验证数据展示
经过测试的应用
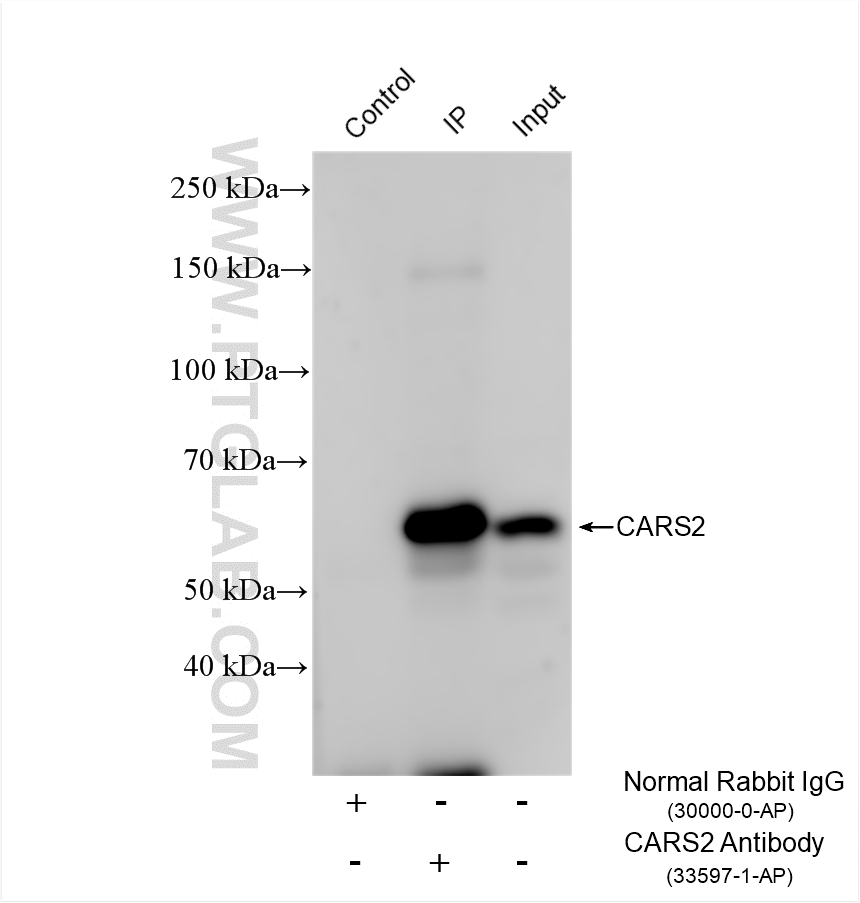
| Positive WB detected in | SK-BR-3 cells |
| Positive IP detected in | SK-BR-3 cells |
| Positive IF/ICC detected in | A431 cells |
推荐稀释比
| 应用 | 推荐稀释比 |
|---|---|
| Western Blot (WB) | WB : 1:1000-1:4000 |
| Immunoprecipitation (IP) | IP : 0.5-4.0 ug for 1.0-3.0 mg of total protein lysate |
| Immunofluorescence (IF)/ICC | IF/ICC : 1:200-1:800 |
| It is recommended that this reagent should be titrated in each testing system to obtain optimal results. | |
| Sample-dependent, Check data in validation data gallery. | |
产品信息
33597-1-AP targets CARS2 in WB, IF/ICC, IP, ELISA applications and shows reactivity with human samples.
| 经测试应用 | WB, IF/ICC, IP, ELISA Application Description |
| 经测试反应性 | human |
| 免疫原 |
CatNo: Ag38943 Product name: Recombinant human CARS2 protein Source: e coli.-derived, PGEX-4T Tag: GST Domain: 331-564 aa of NM_024537.3 Sequence: FLKTFSPDVFRFFCLRSSYRSAIDYSDSAMLQAQQLLLGLGSFLEDARAYMKGQLACGSVREAMLWERLSSTKRAVKAALADDFDTPRVVDAILGLAHHGNGQLRASLKEPEGPRSPAVFGAIISYFEQFFETVGISLANQQYVSGDGSEATLHGVVDELVRFRQKVRQFALAMPEATGDARRQQLLERQPLLEACDTLRRGLTAHGINIKDRSSTTSTWELLDQRTKDQKSAG 种属同源性预测 |
| 宿主/亚型 | Rabbit / IgG |
| 抗体类别 | Polyclonal |
| 产品类型 | Antibody |
| 全称 | cysteinyl-tRNA synthetase 2, mitochondrial (putative) |
| 别名 | CysRS, Cysteinyl-tRNA synthetase, EC:6.1.1.16, OK/SW-cl.10, Probable cysteine--tRNA ligase, mitochondrial |
| 计算分子量 | 62kDa,564aa |
| 观测分子量 | 55-63kd |
| GenBank蛋白编号 | NM_024537.3 |
| 基因名称 | CARS2 |
| Gene ID (NCBI) | 79587 |
| RRID | AB_3743024 |
| 偶联类型 | Unconjugated |
| 形式 | Liquid |
| 纯化方式 | Antigen affinity Purification |
| UNIPROT ID | Q9HA77 |
| 储存缓冲液 | PBS with 0.02% sodium azide and 50% glycerol, pH 7.3. |
| 储存条件 | Store at -20°C. Stable for one year after shipment. Aliquoting is unnecessary for -20oC storage. |
背景介绍
Cars2 (mitochondrial cysteine-tRNA synthetase 2) is a class I aminoacyl-tRNA synthetase encoded by nuclear gene, which locates in mitochondria. Its core function is to catalyze cysteine to bind to corresponding trna, and ensure the translation of mitochondrial protein. Its mutation will cause diseases related to mitochondrial dysfunction.
实验方案
| Product Specific Protocols | |
|---|---|
| IF protocol for CARS2 antibody 33597-1-AP | Download protocol |
| IP protocol for CARS2 antibody 33597-1-AP | Download protocol |
| WB protocol for CARS2 antibody 33597-1-AP | Download protocol |
| Standard Protocols | |
|---|---|
| Click here to view our Standard Protocols |


