验证数据展示
经过测试的应用
| Positive WB detected in | mouse brain tissue, rat brain tissue |
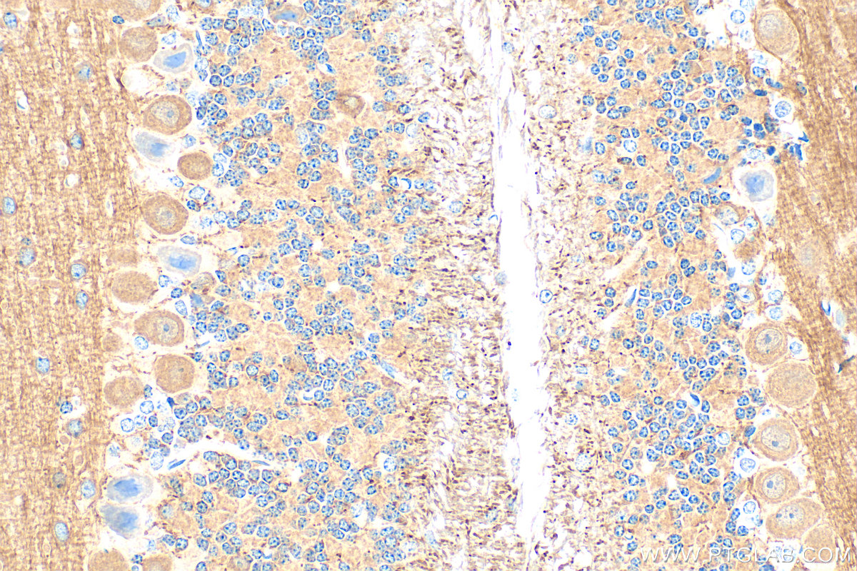
| Positive IHC detected in | mouse cerebellum tissue Note: suggested antigen retrieval with TE buffer pH 9.0; (*) Alternatively, antigen retrieval may be performed with citrate buffer pH 6.0 |
| Positive IF-P detected in | mouse cerebellum tissue |
推荐稀释比
| 应用 | 推荐稀释比 |
|---|---|
| Western Blot (WB) | WB : 1:500-1:2000 |
| Immunohistochemistry (IHC) | IHC : 1:200-1:800 |
| Immunofluorescence (IF)-P | IF-P : 1:50-1:500 |
| It is recommended that this reagent should be titrated in each testing system to obtain optimal results. | |
| Sample-dependent, Check data in validation data gallery. | |
发表文章中的应用
| IF | See 2 publications below |
产品信息
55417-1-AP targets CASPR in WB, IHC, IF-P, ELISA applications and shows reactivity with human, mouse, rat samples.
| 经测试应用 | WB, IHC, IF-P, ELISA Application Description |
| 文献引用应用 | IF |
| 经测试反应性 | human, mouse, rat |
| 文献引用反应性 | mouse |
| 免疫原 |
Peptide 种属同源性预测 |
| 宿主/亚型 | Rabbit / IgG |
| 抗体类别 | Polyclonal |
| 产品类型 | Antibody |
| 全称 | contactin associated protein 1 |
| 别名 | CNTNAP1, contactin associated protein 1, Contactin-associated protein 1 |
| 计算分子量 | 156 kDa |
| 观测分子量 | 180-190 kDa |
| GenBank蛋白编号 | NM_003632 |
| 基因名称 | CASPR |
| Gene ID (NCBI) | 8506 |
| RRID | AB_11232211 |
| 偶联类型 | Unconjugated |
| 形式 | Liquid |
| 纯化方式 | Antigen affinity purification |
| UNIPROT ID | P78357 |
| 储存缓冲液 | PBS with 0.02% sodium azide and 50% glycerol, pH 7.3. |
| 储存条件 | Store at -20°C. Stable for one year after shipment. Aliquoting is unnecessary for -20oC storage. |
背景介绍
CNTNAP1, also named as CASPR, NRXN4, p190, Neurexin IV and Neurexin-4, belongs to the neurexin family. It plays a role in the formation of functional distinct domains critical for saltatory conduction of nerve impulses in myelinated nerve fibers. CNTNAP1 seems to demarcate the paranodal region of the axo-glial junction. In association with contactin, CNTNAP1 may have a role in the signaling between axons and myelinating glial cells. This antibody is specific to CNTNAP1.
实验方案
| Product Specific Protocols | |
|---|---|
| IF protocol for CASPR antibody 55417-1-AP | Download protocol |
| IHC protocol for CASPR antibody 55417-1-AP | Download protocol |
| WB protocol for CASPR antibody 55417-1-AP | Download protocol |
| Standard Protocols | |
|---|---|
| Click here to view our Standard Protocols |
发表文章
| Species | Application | Title |
|---|---|---|
Front Psychiatry Analysis of the influences of social isolation on cognition and the therapeutic potential of deep brain stimulation in a mouse model | ||
Adv Sci (Weinh) Inhibition of SLC11A1-Mediated Lysosomal Iron Accumulation in Microglia Promotes Repair Following White Matter Stroke. |



