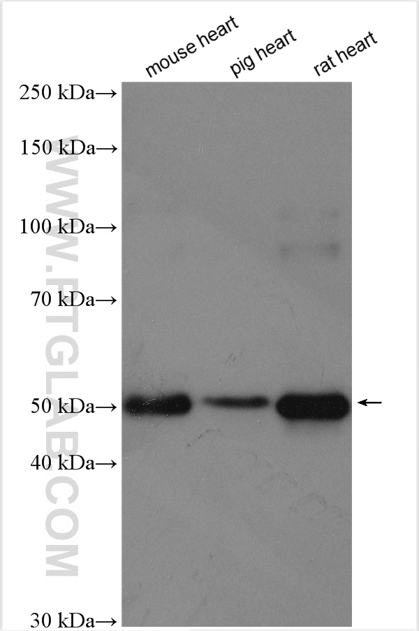
| Positive WB detected in | mouse heart tissue, human heart tissue, human skeletal muscle tissue, pig heart tissue, rat heart tissue |
| Positive IHC detected in | human heart tissue, human kidney tissue, human ovary tissue, human placenta tissue, human skin tissue, human spleen tissue Note: suggested antigen retrieval with TE buffer pH 9.0; (*) Alternatively, antigen retrieval may be performed with citrate buffer pH 6.0 |
| Positive IF/ICC detected in | C2C12 cell |
推荐稀释比
| 应用 | 推荐稀释比 |
|---|---|
| Western Blot (WB) | WB : 1:2000-1:16000 |
| Immunohistochemistry (IHC) | IHC : 1:50-1:500 |
| Immunofluorescence (IF)/ICC | IF/ICC : 1:50-1:500 |
| It is recommended that this reagent should be titrated in each testing system to obtain optimal results. | |
| Sample-dependent, Check data in validation data gallery. | |
产品信息
18422-1-AP targets Calsequestrin 2 in WB, IHC, IF/ICC, ELISA applications and shows reactivity with human, mouse, rat, pig samples.
| 经测试应用 | WB, IHC, IF/ICC, ELISA Application Description |
| 文献引用应用 | WB, IHC, IF |
| 经测试反应性 | human, mouse, rat, pig |
| 文献引用反应性 | human, mouse, pig |
| 免疫原 |
CatNo: Ag13246 Product name: Recombinant human CASQ2 protein Source: e coli.-derived, T-HIS Tag: 6*His Domain: 1-399 aa of BC022288 Sequence: MKRTHLFIVGIYFLSSCRAEEGLNFPTYDGKDRVVSLSEKNFKQVLKKYDLLCLYYHEPVSSDKVTQKQFQLKEIVLELVAQVLEHKAIGFVMVDAKKEAKLAKKLGFDEEGSLYILKGDRTIEFDGEFAADVLVEFLLDLIEDPVEIISSKLEVQAFERIEDYIKLIGFFKSEDSEYYKAFEEAAEHFQPYIKFFATFDKGVAKKLSLKMNEVDFYEPFMDEPIAIPNKPYTEEELVEFVKEHQRPTLRRLRPEEMFETWEDDLNGIHIVAFAEKSDPDGYEFLEILKQVARDNTDNPDLSILWIDPDDFPLLVAYWEKTFKIDLFRPQIGVVNVTDADSVWMEIPDDDDLPTAEELEDWIEDVLSGKINTEDDDEDDDDDDNSDEEDNDDSDDDDDE 种属同源性预测 |
| 宿主/亚型 | Rabbit / IgG |
| 抗体类别 | Polyclonal |
| 产品类型 | Antibody |
| 全称 | calsequestrin 2 (cardiac muscle) |
| 别名 | Calsequestrin 2, CASQ2, PDIB2 |
| 计算分子量 | 46 kDa |
| 观测分子量 | 50 kDa |
| GenBank蛋白编号 | BC022288 |
| 基因名称 | Calsequestrin 2 |
| Gene ID (NCBI) | 845 |
| RRID | AB_2071473 |
| 偶联类型 | Unconjugated |
| 形式 | Liquid |
| 纯化方式 | Antigen affinity purification |
| UNIPROT ID | O14958 |
| 储存缓冲液 | PBS with 0.02% sodium azide and 50% glycerol, pH 7.3. |
| 储存条件 | Store at -20°C. Stable for one year after shipment. Aliquoting is unnecessary for -20oC storage. |
背景介绍
Calsequestrin (CASQ) is a Ca2+-binding protein present primarily in junctional sarcoplasmic reticulum of skeletal and cardiac muscle; the cardiac form (CASQ2) is encoded by a separate gene. The primary role of CASQ2 is buffering of the sarcoplasmic reticulum Ca2+ ions, but another role for CASQ2 has emerged recently: CASQ2 regulates the open probability of ryanodine receptor 2 (RyR2). Mutations in CASQ2 cause stress-induced polymorphic ventricular tachycardia, also referred to as catecholaminergic polymorphic ventricular tachycardia 2 (CPVT2), a disease characterized by bidirectional ventricular tachycardia that may lead to cardiac arrest.
实验方案
| Product Specific Protocols | |
|---|---|
| IF protocol for Calsequestrin 2 antibody 18422-1-AP | Download protocol |
| IHC protocol for Calsequestrin 2 antibody 18422-1-AP | Download protocol |
| WB protocol for Calsequestrin 2 antibody 18422-1-AP | Download protocol |
| Standard Protocols | |
|---|---|
| Click here to view our Standard Protocols |
发表文章
| Species | Application | Title |
|---|---|---|
Proc Natl Acad Sci U S A Subcellular activation of β-adrenergic receptors using a spatially restricted antagonist | ||
EMBO Mol Med SK4 K(+) channels are therapeutic targets for the treatment of cardiac arrhythmias. | ||
JCI Insight The Purkinje-myocardial junction is the anatomical origin of ventricular arrhythmia in CPVT.
| ||
Heart Rhythm Viral delivered gene therapy to treat catecholaminergic polymorphic ventricular tachycardia (CPVT2) in mouse models.
| ||
Stem Cell Reports A Human Stem Cell Model of Fabry Disease Implicates LIMP-2 Accumulation in Cardiomyocyte Pathology. | ||
Mol Biol Cell Fer1l6 Is Essential for the Development of Vertebrate Muscle Tissue in Zebrafish. |















