验证数据展示
经过测试的应用
| Positive WB detected in | Staurosporine treated Jurkat cells, Apoptosised HeLa cells |
| Positive IP detected in | HeLa cells |
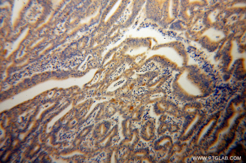
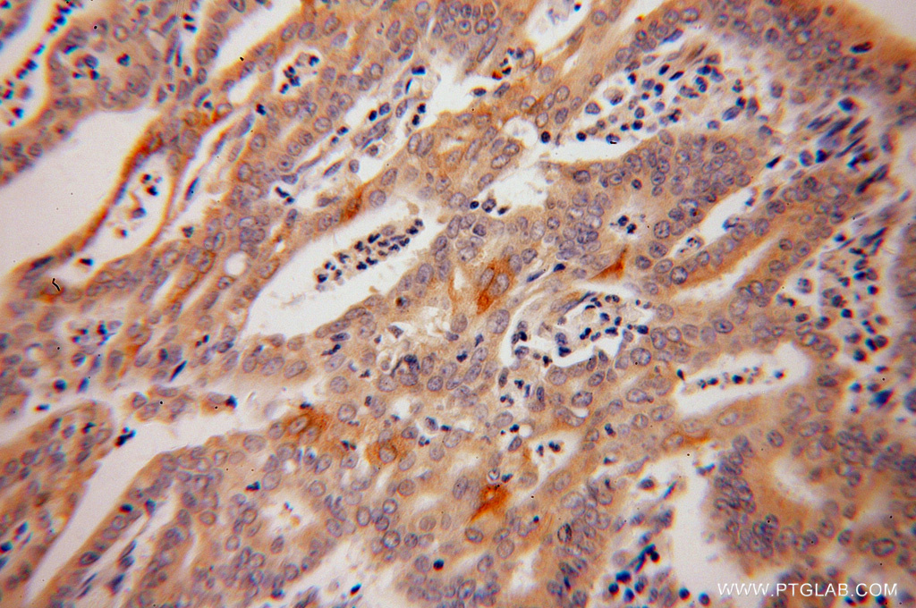
| Positive IHC detected in | human endometrial cancer tissue Note: suggested antigen retrieval with TE buffer pH 9.0; (*) Alternatively, antigen retrieval may be performed with citrate buffer pH 6.0 |
| Positive IF/ICC detected in | HepG2 cells |
推荐稀释比
| 应用 | 推荐稀释比 |
|---|---|
| Western Blot (WB) | WB : 1:500-1:1000 |
| Immunoprecipitation (IP) | IP : 0.5-4.0 ug for 1.0-3.0 mg of total protein lysate |
| Immunohistochemistry (IHC) | IHC : 1:20-1:200 |
| Immunofluorescence (IF)/ICC | IF/ICC : 1:20-1:200 |
| It is recommended that this reagent should be titrated in each testing system to obtain optimal results. | |
| Sample-dependent, Check data in validation data gallery. | |
发表文章中的应用
| WB | See 6 publications below |
| IF | See 1 publications below |
产品信息
14311-1-AP targets Caspase 10 in WB, IHC, IF/ICC, IP, ELISA applications and shows reactivity with human samples.
| 经测试应用 | WB, IHC, IF/ICC, IP, ELISA Application Description |
| 文献引用应用 | WB, IF |
| 经测试反应性 | human |
| 文献引用反应性 | human |
| 免疫原 |
CatNo: Ag5511 Product name: Recombinant human Caspase 10 protein Source: e coli.-derived, PET28a Tag: 6*His Domain: 193-522 aa of BC042844 Sequence: AIQIVTPPVDKEAESYQGEEELVSQTDVKTFLEALPQESWQNKHAGSNGNRATNGAPSLVSRGMQGASANTLNSETSTKRAAVYRMNRNHRGLCVIVNNHSFTSLKDRQGTHKDAEILSHVFQWLGFTVHIHNNVTKVEMEMVLQKQKCNPAHADGDCFVFCILTHGRFGAVYSSDEALIPIREIMSHFTALQCPRLAEKPKLFFIQACQGEEIQPSVSIEADALNPEQAPTSLQDSIPAEADFLLGLATVPGYVSFRHVEEGSWYIQSLCNHLKKLVPRHEDILSILTAVNDDVSRRVDKQGTKKQMPQPAFTLRKKLVFPVPLDALSL 种属同源性预测 |
| 宿主/亚型 | Rabbit / IgG |
| 抗体类别 | Polyclonal |
| 产品类型 | Antibody |
| 全称 | caspase 10, apoptosis-related cysteine peptidase |
| 别名 | CASP10, Caspase10, Apoptotic protease Mch 4, Apoptotic protease Mch-4, CASP 10 |
| 计算分子量 | 59 kDa |
| 观测分子量 | 59 kDa, 47 kDa, 30-35 kDa |
| GenBank蛋白编号 | BC042844 |
| 基因名称 | Caspase 10 |
| Gene ID (NCBI) | 843 |
| RRID | AB_2290777 |
| 偶联类型 | Unconjugated |
| 形式 | Liquid |
| 纯化方式 | Antigen affinity purification |
| UNIPROT ID | Q92851 |
| 储存缓冲液 | PBS with 0.02% sodium azide and 50% glycerol, pH 7.3. |
| 储存条件 | Store at -20°C. Stable for one year after shipment. Aliquoting is unnecessary for -20oC storage. |
背景介绍
Caspase 10 (CASP10) is also called MCH4, is a member of the peptidase C14A family, and contains two death
effector (DED) domains.
What is the molecular weight of CASP10?
The molecular weight of CASP10 observed on Western blots may vary depending on which of its isoform,
truncation, or cleavage forms are present. Full-length CASP10 has a propeptide with 219 amino acid and
6 isoforms produced by alternative splicing.
What is the tissue specificity of CASP10?
CASP10 is detectable in most tissues. However, there is lower expression observed in brain, kidney, colon,
prostate, and testis tissue.
What is the function of CASP10?
CASP10 plays a role in the cascade of caspases responsible for executing apoptosis. It is recruited to both
the Fas and TNFR-1 receptors in a FADD dependent manner. CASP10 is responsible for the cleavage and activation of
caspases 3, 4, 6, 7, 8, and 9. CASP10 can be cleaved by granzyme B and autocatalytic activity to generate
two active subunits from its inactive proenzyme form.
What is the role of CASP10 in disease?
Defects in CASP10 lead to autoimmune lymphoproliferative syndrome type 2A (ALPS2A), which is characterized
by abnormal lymphocyte and dendritic cell homeostasis, as well as immune regulatory defects (PMID:16446975).
Defects in CASP10 are also a cause of familial non-Hodgkin lymphoma (NHL) and often marked by enlarged lymph
nodes, weight loss and fever (PMID:12010812), and gastric cancers (GASC) (PMID:11973654).
实验方案
| Product Specific Protocols | |
|---|---|
| IF protocol for Caspase 10 antibody 14311-1-AP | Download protocol |
| IHC protocol for Caspase 10 antibody 14311-1-AP | Download protocol |
| IP protocol for Caspase 10 antibody 14311-1-AP | Download protocol |
| WB protocol for Caspase 10 antibody 14311-1-AP | Download protocol |
| Standard Protocols | |
|---|---|
| Click here to view our Standard Protocols |
发表文章
| Species | Application | Title |
|---|---|---|
Front Microbiol Enterovirus 71 Induces INF2 Cleavage via Activated Caspase-2 in Infected RD Cells. | ||
Front Pharmacol A New Chalcone Derivative C49 Reverses Doxorubicin Resistance in MCF-7/DOX Cells by Inhibiting P-Glycoprotein Expression. | ||
Apoptosis Strong activation of p53 by actinomycin D and nutlin-3a overcomes the resistance of cancer cells to the pro-apoptotic activity of the FAS ligand | ||
PLoS One Altered Bcl-2/Caspase signaling and hypoxia-induced apoptosis in primary human aniridia limbal stromal cells, in CoCl2 mediated hypoxic stress, in vitro | ||
Toxicol Mech Methods CircRNA-mediated ceRNA network: micron-sized quartz silica particles induce apoptosis in primary human airway epithelial cells |






